IHCeasy® CCT8 Ready-To-Use IHC Kit
CCT8 Ready-to-use reagent kit for IHC.
Reactivity
Human, Rat
Sample Type
FFPE tissue
Cat no : KHC3221
Synonyms
C21orf112, CCT theta, CCTQ, CCT-theta, Chaperonin containing T-complex polypeptide 1 subunit 8
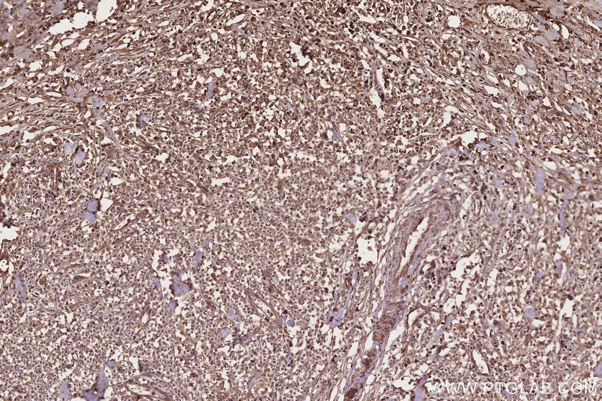
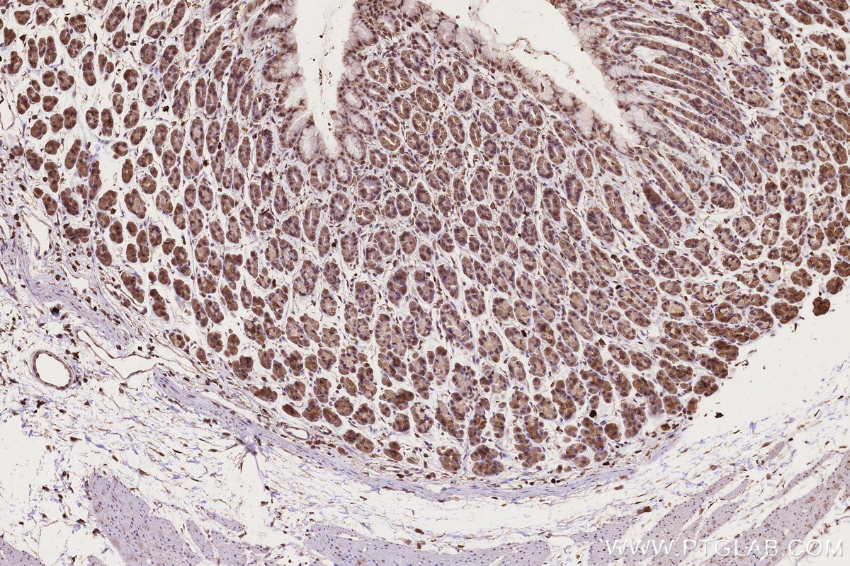
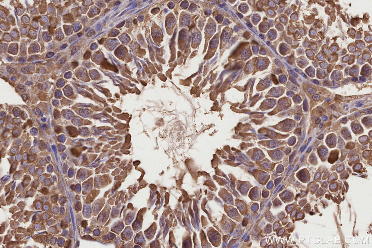
Validation Data Gallery
Product Information
KHC3221 is a ready-to-use IHC kit for staining of CCT8. The kit provides all reagents, from antigen retrieval to cover slip mounting, that require little to no diluting or handling prior to use. Simply apply the reagents to your sample slide according to the protocol and you're steps away from obtaining high-quality IHC data.
| Product name | IHCeasy® CCT8 Ready-To-Use IHC Kit |
| Sample type | FFPE tissue |
| Assay type | Immunohistochemistry |
| Primary antibody type | Mouse Monoclonal |
| Secondary antibody type | Polymer-HRP-Goat anti-Mouse |
| Reactivity | Human, Rat |
Kit components
| Component | Size | Concentration |
|---|---|---|
| Antigen Retrieval Buffer | 100 mL | 50× |
| Washing Buffer | 100 mL ×2 | 20× |
| Blocking Buffer | 5 mL | RTU |
| Primary Antibody | 5 mL | RTU |
| Secondary Antibody | 5 mL | RTU |
| Chromogen Component A | 0.2 mL | RTU |
| Chromogen Component B | 4 mL | RTU |
| Signal Enhancer | 5 mL | RTU |
| Counter Staining Reagent | 5 mL | RTU |
| Mounting Media | 5 mL | RTU |
| Datasheet | 1 Copy | |
| Manual | 1 Copy |
Background Information
CCT8, also named as C21orf112, CCTQ, KIAA0002, CCT-theta, TCP-1-theta and NY-REN-15, belongs to the TCP-1 chaperonin family. It is a molecular chaperone; assists the folding of proteins upon ATP hydrolysis. As part of the BBS/CCT complex, CCT8 may play a role in the assembly of BBSome, a complex involved in ciliogenesis regulating transports vesicles to the cilia. Dysregulation of CCT8 has been linked to proliferation and invasion of tumors.
Properties
| Storage Instructions | All the reagents are stored at 2-8°C. The kit is stable for 6 months from the date of receipt. |
| Synonyms | C21orf112, CCT theta, CCTQ, CCT-theta, Chaperonin containing T-complex polypeptide 1 subunit 8 |




