IHCeasy® BEX1/2 Ready-To-Use IHC Kit
BEX1/2 Ready-to-use reagent kit for IHC.
Cat no : KHC2884
Synonyms
BEX2, Brain-expressed X-linked protein 2, hBex2
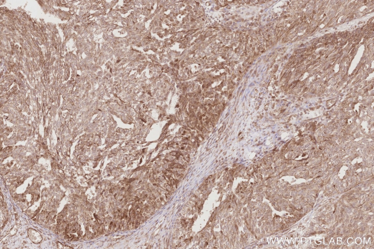
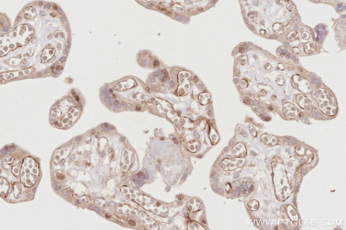
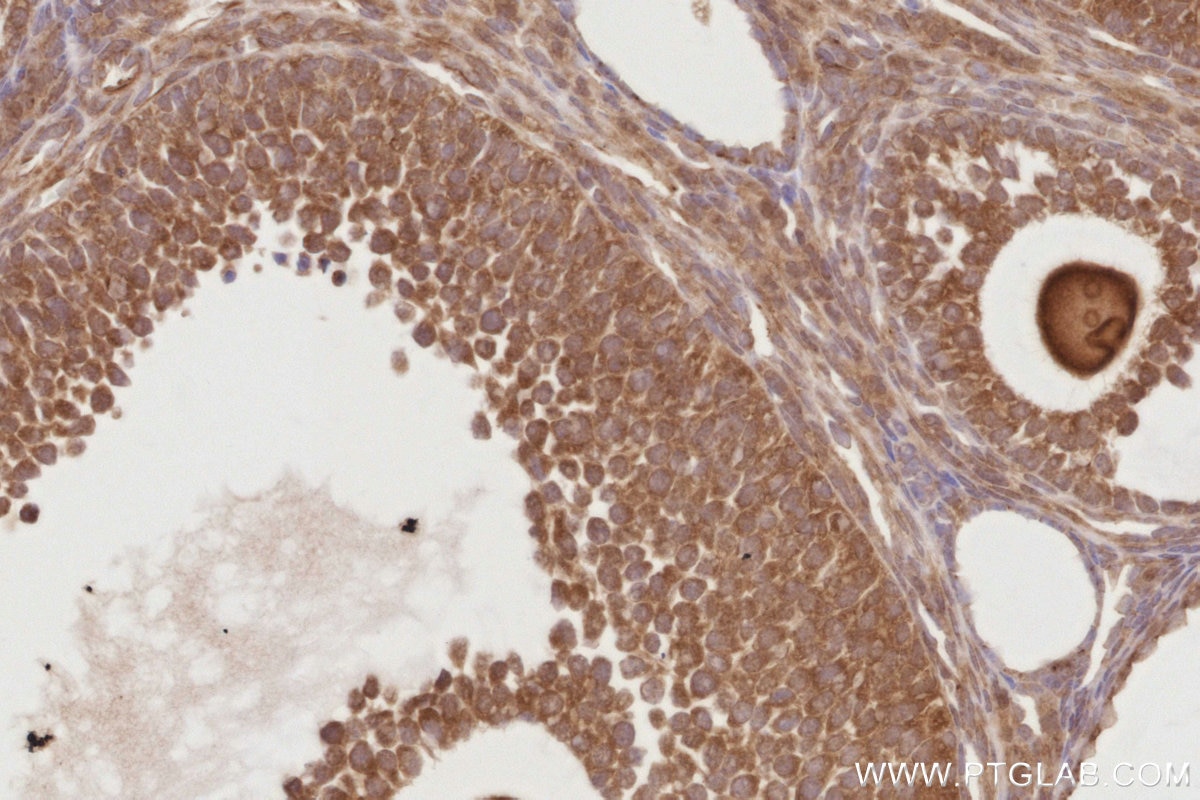
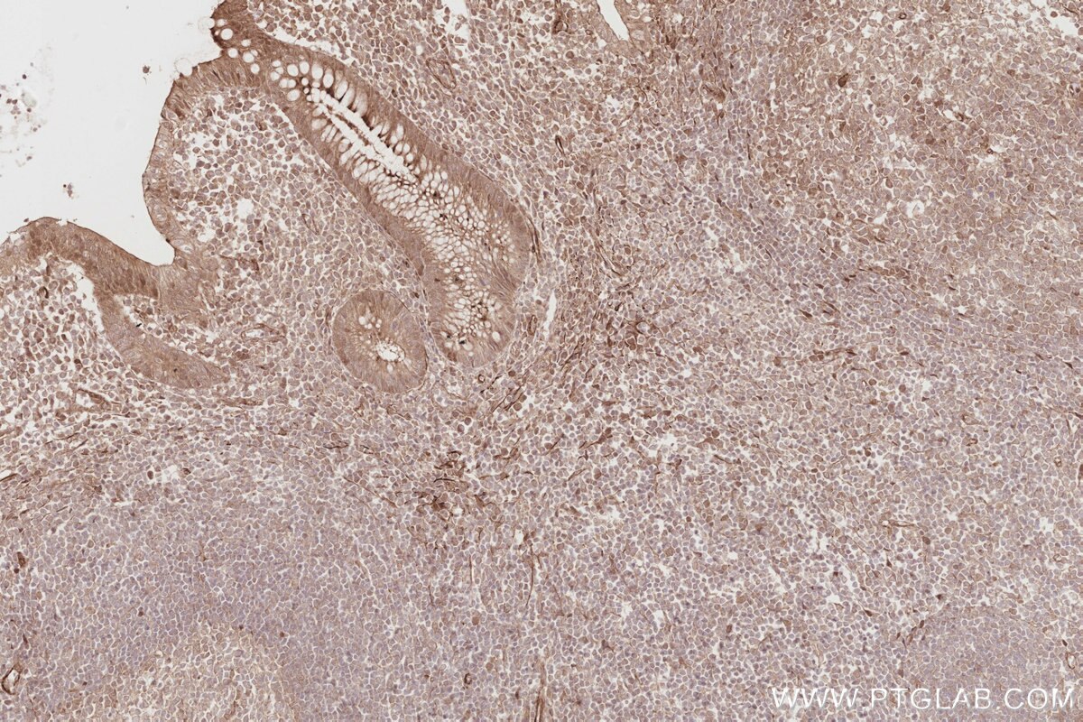
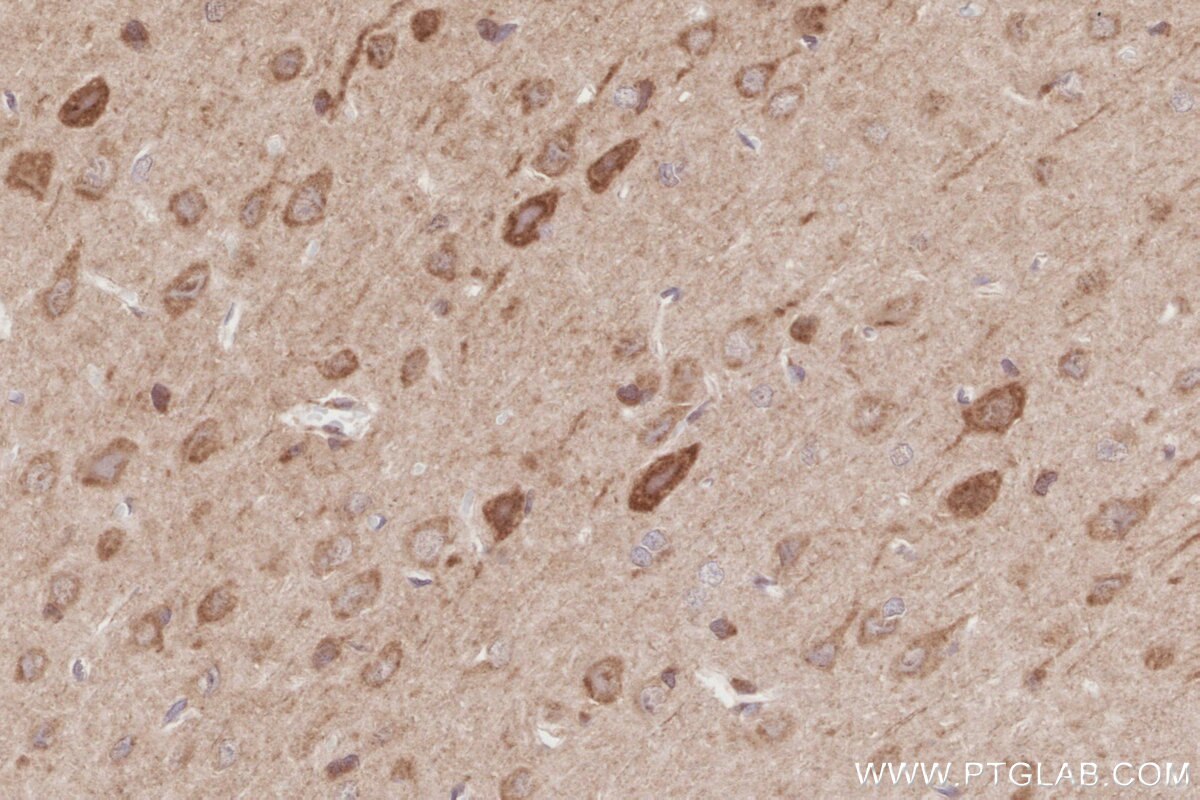
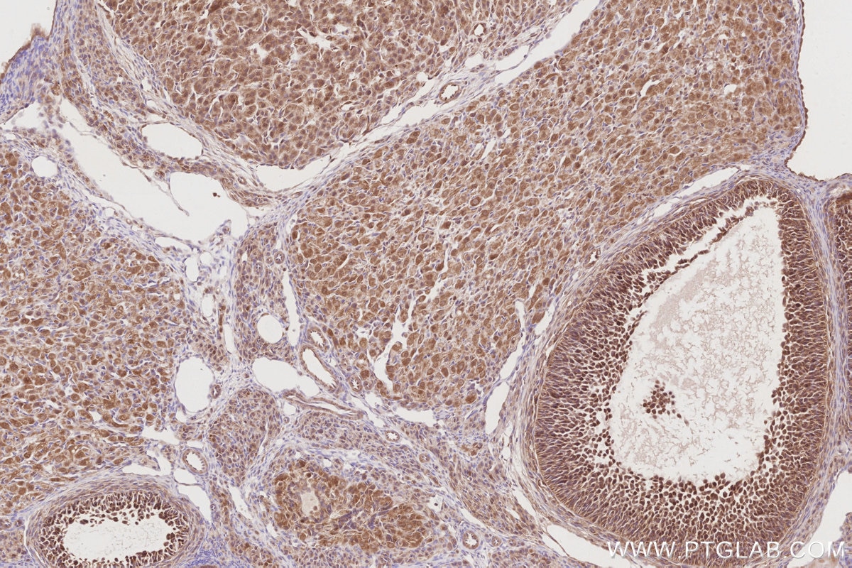
Validation Data Gallery
Product Information
KHC2884 is a ready-to-use IHC kit for staining of BEX1/2. The kit provides all reagents, from antigen retrieval to cover slip mounting, that require little to no diluting or handling prior to use. Simply apply the reagents to your sample slide according to the protocol and you're steps away from obtaining high-quality IHC data.
| Product name | IHCeasy BEX1/2 Ready-To-Use IHC Kit |
| Sample type | FFPE tissue |
| Assay type | Immunohistochemistry |
| Primary antibody type | Rabbit Polyclonal |
| Secondary antibody type | Polymer-HRP-Goat anti-Rabbit |
| Reactivity | Human, Mouse, Rat |
Kit components
| Component | Size | Concentration |
|---|---|---|
| Antigen Retrieval Buffer | 100 mL | 50× |
| Washing Buffer | 100 mL ×2 | 20× |
| Blocking Buffer | 5 mL | RTU |
| Primary Antibody | 5 mL | RTU |
| Secondary Antibody | 5 mL | RTU |
| Chromogen Component A | 0.2 mL | RTU |
| Chromogen Component B | 4 mL | RTU |
| Signal Enhancer | 5 mL | RTU |
| Counter Staining Reagent | 5 mL | RTU |
| Mounting Media | 5 mL | RTU |
| Datasheet | 1 Copy | |
| Manual | 1 Copy |
Background Information
BEX1 is a signaling adapter molecule involved in p75NTR/NGFR signaling. It lays a role in cell cycle progression and neuronal differentiation. BEX1 inhibits neuronal differentiation in response to nerve growth factor (NGF). BEX2 is a regulator of mitochondrial apoptosis and G1 cell cycle in breast cancer. It regulates the level of PP2A regulatory subunit B and PP2A phosphatase activity. The homology between human BEX1 and BEX2 is 94%. Primary antibody in this kit recognizes both BEX1 and BEX2.
Properties
| Storage Instructions | All the reagents are stored at 2-8°C. The kit is stable for 6 months from the date of receipt. |
| Synonyms | BEX2, Brain-expressed X-linked protein 2, hBex2 |
Publications
| Application | Title |
|---|---|
Sci Rep Methylation-induced suppression of BEX1 activates AKT/ERK/STAT3 signaling pathways regulating cell cycle and apoptosis in glioma. |






