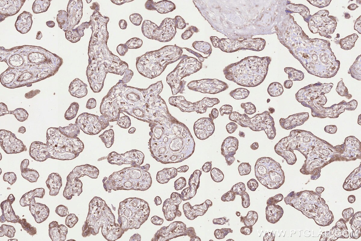
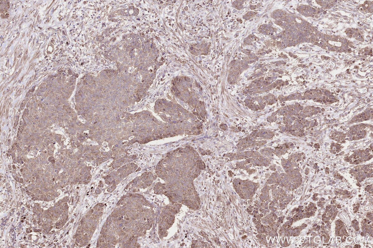
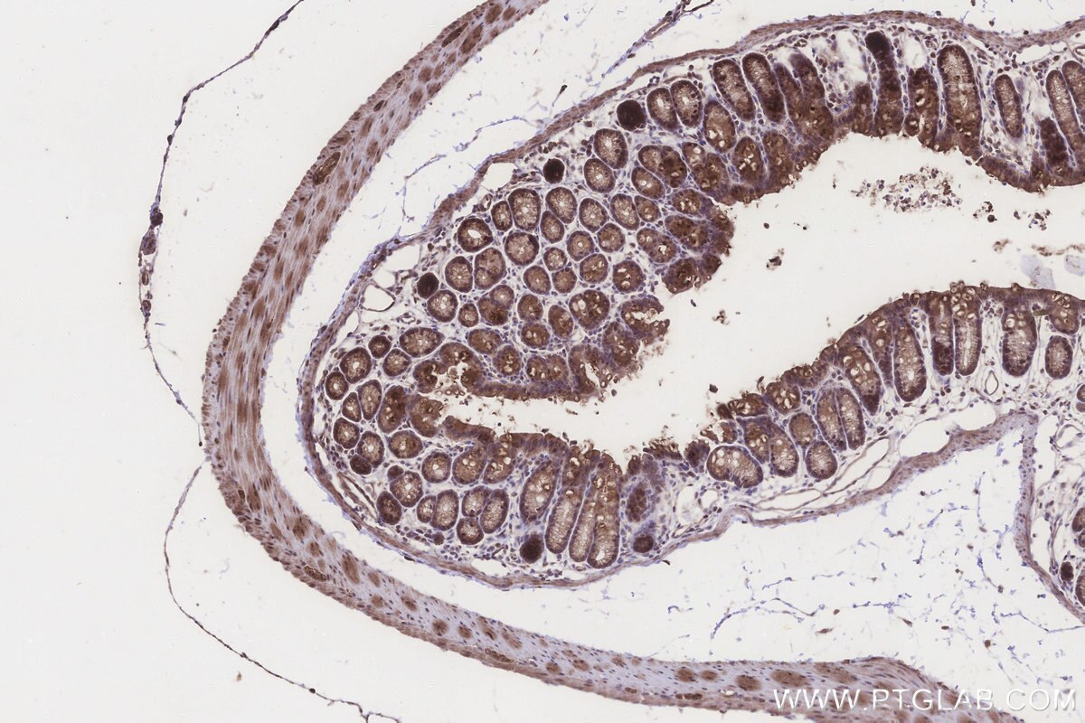
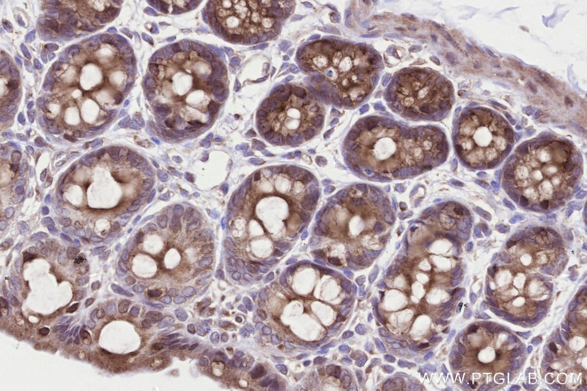
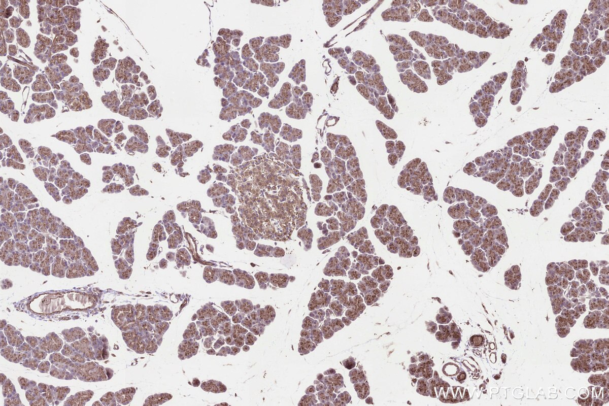
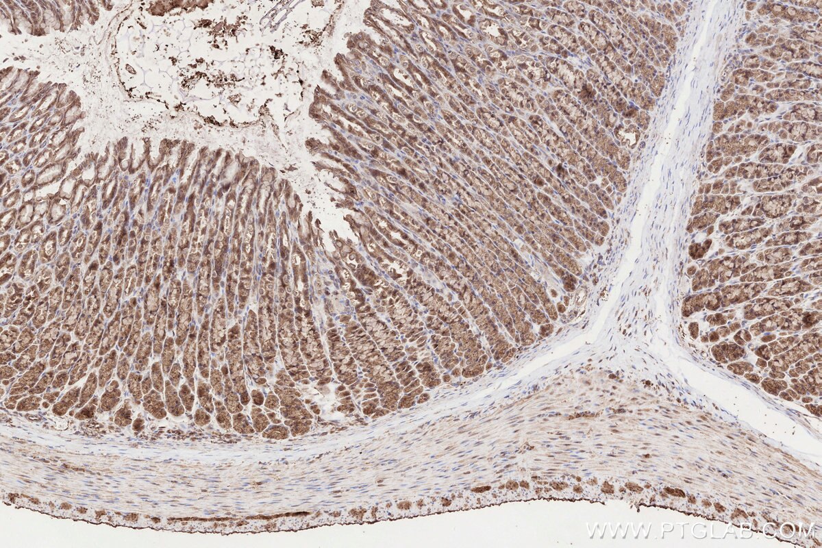
IHCeasy® B3GNT7 Ready-To-Use IHC Kit
B3GNT7 Ready-to-use reagent kit for IHC.
Reactivity
Human, Mouse, Rat
Sample Type
FFPE tissue
Cat no : KHC3299
Synonyms
Beta 1,3 Gn T7, Beta-1,3-Gn-T7, Beta-1,3-N-acetylglucosaminyltransferase 7, beta3GnT7, Beta3Gn-T7
Validation Data Gallery
Product Information
KHC3299 is a ready-to-use IHC kit for staining of B3GNT7. The kit provides all reagents, from antigen retrieval to cover slip mounting, that require little to no diluting or handling prior to use. Simply apply the reagents to your sample slide according to the protocol and you're steps away from obtaining high-quality IHC data.
| Product name | IHCeasy® B3GNT7 Ready-To-Use IHC Kit |
| Sample type | FFPE tissue |
| Assay type | Immunohistochemistry |
| Primary antibody type | Rabbit Polyclonal |
| Secondary antibody type | Polymer-HRP-Goat anti-Rabbit |
| Reactivity | Human, Mouse, Rat |
Kit components
| Component | Size | Concentration |
|---|---|---|
| Antigen Retrieval Buffer | 100 mL | 50× |
| Washing Buffer | 100 mL ×2 | 20× |
| Blocking Buffer | 5 mL | RTU |
| Primary Antibody | 5 mL | RTU |
| Secondary Antibody | 5 mL | RTU |
| Chromogen Component A | 0.2 mL | RTU |
| Chromogen Component B | 4 mL | RTU |
| Signal Enhancer | 5 mL | RTU |
| Counter Staining Reagent | 5 mL | RTU |
| Mounting Media | 5 mL | RTU |
| Datasheet | 1 Copy | |
| Manual | 1 Copy |
Background Information
B3GNT7, the glycosyltransferase gene that was most significantly upregulated by IL-22 treatment, encodes an N-acetylglucosaminyltransferase involved in the biosynthesis of polyLacNAc repeats of keratan sulfate. B3GNT7 was initially identified in 2002 and is notable for high expression in healthy intestinal epithelial cells. Overexpressed B3GNT7 were correlated with poor prognosis in breast cancer patients based on public datasets. B3GNT7 was shown to be a potential biomarker for unfavorable outcomes and therapeutic target of breast cancer.
Properties
| Storage Instructions | All the reagents are stored at 2-8°C. The kit is stable for 6 months from the date of receipt. |
| Synonyms | Beta 1,3 Gn T7, Beta-1,3-Gn-T7, Beta-1,3-N-acetylglucosaminyltransferase 7, beta3GnT7, Beta3Gn-T7 |






