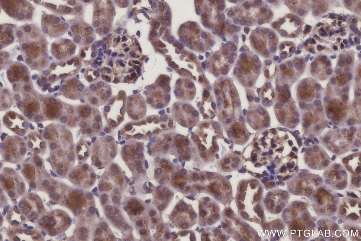
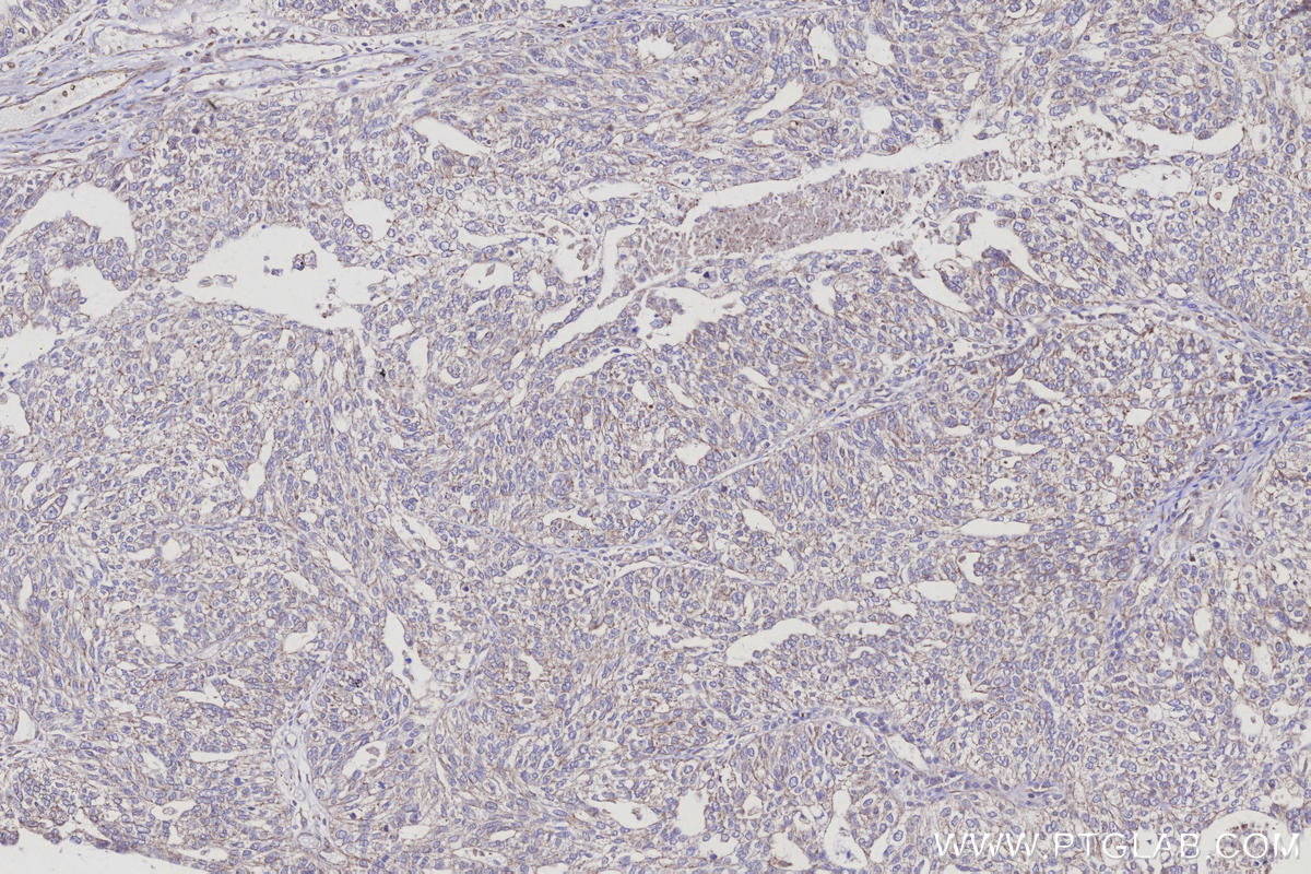
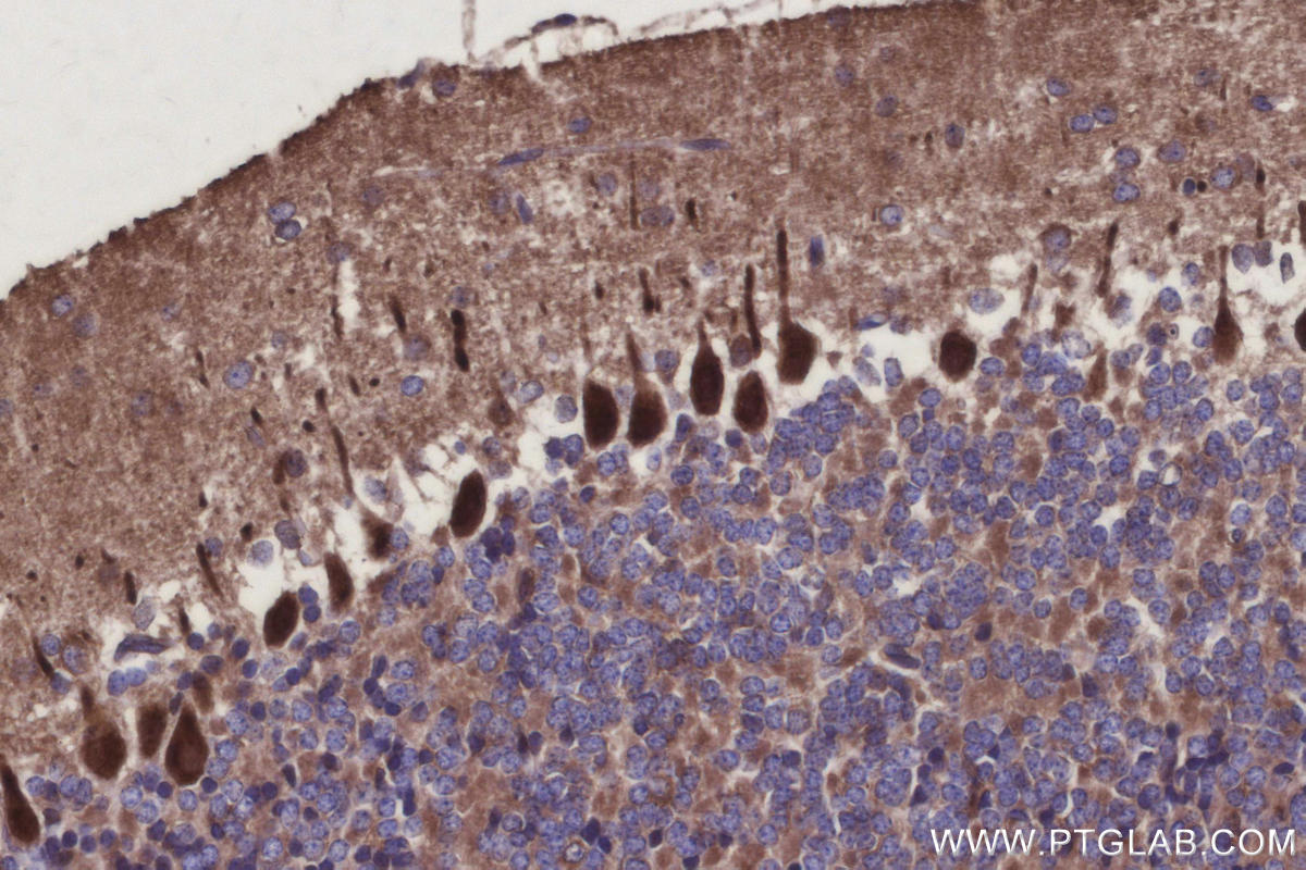
IHCeasy® ARHGAP23 Ready-To-Use IHC Kit
ARHGAP23 Ready-to-use reagent kit for IHC.
Reactivity
Human, Mouse
Sample Type
FFPE tissue
Cat no : KHC3130
Synonyms
KIAA1501, Rho GTPase Activating Protein 23, Rho GTPase-activating protein 23, Rho-type GTPase-activating protein 23
Validation Data Gallery
Product Information
KHC3130 is a ready-to-use IHC kit for staining of ARHGAP23. The kit provides all reagents, from antigen retrieval to cover slip mounting, that require little to no diluting or handling prior to use. Simply apply the reagents to your sample slide according to the protocol and you're steps away from obtaining high-quality IHC data.
| Product name | IHCeasy® ARHGAP23 Ready-To-Use IHC Kit |
| Sample type | FFPE tissue |
| Assay type | Immunohistochemistry |
| Primary antibody type | Rabbit Polyclonal |
| Secondary antibody type | Polymer-HRP-Goat anti-Rabbit |
| Reactivity | Human, Mouse |
Kit components
| Component | Size | Concentration |
|---|---|---|
| Antigen Retrieval Buffer | 100 mL | 50× |
| Washing Buffer | 100 mL ×2 | 20× |
| Blocking Buffer | 5 mL | RTU |
| Primary Antibody | 5 mL | RTU |
| Secondary Antibody | 5 mL | RTU |
| Chromogen Component A | 0.2 mL | RTU |
| Chromogen Component B | 4 mL | RTU |
| Signal Enhancer | 5 mL | RTU |
| Counter Staining Reagent | 5 mL | RTU |
| Mounting Media | 5 mL | RTU |
| Datasheet | 1 Copy | |
| Manual | 1 Copy |
Background Information
ARHGAP23 (Rho GTPase Activating Protein 23) belongs to the family of Rho GTPase activating proteins. The protein functions as a GTPase-activating factor by converting Rho class GTPases into their inactive GDP-bound state. ARHGAP23 is involved in the Rho GTPase signaling pathway, affecting processes such as cytoskeletal reorganization, cell migration, and cell proliferation. In non-small cell lung cancer, the expression of ARHGAP23 is associated with tumor immune infiltration and prognosis, and its role in tumor development has attracted attention. Mutations in this gene are related to a variety of diseases, including certain types of cancer and neurological disorders.
Properties
| Storage Instructions | All the reagents are stored at 2-8°C. The kit is stable for 6 months from the date of receipt. |
| Synonyms | KIAA1501, Rho GTPase Activating Protein 23, Rho GTPase-activating protein 23, Rho-type GTPase-activating protein 23 |




