IHCeasy® APOA4 Ready-To-Use IHC Kit
APOA4 Ready-to-use reagent kit for IHC.
Reactivity
Human
Sample Type
FFPE tissue
Cat no : KHC3245
Synonyms
APOA 4, apolipoprotein A IV
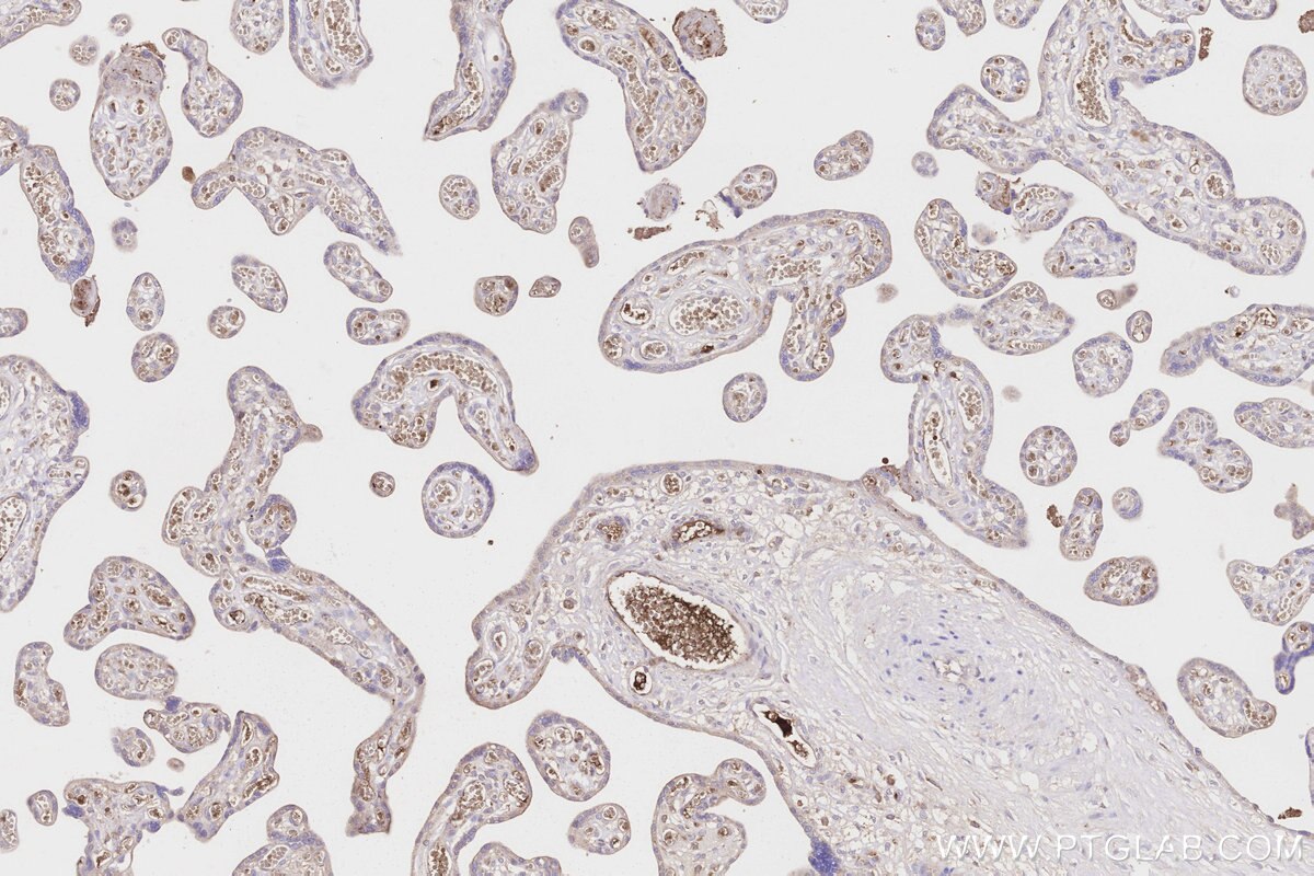
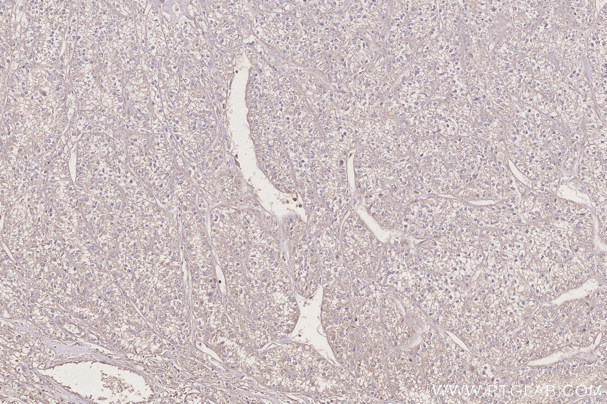
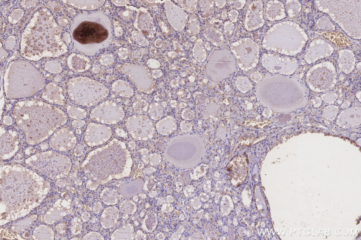
Validation Data Gallery
Product Information
KHC3245 is a ready-to-use IHC kit for staining of APOA4. The kit provides all reagents, from antigen retrieval to cover slip mounting, that require little to no diluting or handling prior to use. Simply apply the reagents to your sample slide according to the protocol and you're steps away from obtaining high-quality IHC data.
| Product name | IHCeasy® APOA4 Ready-To-Use IHC Kit |
| Sample type | FFPE tissue |
| Assay type | Immunohistochemistry |
| Primary antibody type | Mouse Monoclonal |
| Secondary antibody type | Polymer-HRP-Goat anti-Mouse |
| Reactivity | Human |
Kit components
| Component | Size | Concentration |
|---|---|---|
| Antigen Retrieval Buffer | 100 mL | 50× |
| Washing Buffer | 100 mL ×2 | 20× |
| Blocking Buffer | 5 mL | RTU |
| Primary Antibody | 5 mL | RTU |
| Secondary Antibody | 5 mL | RTU |
| Chromogen Component A | 0.2 mL | RTU |
| Chromogen Component B | 4 mL | RTU |
| Signal Enhancer | 5 mL | RTU |
| Counter Staining Reagent | 5 mL | RTU |
| Mounting Media | 5 mL | RTU |
| Datasheet | 1 Copy | |
| Manual | 1 Copy |
Background Information
APOA4 is a major protein component of chylomicrons in postprandial lymph and plasma. It is synthesized in the small intestine and the liver, attached to chylomicrons by enterocytes, and secreted into intestinal lymph during fat absorption. APOA4 is intimately involved in metabolism and has protective roles in cardiovascular diseases like atherosclerosis. APOA4 can promote INS secretion and maintain glucose homeostasis. It also has potent antioxidant and anti-inflammatory properties.
Properties
| Storage Instructions | All the reagents are stored at 2-8°C. The kit is stable for 6 months from the date of receipt. |
| Synonyms | APOA 4, apolipoprotein A IV |



