IHCeasy® ALOX5AP Ready-To-Use IHC Kit

ALOX5AP Ready-to-use reagent kit for IHC.

Reactivity

Human

Sample Type

FFPE tissue

Cat no : KHC3197

Synonyms

AL5AP, Arachidonate 5-lipoxygenase-activating protein, FLAP, MK 886 binding protein, MK-886-binding protein



Product Information

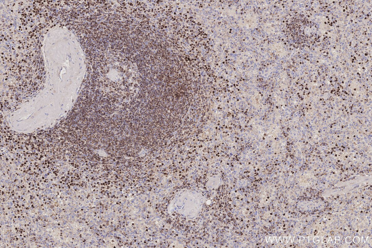
KHC3197 is a ready-to-use IHC kit for staining of ALOX5AP. The kit provides all reagents, from antigen retrieval to cover slip mounting, that require little to no diluting or handling prior to use. Simply apply the reagents to your sample slide according to the protocol and you're steps away from obtaining high-quality IHC data.

Product name IHCeasy® ALOX5AP Ready-To-Use IHC Kit
Sample type FFPE tissue
Assay type Immunohistochemistry
Primary antibody type Rabbit Polyclonal
Secondary antibody type Polymer-HRP-Goat anti-Rabbit
Reactivity Human

Kit components

ComponentSizeConcentration
Antigen Retrieval Buffer100 mL50×
Washing Buffer100 mL ×220×
Blocking Buffer5 mLRTU
Primary Antibody5 mLRTU
Secondary Antibody5 mLRTU
Chromogen Component A0.2 mLRTU
Chromogen Component B4 mLRTU
Signal Enhancer5 mLRTU
Counter Staining Reagent5 mLRTU
Mounting Media5 mLRTU
Datasheet1 Copy
Manual1 Copy

Properties

Storage Instructions All the reagents are stored at 2-8°C. The kit is stable for 6 months from the date of receipt.
Synonyms AL5AP, Arachidonate 5-lipoxygenase-activating protein, FLAP, MK 886 binding protein, MK-886-binding protein
||
New chat

Able

正在加载,请稍候...