IHCeasy® ALDH1L2 Ready-To-Use IHC Kit
ALDH1L2 Ready-to-use reagent kit for IHC.
Reactivity
Human, Mouse, Rat
Sample Type
FFPE tissue
Cat no : KHC3260
Synonyms
ALDH1L 2, EC:1.5.1.6, Mitochondrial 10-formyltetrahydrofolate dehydrogenase, Mitochondrial 10-FTHFDH, mtFDH
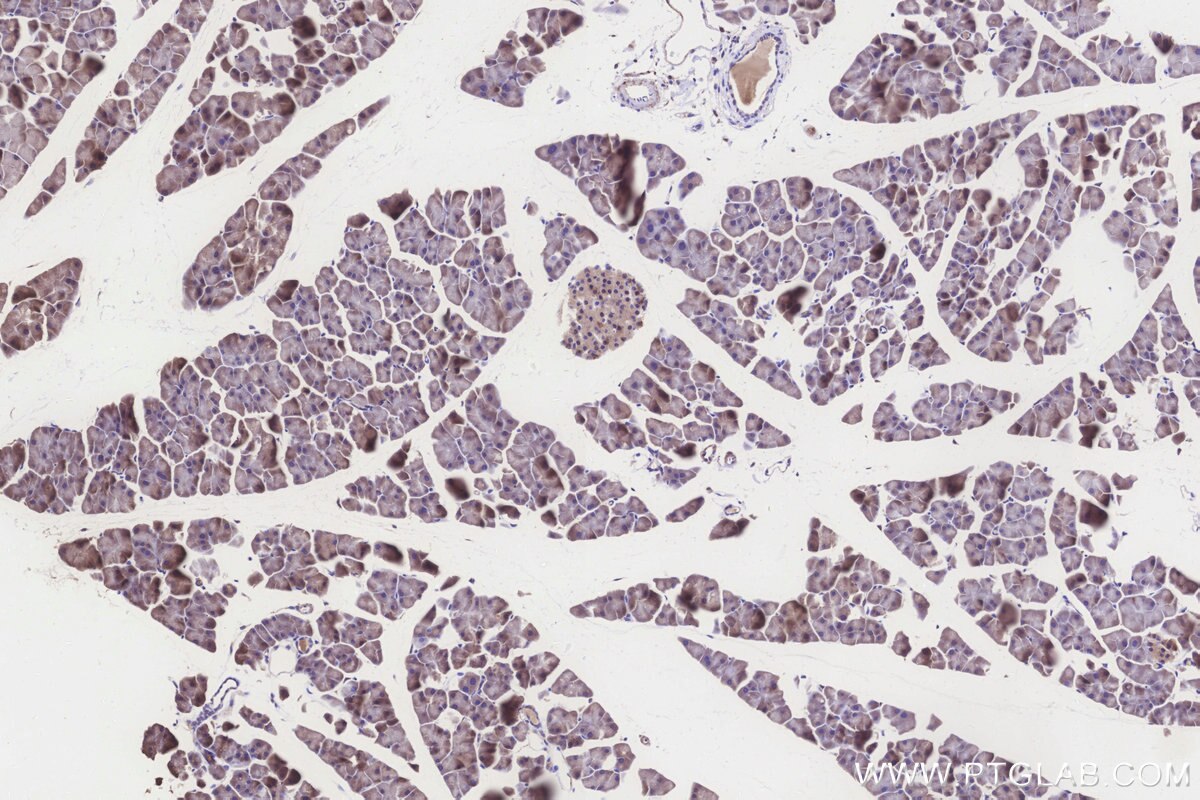
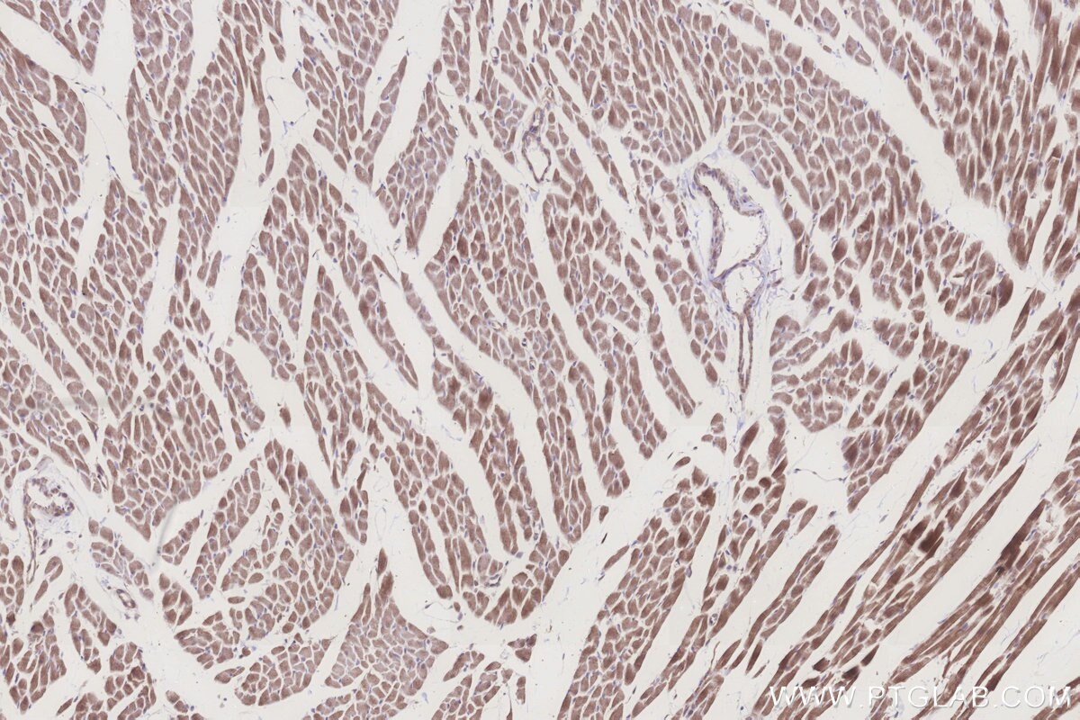
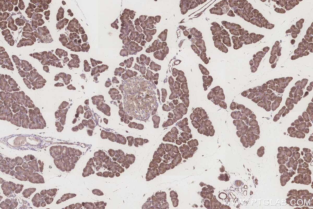
Validation Data Gallery
Product Information
KHC3260 is a ready-to-use IHC kit for staining of ALDH1L2. The kit provides all reagents, from antigen retrieval to cover slip mounting, that require little to no diluting or handling prior to use. Simply apply the reagents to your sample slide according to the protocol and you're steps away from obtaining high-quality IHC data.
| Product name | IHCeasy® ALDH1L2 Ready-To-Use IHC Kit |
| Sample type | FFPE tissue |
| Assay type | Immunohistochemistry |
| Primary antibody type | Rabbit Polyclonal |
| Secondary antibody type | Polymer-HRP-Goat anti-Rabbit |
| Reactivity | Human, Mouse, Rat |
Kit components
| Component | Size | Concentration |
|---|---|---|
| Antigen Retrieval Buffer | 100 mL | 50× |
| Washing Buffer | 100 mL ×2 | 20× |
| Blocking Buffer | 5 mL | RTU |
| Primary Antibody | 5 mL | RTU |
| Secondary Antibody | 5 mL | RTU |
| Chromogen Component A | 0.2 mL | RTU |
| Chromogen Component B | 4 mL | RTU |
| Signal Enhancer | 5 mL | RTU |
| Counter Staining Reagent | 5 mL | RTU |
| Mounting Media | 5 mL | RTU |
| Datasheet | 1 Copy | |
| Manual | 1 Copy |
Background Information
ALDH1L2(Aldehyde dehydrogenase family 1 member L2) is also named as mitochondrial 10-FTHFDH, mtFDH and belongs to the aldehyde dehydrogenase family and ALDH1L subfamily. It is a mitochondrial enzyme, a likely source of CO2 production from 10-formyltetrahydrofolate in mitochondria and playing an essential role in the distribution of one-carbon groups between the cytosolic and mitochondrial compartments of the cell. It also has dehydrogenase/hydrolase activities similar to cytosolic FDH (ALDH1L1). The native ALDH1L2 has been reported to exist as a dimer or tetramer.
Properties
| Storage Instructions | All the reagents are stored at 2-8°C. The kit is stable for 6 months from the date of receipt. |
| Synonyms | ALDH1L 2, EC:1.5.1.6, Mitochondrial 10-formyltetrahydrofolate dehydrogenase, Mitochondrial 10-FTHFDH, mtFDH |




