Validation Data Gallery
Tested Applications
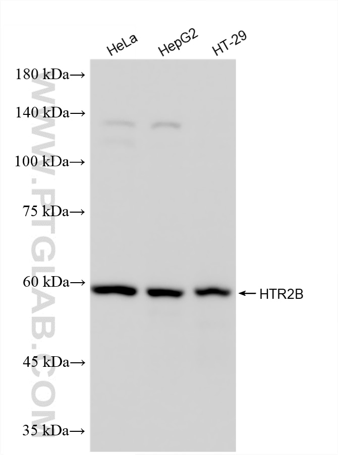
| Positive WB detected in | HeLa cells, HepG2 cells, HT-29 cells |
Recommended dilution
| Application | Dilution |
|---|---|
| Western Blot (WB) | WB : 1:1000-1:8000 |
| It is recommended that this reagent should be titrated in each testing system to obtain optimal results. | |
| Sample-dependent, Check data in validation data gallery. | |
Product Information
87277-1-RR targets HTR2B in WB, ELISA applications and shows reactivity with human samples.
| Tested Reactivity | human |
| Host / Isotype | Rabbit / IgG |
| Class | Recombinant |
| Type | Antibody |
| Immunogen |
CatNo: Ag24007 Product name: Recombinant human HTR2B protein Source: e coli.-derived, PET28a Tag: 6*His Domain: 1-56 aa of BC063123 Sequence: MALSYRVSELQSTIPEHILQSTFVHVISSNWSGLQTESIPEEMKQIVEEQGNKLHW 相同性解析による交差性が予測される生物種 |
| Full Name | 5-hydroxytryptamine (serotonin) receptor 2B |
| Calculated molecular weight | 54 kDa |
| Observed molecular weight | 57 kDa |
| GenBank accession number | BC063123 |
| Gene Symbol | HTR2B |
| Gene ID (NCBI) | 3357 |
| Conjugate | Unconjugated |
| Form | |
| Form | Liquid |
| Purification Method | Protein A purification |
| UNIPROT ID | P41595 |
| Storage Buffer | PBS with 0.02% sodium azide and 50% glycerol{{ptg:BufferTemp}}7.3 |
| Storage Conditions | Store at -20°C. Stable for one year after shipment. Aliquoting is unnecessary for -20oC storage. |
Background Information
The serotonin (5-HT) gene has been implicated in the development of personality traits or temperament predisposition. HTR2B(serotonin receptor 2B) has been shown that 3,4-methylene-dioxymethamphetamine, commonly referred to as the drug ecstasy, selectively binds and activates 5-HT2B receptors to induce serotonin release in mouse raphe nuclei, which leads to dopamine release in the nucleus accumbens and ventral tegmentum (PMID:23774082). Moreover, One of the most reliable predictive markers of UM (Uveal melanoma) at risk of evolving toward the formation of liver lesions is an abnormally elevated level of expression of the transcript encoding the HTR2B (PMID:31002821).
Protocols
| Product Specific Protocols | |
|---|---|
| WB protocol for HTR2B antibody 87277-1-RR | Download protocol |
| Standard Protocols | |
|---|---|
| Click here to view our Standard Protocols |
