Validation Data Gallery
Tested Applications
| Positive WB detected in | HeLa cells, HepG2 cells, A549 cells |
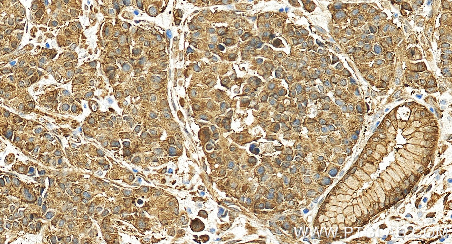
| Positive IHC detected in | human stomach cancer tissue Note: suggested antigen retrieval with TE buffer pH 9.0; (*) Alternatively, antigen retrieval may be performed with citrate buffer pH 6.0 |
| Positive IF/ICC detected in | HeLa cells |
Recommended dilution
| Application | Dilution |
|---|---|
| Western Blot (WB) | WB : 1:2000-1:10000 |
| Immunohistochemistry (IHC) | IHC : 1:500-1:2000 |
| Immunofluorescence (IF)/ICC | IF/ICC : 1:200-1:800 |
| It is recommended that this reagent should be titrated in each testing system to obtain optimal results. | |
| Sample-dependent, Check data in validation data gallery. | |
Product Information
80046-5-RR targets HSP27 in WB, IHC, IF/ICC, ELISA applications and shows reactivity with human samples.
| Tested Reactivity | human |
| Host / Isotype | Rabbit / IgG |
| Class | Recombinant |
| Type | Antibody |
| Immunogen |
CatNo: Eg4620 Product name: Recombinant Human HSP27 protein (rFc Tag) Source: mammalian cells-derived, pHZ-KIsec-C-rFc Tag: C-rFc Domain: 70-184 aa of NM_001540.5 Sequence: APAYSRALSRQLSSGVSEIRHTADRWRVSLDVNHFAPDELTVKTKDGVVEITGKHEERQDEHGYISRCFTRKYTLPPGVDPTQVSSSLSPEGTLTVEAPMPKLATQSNEITIPVT 相同性解析による交差性が予測される生物種 |
| Full Name | heat shock 27kDa protein 1 |
| Calculated molecular weight | 23kDa |
| Observed molecular weight | 27 kDa |
| GenBank accession number | NM_001540.5 |
| Gene Symbol | HSPB1 |
| Gene ID (NCBI) | 3315 |
| Conjugate | Unconjugated |
| Form | |
| Form | Liquid |
| Purification Method | Protein A purification |
| UNIPROT ID | P04792 |
| Storage Buffer | PBS with 0.02% sodium azide and 50% glycerol{{ptg:BufferTemp}}7.3 |
| Storage Conditions | Store at -20°C. Stable for one year after shipment. Aliquoting is unnecessary for -20oC storage. |
Background Information
HSPB1, also known as heat shock protein 27 (HSP27), belongs to the small heat shock protein family which is induced in response to environmental challenges or/and developmental transitions. It is also an anti-apoptotic protein that plays crucial roles in tumorigenesis and cell survival and is reported to be an independent prognosis marker for cancer. Recently HSPB1 has been found to be a valuable marker for melanoma. In addition to the predicted 27 kDa, an extra 50-55 kDa representing dimeric form of HSPB1 may also be observed (PMID: 21353161). It's notable that mouse HSP27 is also named HSP25 and has the predicted MW between 19-23 kDa.
Protocols
| Product Specific Protocols | |
|---|---|
| IF protocol for HSP27 antibody 80046-5-RR | Download protocol |
| IHC protocol for HSP27 antibody 80046-5-RR | Download protocol |
| WB protocol for HSP27 antibody 80046-5-RR | Download protocol |
| Standard Protocols | |
|---|---|
| Click here to view our Standard Protocols |



