HSD17B4 Monoclonal antibody, PBS Only (Capture)

HSD17B4 Monoclonal Antibody for WB, IF/ICC, Cytometric bead array, Indirect ELISA
Cat No. 60951-1-PBS
Clone No.1A3H11

Host / Isotype

Mouse / IgG2a

Reactivity

human

Applications

WB, IF/ICC, Cytometric bead array, Indirect ELISA

(3R)-hydroxyacyl-CoA dehydrogenase, 17 beta HSD 4, 17-beta-HSD 4, 17-beta-hydroxysteroid dehydrogenase 4, D bifunctional protein

Formulation:  PBS Only
Conjugate:  Unconjugated
Size/Concentration: 

-/ -


ご購入について

国内販売は「コスモ・バイオ株式会社」を通じて行っております。お見積り・ご注文はお近くの販売代理店へご連絡ください。


国内在庫・納期について

約2万点のプロテインテック製品をコスモバイオ社物流センター(国内)に在庫しています。国内在庫の有無はコスモバイオ社ホームページの「品番検索」でカタログ番号を検索して確認できます。


保証・サポートについて

テクニカルサポートまたはご購入後1年間の交換/補填対応を承ります。詳細はこちらをご覧ください。


Tested Applications

Recommended dilution

ApplicationDilution
It is recommended that this reagent should be titrated in each testing system to obtain optimal results.

Product Information

60951-1-PBS targets HSD17B4 as part of a matched antibody pair:

MP51363-1: 60951-1-PBS capture and 60951-2-PBS detection (validated in Cytometric bead array)

Unconjugated mouse monoclonal antibody pair in PBS only (BSA and azide free) storage buffer at a concentration of 1 mg/mL, ready for conjugation.

This conjugation ready format makes antibodies ideal for use in many applications including: ELISAs, multiplex assays requiring matched pairs, mass cytometry, and multiplex imaging applications.Antibody use should be optimized by the end user for each application and assay.

Tested Reactivity human
Host / Isotype Mouse / IgG2a
Class Monoclonal
Type Antibody
Immunogen

CatNo: Ag7221

Product name: Recombinant human HSD17B4 protein

Source: e coli.-derived, PET28a

Tag: 6*His

Domain: 436-736 aa of BC003098

Sequence: GSGVVIIMDVYSYSEKELICHNQFSLFLVGSGGFGGKRTSDKVKVAVAIPNRPPDAVLTDTTSLNQAALYRLSGDWNPLHIDPNFASLAGFDKPILHGLCTFGFSARRVLQQFADNDVSRFKAIKARFAKPVYPGQTLQTEMWKEGNRIHFQTKVQETGDIVISNAYVDLAPTSGTSAKTPSEGGKLQSTFVFEEIGRRLKDIGPEVVKKVNAVFEWHITKGGNIGAKWTIDLKSGSGKVYQGPAKGAADTTIILSDEDFMEVVLGKLDPQKAFFSGRLKARGNIMLSQKLQMILKDYAKL

相同性解析による交差性が予測される生物種
Full Name hydroxysteroid (17-beta) dehydrogenase 4
Calculated molecular weight 80 kDa
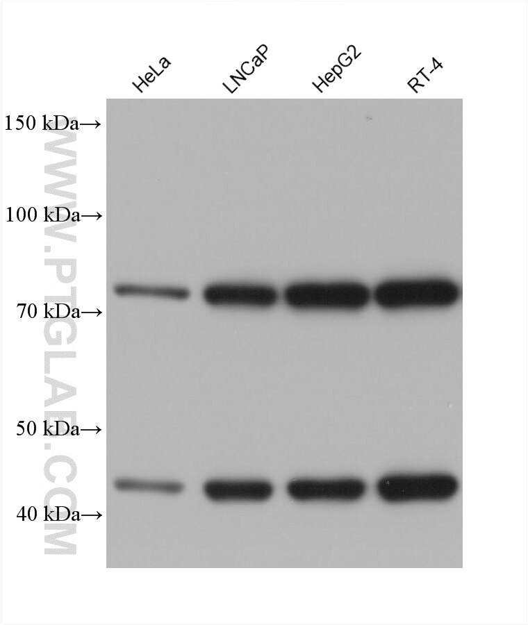
Observed molecular weight 80 kDa, 45 kDa
GenBank accession numberBC003098
Gene Symbol HSD17B4
Gene ID (NCBI) 3295
Conjugate Unconjugated
Form
FormLiquid
Purification MethodProtein A purification
UNIPROT IDP51659
Storage Buffer PBS only{{ptg:BufferTemp}}7.3
Storage ConditionsStore at -80°C.

Background Information

HSD17B4 (17-beta-hydroxysteroid dehydrogenase 4) is also named as Peroxisomal multifunctional enzyme type 2, D-bifuntional protein or multifunctional protein 2. It codes for a 80 kDa enzyme containing three distinct functional domains and is localized in peroxisomes. It is a bifunctional enzyme acting on the peroxisomal beta-oxidation pathway for fatty acids and catalyzing the formation of 3-ketoacyl-CoA intermediates from both straight-chain and 2-methyl-brancked-chian fatty acids. After peroxisomal import, the full-length protein is proteolytically cleaved to yield a 35-kDa dehydrogenase subunit and a 45-kDa hydratase subunit containing the hydratase and SCP domains (PMID: 28868548, 24602372).

Loading...
||
New chat

Able

正在加载,请稍候...