Validation Data Gallery
Tested Applications
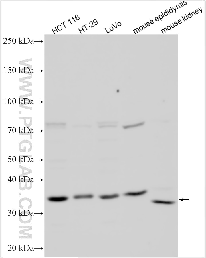
| Positive WB detected in | mouse kidney tissue, HCT 116 cells, HT-29 cells, LoVo cells, mouse epididymis tissue, rat kidney tissue |
Recommended dilution
| Application | Dilution |
|---|---|
| Western Blot (WB) | WB : 1:500-1:2000 |
| It is recommended that this reagent should be titrated in each testing system to obtain optimal results. | |
| Sample-dependent, Check data in validation data gallery. | |
Product Information
31387-1-AP targets HOXB8 in WB, ELISA applications and shows reactivity with human, mouse, rat samples.
| Tested Reactivity | human, mouse, rat |
| Host / Isotype | Rabbit / IgG |
| Class | Polyclonal |
| Type | Antibody |
| Immunogen |
CatNo: Ag34946 Product name: Recombinant human HOXB8 protein Source: e coli.-derived, PGEX-4T Tag: GST Domain: 15-134 aa of NM_024016 Sequence: TGESLRPNYYDCGFAQDLGGRPTVVYGPSSGGSFQHPSQIQEFYHGPSSLSTAPYQQNPCAVACHGDPGNFYGYDPLQRQSLFGAQDPDLVQYADCKLAAASGLGEEAEGSEQSPSPTQL 相同性解析による交差性が予測される生物種 |
| Full Name | homeobox B8 |
| Calculated molecular weight | 28 kDa |
| Observed molecular weight | 31 kDa |
| GenBank accession number | NM_024016 |
| Gene Symbol | HOXB8 |
| Gene ID (NCBI) | 3218 |
| Conjugate | Unconjugated |
| Form | |
| Form | Liquid |
| Purification Method | Antigen affinity Purification |
| UNIPROT ID | P17481 |
| Storage Buffer | PBS with 0.02% sodium azide and 50% glycerol{{ptg:BufferTemp}}7.3 |
| Storage Conditions | Store at -20°C. Stable for one year after shipment. Aliquoting is unnecessary for -20oC storage. |
Background Information
HOXB8, also known as homeobox B8, is a member of the homeobox family. HOXB8 plays a role in the regulation of embryonic development. It helps determine the identity and differentiation of cells along the anterior-posterior axis of the body. ncreased expression of HOXB8 is associated with colorectal cancer. It has been found to enhance the proliferation and metastasis of colorectal cancer cells by promoting epithelial-mesenchymal transition (EMT) via STAT3 activation (PMID: 30622439).
Protocols
| Product Specific Protocols | |
|---|---|
| WB protocol for HOXB8 antibody 31387-1-AP | Download protocol |
| Standard Protocols | |
|---|---|
| Click here to view our Standard Protocols |

