Validation Data Gallery
Tested Applications
Recommended dilution
| Application | Dilution |
|---|---|
| It is recommended that this reagent should be titrated in each testing system to obtain optimal results. | |
Product Information
85041-3-PBS targets HIRIP3 as part of a matched antibody pair:
MP01775-1: 85041-3-PBS capture and 85041-2-PBS detection (validated in Cytometric bead array)
MP01775-2: 85041-3-PBS capture and 85041-1-PBS detection (validated in Cytometric bead array)
Unconjugated rabbit recombinant monoclonal antibody in PBS only (BSA and azide free) storage buffer at a concentration of 1 mg/mL, ready for conjugation. Created using Proteintech’s proprietary in-house recombinant technology. Recombinant production enables unrivalled batch-to-batch consistency, easy scale-up, and future security of supply.
This conjugation ready format makes antibodies ideal for use in many applications including: ELISAs, multiplex assays requiring matched pairs, mass cytometry, and multiplex imaging applications.Antibody use should be optimized by the end user for each application and assay.
| Tested Reactivity | human |
| Host / Isotype | Rabbit / IgG |
| Class | Recombinant |
| Type | Antibody |
| Immunogen |
CatNo: Ag6978 Product name: Recombinant human HIRIP3 protein Source: e coli.-derived, PGEX-4T Tag: GST Domain: 207-556 aa of BC000588 Sequence: TAKKVEGNKGTKSLKESEQESEEEILAQKKEQREEEVEEEEKEEDEEKGDWKPRTRSNGRRKSAREERSCKQKSQAKRLLGDSDSEEEQKEAASSGDDSGRDREPPVQRKSEDRTQLKGGKRLSGSSEDEEDSGKGEPTAKGSRKMARLGSTSGEESDLEREVSDSEAGGGPQGERKNRSSKKSSRKGRTRSSSSSSDGSPEAKGGKAGSGRRGEDHPAVMRLKRYIRACGAHRNYKKLLGSCCSHKERLSILRAELEALGMKGTPSLGKCRALKEQREEAAEVASLDVANIISGSGRPRRRTAWNPLGEAAPPGELYRRTLDSDEERPRPAPPDWSHMRGIISSDGESN 相同性解析による交差性が予測される生物種 |
| Full Name | HIRA interacting protein 3 |
| Calculated molecular weight | 62 kDa |
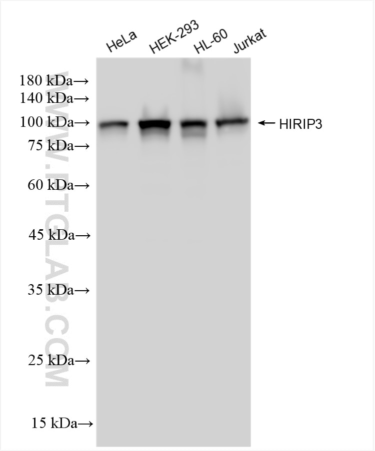
| Observed molecular weight | 90 kDa |
| GenBank accession number | BC000588 |
| Gene Symbol | HIRIP3 |
| Gene ID (NCBI) | 8479 |
| Conjugate | Unconjugated |
| Form | |
| Form | Liquid |
| Purification Method | Protein A purification |
| UNIPROT ID | Q9BW71 |
| Storage Buffer | PBS only{{ptg:BufferTemp}}7.3 |
| Storage Conditions | Store at -80°C. |
Background Information
The HIRIP3 protein had been identified from its interaction with the HIRA histone chaperone. It may play a role in chromatin function and histone metabolism via its interaction with HIRA and histones.




