Validation Data Gallery
Tested Applications
| Positive WB detected in | HEK-293T cells, HeLa cells, HepG2 cells |
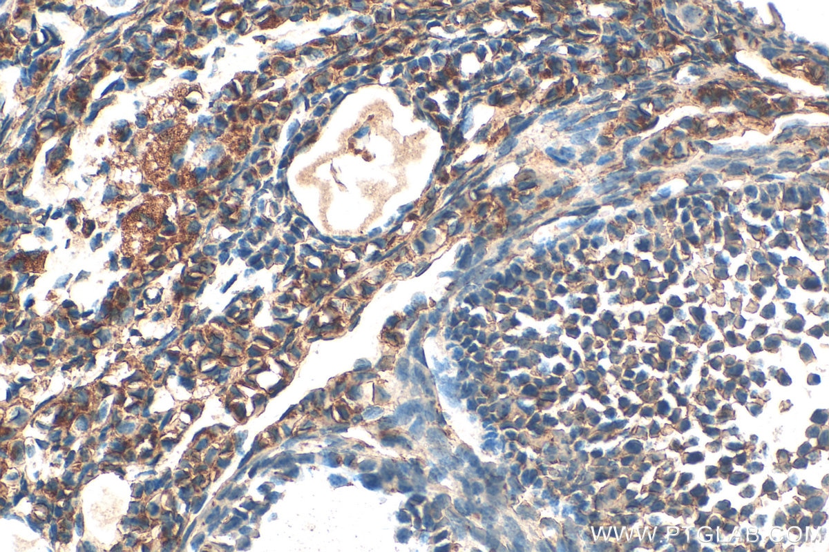
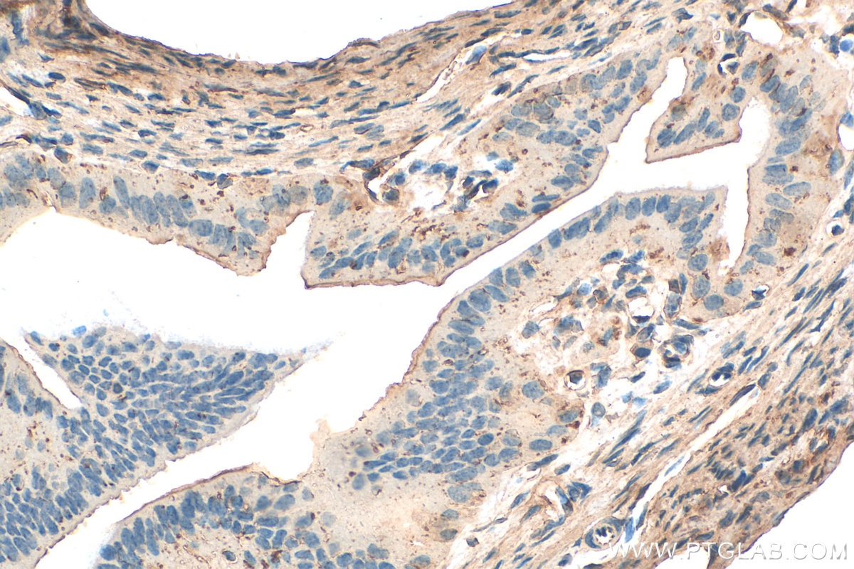
| Positive IHC detected in | mouse ovary tissue Note: suggested antigen retrieval with TE buffer pH 9.0; (*) Alternatively, antigen retrieval may be performed with citrate buffer pH 6.0 |
| Positive IF/ICC detected in | HepG2 cells |
| Positive FC (Intra) detected in | A2780 cells |
Recommended dilution
| Application | Dilution |
|---|---|
| Western Blot (WB) | WB : 1:500-1:2000 |
| Immunohistochemistry (IHC) | IHC : 1:50-1:500 |
| Immunofluorescence (IF)/ICC | IF/ICC : 1:200-1:800 |
| Flow Cytometry (FC) (INTRA) | FC (INTRA) : 0.25 ug per 10^6 cells in a 100 µl suspension |
| It is recommended that this reagent should be titrated in each testing system to obtain optimal results. | |
| Sample-dependent, Check data in validation data gallery. | |
Published Applications
| KD/KO | See 5 publications below |
| WB | See 8 publications below |
| IF | See 3 publications below |
| IP | See 2 publications below |
Product Information
21749-1-AP targets HIGD1A in WB, IHC, IF/ICC, FC (Intra), IP, ELISA applications and shows reactivity with human samples.
| Tested Reactivity | human |
| Cited Reactivity | human |
| Host / Isotype | Rabbit / IgG |
| Class | Polyclonal |
| Type | Antibody |
| Immunogen |
CatNo: Ag14027 Product name: Recombinant human HIGD1A protein Source: e coli.-derived, PET28a Tag: 6*His Domain: 1-93 aa of BC000601 Sequence: MSTDTGVSLPSYEEDQGSKLIRKAKEAPFVPVGIAGFAAIVAYGLYKLKSRGNTKMSIHLIHMRVAAQGFVVGAMTVGMGYSMYREFWAKPKP 相同性解析による交差性が予測される生物種 |
| Full Name | HIG1 hypoxia inducible domain family, member 1A |
| Calculated molecular weight | 93 aa, 10 kDa |
| Observed molecular weight | 10 kDa |
| GenBank accession number | BC000601 |
| Gene Symbol | HIGD1A |
| Gene ID (NCBI) | 25994 |
| RRID | AB_10858789 |
| Conjugate | Unconjugated |
| Form | |
| Form | Liquid |
| Purification Method | Antigen affinity purification |
| UNIPROT ID | Q9Y241 |
| Storage Buffer | PBS with 0.02% sodium azide and 50% glycerol{{ptg:BufferTemp}}7.3 |
| Storage Conditions | Store at -20°C. Stable for one year after shipment. Aliquoting is unnecessary for -20oC storage. |
Background Information
HIG1 domain family member 1A (HIGD1A) is a proposed subunit of cytochrome c oxidase (COX, complex IV), which is the terminal component of the mitochondrial respiratory chain that catalyzes the reduction of oxygen to water. May play a role in the assembly of respiratory supercomplexes (22342701). It is induced by hypoxia induction.This antibody is a rabbit polyclonal antibody raised against a full-length human HIGD1A protein.
Protocols
| Product Specific Protocols | |
|---|---|
| IF protocol for HIGD1A antibody 21749-1-AP | Download protocol |
| IHC protocol for HIGD1A antibody 21749-1-AP | Download protocol |
| WB protocol for HIGD1A antibody 21749-1-AP | Download protocol |
| Standard Protocols | |
|---|---|
| Click here to view our Standard Protocols |
Publications
| Species | Application | Title |
|---|---|---|
Proc Natl Acad Sci U S A Higd1a is a positive regulator of cytochrome c oxidase.
| ||
Oncogene DNA damage-induced translocation of mitochondrial factor HIGD1A into the nucleus regulates homologous recombination and radio/chemo-sensitivity.
| ||
Mol Cell Proteomics HIGD2A is Required for Assembly of the COX3 Module of Human Mitochondrial Complex IV
| ||
Mol Cell Proteomics HIGD2A is Required for Assembly of the COX3 Module of Human Mitochondrial Complex IV.
| ||
PLoS One Nuclear localization of the mitochondrial factor HIGD1A during metabolic stress. |





