Validation Data Gallery
Tested Applications
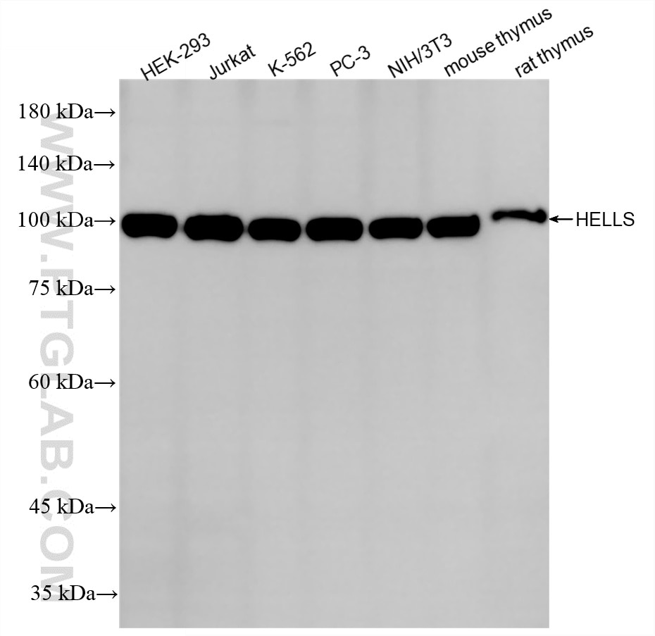
| Positive WB detected in | HEK-293 cells, Jurkat cells, K-562 cells, PC-3 cells, NIH/3T3 cells, mouse thymus tissue, rat thymus tissue |
Recommended dilution
| Application | Dilution |
|---|---|
| Western Blot (WB) | WB : 1:2000-1:10000 |
| It is recommended that this reagent should be titrated in each testing system to obtain optimal results. | |
| Sample-dependent, Check data in validation data gallery. | |
Product Information
87169-1-RR targets HELLS in WB, ELISA applications and shows reactivity with human, mouse, rat samples.
| Tested Reactivity | human, mouse, rat |
| Host / Isotype | Rabbit / IgG |
| Class | Recombinant |
| Type | Antibody |
| Immunogen |
CatNo: Ag2558 Product name: Recombinant human HELLS protein Source: e coli.-derived, PGEX-4T Tag: GST Domain: 1-348 aa of BC031004 Sequence: MFGSSEKETIELSPTGRPKRRTRKSINYSKIDDFPNELEKLISQIQPEVDRERAVVEVNIPVESEVNLKLQNIMMLLRKCCNHPYLIEYPIDPVTQEFKIDEELVTNSGKFLILDRMLPELKKRGHKVLLFSQMTSMLDILMDYCHLRDFNFSRLDGSMSYSEREKNMHSFNTDPEVFIFLVSTRAGGLGINLTAADTVIIYDSDWNPQSDLQAQDRCHRIGQTKPVVVYRLVTANTIDQKIVERAAAKRKLEKLIIHKNHFKGGQSGLNLSKNFLDPKELMELLKSRDYEREIKGSREKVISDKDLELLLDRSDLIDQMNASGPIKEKMGIFKILENSEDSSPECLF 相同性解析による交差性が予測される生物種 |
| Full Name | helicase, lymphoid-specific |
| Calculated molecular weight | 348 aa, 40 kDa, 97 kDa |
| Observed molecular weight | 97 kDa |
| GenBank accession number | BC031004 |
| Gene Symbol | HELLS |
| Gene ID (NCBI) | 3070 |
| Conjugate | Unconjugated |
| Form | |
| Form | Liquid |
| Purification Method | Protein A purification |
| UNIPROT ID | Q9NRZ9 |
| Storage Buffer | PBS with 0.02% sodium azide and 50% glycerol{{ptg:BufferTemp}}7.3 |
| Storage Conditions | Store at -20°C. Stable for one year after shipment. Aliquoting is unnecessary for -20oC storage. |
Background Information
Lymphoid-specific helicase(HELLS) is a member of the SNF2 family of chromatin remodeling proteins that is required for development and survival. It's required for de novo or maintenance DNA methylation, which mediated the silencing of the imprinted CDKN1C gene. Also it involved in formation and organization of heterochromatin that regulate transcription and mitosis.
Protocols
| Product Specific Protocols | |
|---|---|
| WB protocol for HELLS antibody 87169-1-RR | Download protocol |
| Standard Protocols | |
|---|---|
| Click here to view our Standard Protocols |

