Validation Data Gallery
Tested Applications
| Positive WB detected in | THP-1 cells |
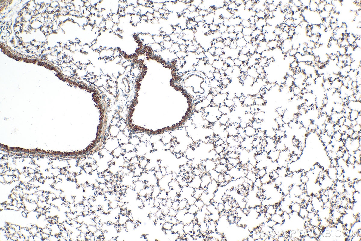
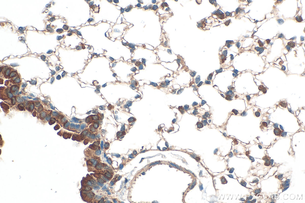
| Positive IHC detected in | human intrahepatic cholangiocarcinoma tissue, mouse lung tissue Note: suggested antigen retrieval with TE buffer pH 9.0; (*) Alternatively, antigen retrieval may be performed with citrate buffer pH 6.0 |
Recommended dilution
| Application | Dilution |
|---|---|
| Western Blot (WB) | WB : 1:500-1:2000 |
| Immunohistochemistry (IHC) | IHC : 1:50-1:500 |
| It is recommended that this reagent should be titrated in each testing system to obtain optimal results. | |
| Sample-dependent, Check data in validation data gallery. | |
Product Information
30531-1-AP targets GSDMD in WB, IHC, ELISA applications and shows reactivity with human samples.
| Tested Reactivity | human |
| Host / Isotype | Rabbit / IgG |
| Class | Polyclonal |
| Type | Antibody |
| Immunogen |
CatNo: Ag33627 Product name: Recombinant human GSDMD protein Source: e coli.-derived, PGEX-4T Tag: GST Domain: 276-484 aa of BC008904 Sequence: GVPAEGAFTEDFQGLRAEVETISKELELLDRELCQLLLEGLEGVLRDQLALRALEEALEQGQSLGPVEPLDGPAGAVLECLVLSSGMLVPELAIPVVYLLGALTMLSETQHKLLAEALESQTLLGPLELVGSLLEQSAPWQERSTMSLPPGLLGNSWGEGAPAWVLLDECGLELGEDTPHVCWEPQAQGRMCALYASLALLSGLSQEPH 相同性解析による交差性が予測される生物種 |
| Full Name | gasdermin D |
| Calculated molecular weight | 484 aa, 53 kDa |
| Observed molecular weight | 53 kDa, 43 kDa |
| GenBank accession number | BC008904 |
| Gene Symbol | GSDMD |
| Gene ID (NCBI) | 79792 |
| RRID | AB_3086353 |
| Conjugate | Unconjugated |
| Form | |
| Form | Liquid |
| Purification Method | Antigen affinity purification |
| UNIPROT ID | P57764 |
| Storage Buffer | PBS with 0.02% sodium azide and 50% glycerol{{ptg:BufferTemp}}7.3 |
| Storage Conditions | Store at -20°C. Stable for one year after shipment. Aliquoting is unnecessary for -20oC storage. |
Background Information
GSDMD is a 53 kDa cytosolic protein and a member of the gasdermin protein family, which features 6 members in humans (GSDMA, -B, -C, -D, -E and -F. GSDMD was identified as the executioner of inflammasome-associated pyroptosis. Caspase-1, -11, or -4 cleave GSDMD after an aspartate residue within a central linker domain (D275 in humans and D276 in mice) to generate a 31-kDa N-terminal GSDMD fragment (GSDMD-NT) and a 22-kDa C-terminal fragment (GSDMD-CT). In addition to the canonical 31/22 kDa cleavage products, a 43 kDa fragment has been observed under specific experimental or pathological conditions. The generation of the 43 kDa fragment was observed upon caspase-3 and -7 activation during apoptosis. This antibody can detect 53 kDa full-length GSDMD and 43 kDa fragment as described in the literature (PMID: 28392147, PMID: 28979266).
Protocols
| Product Specific Protocols | |
|---|---|
| IHC protocol for GSDMD antibody 30531-1-AP | Download protocol |
| WB protocol for GSDMD antibody 30531-1-AP | Download protocol |
| Standard Protocols | |
|---|---|
| Click here to view our Standard Protocols |




