Validation Data Gallery
Tested Applications
Recommended dilution
| Application | Dilution |
|---|---|
| It is recommended that this reagent should be titrated in each testing system to obtain optimal results. | |
Product Information
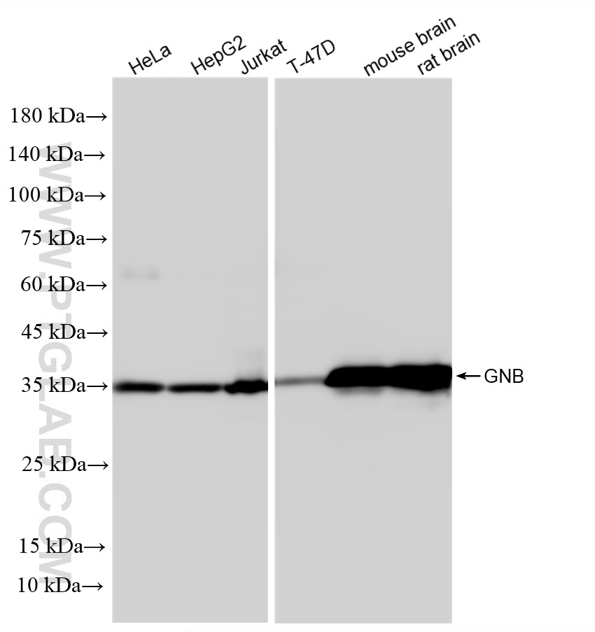
87127-3-PBS targets GNB1 in WB, IF/ICC, Indirect ELISA applications and shows reactivity with human, mouse, rat samples.
| Tested Reactivity | human, mouse, rat |
| Host / Isotype | Rabbit / IgG |
| Class | Recombinant |
| Type | Antibody |
| Immunogen |
CatNo: Ag0313 Product name: Recombinant human GNB1 protein Source: e coli.-derived, PGEX-4T Tag: GST Domain: 2-339 aa of BC004186 Sequence: SELDQLRQEAEQLKNQIRDARKACADATLSQITNNIDPVGRIQMRTRRTLRGHLAKIYAMHWGTDSRLLVSASQDGKLIIWDSYTTNKVHAIPLRSSWVMTCAYAPSGNYVACGGLDNICSIYNLKTREGNVRVSRELAGHTGYLSCCRFLDDNQIVTSSGDTTCALWDIETGQQTTTFTGHTGDVMSLSLAPDTRLFVSGACDASAKLWDVREGMCRQTFTGHESDINAICFFPNGNAFATGSDDATCRLFDLRADQELMTYSHDNIICGITSVSFSKSGRLLLAGYDDFNCNVWDALKADRAGVLAGHDNRVSCLGVTDDGMAVATGSWDSFLKIW 相同性解析による交差性が予測される生物種 |
| Full Name | guanine nucleotide binding protein (G protein), beta polypeptide 1 |
| Calculated molecular weight | 37 kDa |
| Observed molecular weight | 35 kDa |
| GenBank accession number | BC004186 |
| Gene Symbol | GNB1 |
| Gene ID (NCBI) | 2782 |
| Conjugate | Unconjugated |
| Form | |
| Form | Liquid |
| Purification Method | Protein A purification |
| UNIPROT ID | P62873 |
| Storage Buffer | PBS only{{ptg:BufferTemp}}7.3 |
| Storage Conditions | Store at -80°C. |
Background Information
GNB1(Guanine nucleotide-binding protein G(I)/G(S)/G(T) subunit beta-1) belongs to the WD repeat G protein beta family.The guanine nucleotide-binding proteins (G proteins) are involved as a modulator or transducer in various transmembrane signaling systems and the beta and gamma chains are required for the GTPase activity, for replacement of GDP by GTP, and for G protein-effector interaction.GNB1 can form dimers with all gamma subunits analyzed(PMID:12782285).


