Validation Data Gallery
Tested Applications
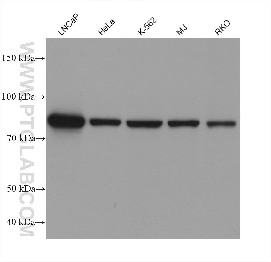
| Positive WB detected in | LNCaP cells, NIH/3T3 cells, HeLa cells, K-562 cells, MJ cells, RKO cells, pig liver tissue |
Recommended dilution
| Application | Dilution |
|---|---|
| Western Blot (WB) | WB : 1:5000-1:50000 |
| It is recommended that this reagent should be titrated in each testing system to obtain optimal results. | |
| Sample-dependent, Check data in validation data gallery. | |
Product Information
60952-3-Ig targets GFM2 in WB, ELISA applications and shows reactivity with human, mouse, pig samples.
| Tested Reactivity | human, mouse, pig |
| Host / Isotype | Mouse / IgG1 |
| Class | Monoclonal |
| Type | Antibody |
| Immunogen |
CatNo: Ag36976 Product name: Recombinant human GFM2 protein Source: e coli.-derived, PET28a Tag: 6*His Domain: 430-779 aa of BC015712 Sequence: GNIALTVGLKHTATGDTIVSSKSSALAAARRAEREGEKKHRQNNEAERLLLAGVEIPEPVFFCTIEPPSLSKQPDLEHALKCLQREDPSLKVRLDPDSGQTVLCGMGELHIEIIHDRIKREYGLETYLGPLQVAYRETILNSVRATDTLDRTLGDKRHLVTVEVEARPIETSSVMPVIEFEYAESINEGLLKVSQEAIENGIHSACLQGPLLGSPIQDVAITLHSLTIHPGTSTTMISACVSRCVQKALKKADKQVLEPLMNLEVTVARDYLSPVLADLAQRRGNIQEIQTRQDNKVVIGFVPLAEIMGYSTVLRTLTSGSATFALELSTYQAMNPQDQNTLLNRRSGLT 相同性解析による交差性が予測される生物種 |
| Full Name | G elongation factor, mitochondrial 2 |
| Calculated molecular weight | 779 aa, 87 kDa |
| Observed molecular weight | 87 kDa |
| GenBank accession number | BC015712 |
| Gene Symbol | GFM2 |
| Gene ID (NCBI) | 84340 |
| Conjugate | Unconjugated |
| Form | |
| Form | Liquid |
| Purification Method | Protein G purification |
| UNIPROT ID | Q969S9 |
| Storage Buffer | PBS with 0.02% sodium azide and 50% glycerol{{ptg:BufferTemp}}7.3 |
| Storage Conditions | Store at -20°C. Stable for one year after shipment. Aliquoting is unnecessary for -20oC storage. |
Protocols
| Product Specific Protocols | |
|---|---|
| WB protocol for GFM2 antibody 60952-3-Ig | Download protocol |
| Standard Protocols | |
|---|---|
| Click here to view our Standard Protocols |

