Validation Data Gallery
Tested Applications
| Positive WB detected in | HEK-293T cells, HAP1 cells, HeLa cells, MCF-10A cells, MCF-7 cells, MDA-MB-231 cells, T-47D cells |
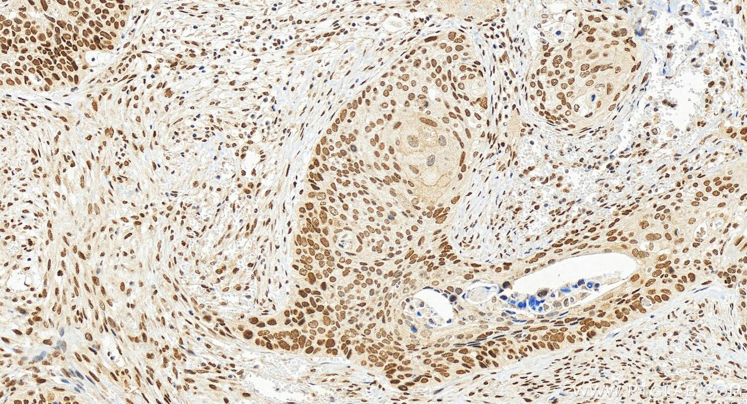
| Positive IHC detected in | mouse brain tissue, human cervical squamous cancer tissue Note: suggested antigen retrieval with TE buffer pH 9.0; (*) Alternatively, antigen retrieval may be performed with citrate buffer pH 6.0 |
Recommended dilution
| Application | Dilution |
|---|---|
| Western Blot (WB) | WB : 1:2000-1:10000 |
| Immunohistochemistry (IHC) | IHC : 1:1000-1:4000 |
| It is recommended that this reagent should be titrated in each testing system to obtain optimal results. | |
| Sample-dependent, Check data in validation data gallery. | |
Product Information
30660-1-AP targets FOXK2 in WB, IHC, ELISA applications and shows reactivity with human, mouse samples.
| Tested Reactivity | human, mouse |
| Host / Isotype | Rabbit / IgG |
| Class | Polyclonal |
| Type | Antibody |
| Immunogen |
CatNo: Ag33625 Product name: Recombinant human FOXK2 protein Source: e coli.-derived, PGEX-4T Tag: GST Domain: 430-660 aa of NM_004514.3 Sequence: LSSQPVLITVQRQLPQAIKPVTYTVATPVTTSTSQPPVVQTVHVVHQIPAVSVTSVAGLAPANTYTVSGQAVVTPAAVLAPPKAEAQENGDHREVKVKVEPIPAIGHATLGTASRIIQTAQTTPVQTVTIVQQAPLGQHQLPIKTVTQNGTHVASVPTAVHGQVNNAAASPLHMLATHASASASLPTKRHNGDQPEQPELKRIKTEDGEGIVIALSVDTPPAAVREKGVQN* 相同性解析による交差性が予測される生物種 |
| Full Name | forkhead box K2 |
| Calculated molecular weight | 69 kDa |
| Observed molecular weight | 69-79 kDa |
| GenBank accession number | NM_004514.3 |
| Gene Symbol | FOXK2 |
| Gene ID (NCBI) | 3607 |
| RRID | AB_3086382 |
| Conjugate | Unconjugated |
| Form | |
| Form | Liquid |
| Purification Method | Antigen affinity purification |
| UNIPROT ID | Q01167 |
| Storage Buffer | PBS with 0.02% sodium azide and 50% glycerol{{ptg:BufferTemp}}7.3 |
| Storage Conditions | Store at -20°C. Stable for one year after shipment. Aliquoting is unnecessary for -20oC storage. |
Background Information
FOXK2 (forkhead box K2), also known as ILF and ILF1. FOXK2 is localized at nucleus and cytoplasm. It is also expected to be expressed in testis, brain and lymphoid and non-lymphoid cells (PMID: 1339390). The protein encoded by this gene contains a fork head DNA binding domain. This protein can bind to the purine-rich motifs of the HIV long terminal repeat (LTR), and to the similar purine-rich motif in the interleukin 2 (IL2) promoter. It may be involved in the regulation of viral and cellular promoter elements. And its molecular weight is 69 kDa. Anett Marais demonstrate that FOXK2 is phosphorylated in a cell cycle-dependent manner. This phosphorylation peaks during M phase and is mediated by CDK·cyclin complexes. FOXK2 exhibits a periodic rise in its phosphorylation levels during the cell cycle, with hyperphosphorylation occurring in mitotic cells (PMID: 20810654).
Protocols
| Product Specific Protocols | |
|---|---|
| IHC protocol for FOXK2 antibody 30660-1-AP | Download protocol |
| WB protocol for FOXK2 antibody 30660-1-AP | Download protocol |
| Standard Protocols | |
|---|---|
| Click here to view our Standard Protocols |



