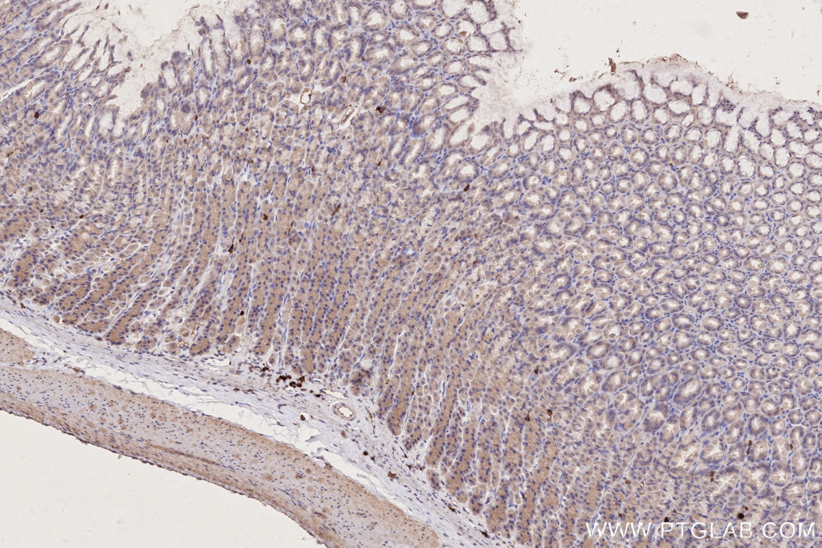
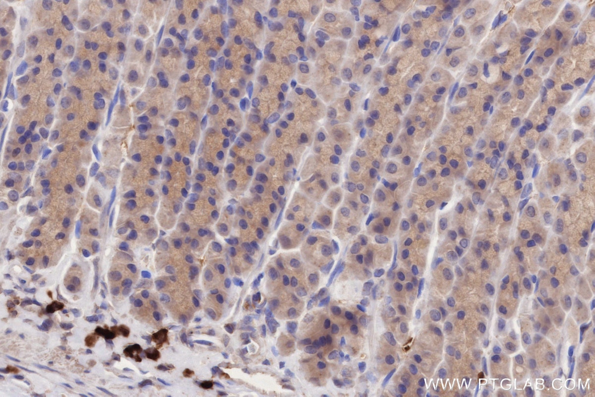
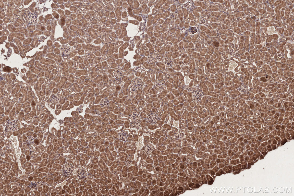
Validation Data Gallery
Tested Applications
| Positive WB detected in | LNCaP cells, HEK-293 cells, U2OS cells, HeLa cells, Jurkat cells, K-562 cells |
Recommended dilution
| Application | Dilution |
|---|---|
| Western Blot (WB) | WB : 1:5000-1:50000 |
| It is recommended that this reagent should be titrated in each testing system to obtain optimal results. | |
| Sample-dependent, Check data in validation data gallery. | |
Published Applications
| KD/KO | See 1 publications below |
| WB | See 1 publications below |
| CoIP | See 1 publications below |
Product Information
68491-1-Ig targets FLAD1 in WB, IHC, CoIP, ELISA applications and shows reactivity with human samples.
| Tested Reactivity | human |
| Cited Reactivity | human |
| Host / Isotype | Mouse / IgG1 |
| Class | Monoclonal |
| Type | Antibody |
| Immunogen |
CatNo: Ag6845 Product name: Recombinant human FLAD1 protein Source: e coli.-derived, PET28a Tag: 6*His Domain: 148-447 aa of BC011378 Sequence: LVSVRNVYLFPGIPELLRRVLEGMKGLFQNPAVQFHSKELYVAADEASIAPILAEAQAHFGRRLGLGSYPDWGSNYYQVKLTLDSEEEGPLEECLAYLTARLPQGSLVPYMPNAVEQASEAVYKLAESGSSLGKKVAGALQTIETSLAQYSLTQLCVGFNGGKDCTALLHLFHAAVQRKLPDVPNPLQILYIRSISPFPELEQFLQDTIKRYNLQMLEAEGSMKQALGELQARHPQLEAVLMGTRRTDPYSCSLCPFSPTDPGWPAFMRINPLLDWTYRDIWDFLRQLFVPYCILYDRG 相同性解析による交差性が予測される生物種 |
| Full Name | FAD1 flavin adenine dinucleotide synthetase homolog (S. cerevisiae) |
| Calculated molecular weight | 446 aa, 49 kDa |
| Observed molecular weight | 50 kDa |
| GenBank accession number | BC011378 |
| Gene Symbol | FLAD1 |
| Gene ID (NCBI) | 80308 |
| RRID | AB_3085202 |
| Conjugate | Unconjugated |
| Form | |
| Form | Liquid |
| Purification Method | Protein G purification |
| UNIPROT ID | Q8NFF5 |
| Storage Buffer | PBS with 0.02% sodium azide and 50% glycerol{{ptg:BufferTemp}}7.3 |
| Storage Conditions | Store at -20°C. Stable for one year after shipment. Aliquoting is unnecessary for -20oC storage. |
Background Information
FLAD1 is a protein-coding gene for flavin adenine dinucleotide synthetase (FADS), a key enzyme in the FAD biosynthesis process which contains an N-terminal molybdopterin -binding (MPTb) domain and a C-terminal domain (FADS domain) (PMID: 32714079). Alternative splicing of the human FLAD1 gene generates different isoforms of the enzyme FAD synthase. ~60 and ~50 kDa bands correspond to the expected mitochondrial FADS1 and cytosolic FADS2 proteins, respectively (PMID: 29316637).
Protocols
| Product Specific Protocols | |
|---|---|
| IHC protocol for FLAD1 antibody 68491-1-Ig | Download protocol |
| WB protocol for FLAD1 antibody 68491-1-Ig | Download protocol |
| Standard Protocols | |
|---|---|
| Click here to view our Standard Protocols |





