Validation Data Gallery
Tested Applications
| Positive IP detected in | U-937 cells, THP-1 cells |
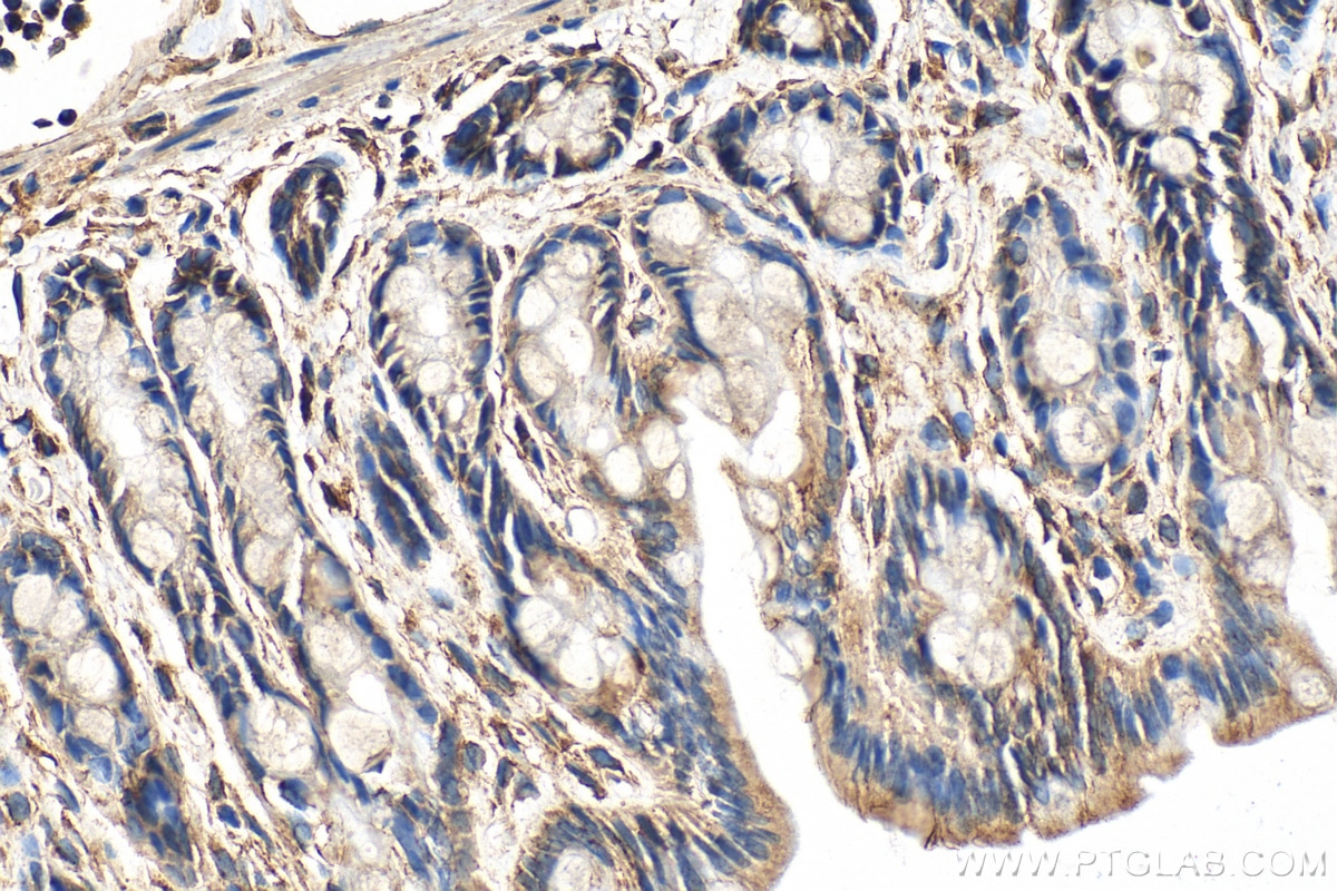
| Positive IHC detected in | mouse colon tissue, rat colon tissue Note: suggested antigen retrieval with TE buffer pH 9.0; (*) Alternatively, antigen retrieval may be performed with citrate buffer pH 6.0 |
| Positive IF/ICC detected in | A431 cells, U-251 cells |
Recommended dilution
| Application | Dilution |
|---|---|
| Immunoprecipitation (IP) | IP : 0.5-4.0 ug for 1.0-3.0 mg of total protein lysate |
| Immunohistochemistry (IHC) | IHC : 1:50-1:500 |
| Immunofluorescence (IF)/ICC | IF/ICC : 1:200-1:800 |
| It is recommended that this reagent should be titrated in each testing system to obtain optimal results. | |
| Sample-dependent, Check data in validation data gallery. | |
Published Applications
| WB | See 1 publications below |
Product Information
20776-1-AP targets FAM96A in WB, IHC, IF/ICC, IP, ELISA applications and shows reactivity with human samples.
| Tested Reactivity | human |
| Cited Reactivity | human |
| Host / Isotype | Rabbit / IgG |
| Class | Polyclonal |
| Type | Antibody |
| Immunogen |
CatNo: Ag14770 Product name: Recombinant human FAM96A protein Source: e coli.-derived, PGEX-4T Tag: GST Domain: 1-90 aa of BC008865 Sequence: MQRVSGLLSWTLSRVLWLSGLSEPGAARQPRIMEEKALEVYDLIRTIRDPEKPNTLEELEVVSESCVEVQEINEEEYLVIIRFTPTVPHC 相同性解析による交差性が予測される生物種 |
| Full Name | family with sequence similarity 96, member A |
| Calculated molecular weight | 160 aa, 18 kDa |
| Observed molecular weight | 18-21 kDa |
| GenBank accession number | BC008865 |
| Gene Symbol | FAM96A |
| Gene ID (NCBI) | 84191 |
| RRID | AB_3669346 |
| Conjugate | Unconjugated |
| Form | |
| Form | Liquid |
| Purification Method | Antigen affinity purification |
| UNIPROT ID | Q9H5X1 |
| Storage Buffer | PBS with 0.02% sodium azide and 50% glycerol{{ptg:BufferTemp}}7.3 |
| Storage Conditions | Store at -20°C. Stable for one year after shipment. Aliquoting is unnecessary for -20oC storage. |
Background Information
FAM96A (family with sequence similarity 96, member A), also called cytosolic iron-sulfur assembly component 2A (CIAO2A), a recently identified member of the cytosolic iron-sulfur (Fe/S) protein assembly machinery and regulator of cellular iron homeostasis, is a novel pro-apoptotic APAF1-binding protein facilitating the effective induction of cell death via the mitochondrial apoptosis pathway. FAM96A is substantially enriched in macrophages comprised primarily of a DUF59 domain (residues 31-157) and an N-terminal signal peptide (residues 1-27), that is expressed at low levels in tumor cells (PMID: 29399066).
Protocols
| Product Specific Protocols | |
|---|---|
| IF protocol for FAM96A antibody 20776-1-AP | Download protocol |
| IHC protocol for FAM96A antibody 20776-1-AP | Download protocol |
| IP protocol for FAM96A antibody 20776-1-AP | Download protocol |
| Standard Protocols | |
|---|---|
| Click here to view our Standard Protocols |





