Validation Data Gallery
Tested Applications
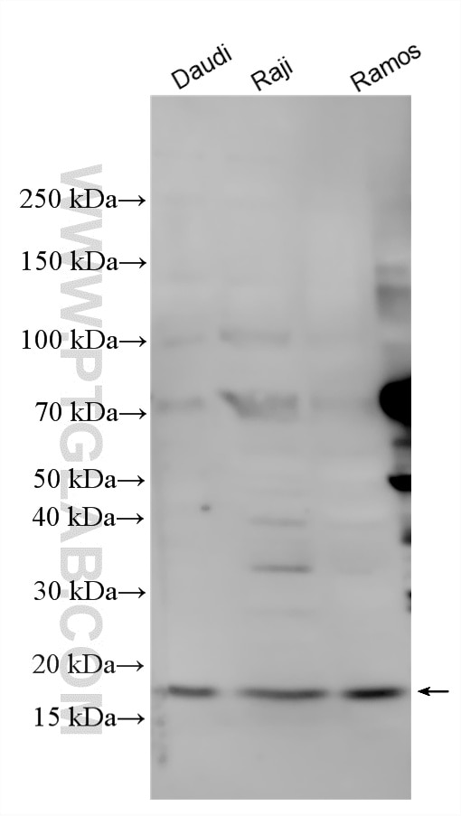
| Positive WB detected in | Daudi cells, Raji cells, Ramos cells |
Recommended dilution
| Application | Dilution |
|---|---|
| Western Blot (WB) | WB : 1:500-1:1000 |
| It is recommended that this reagent should be titrated in each testing system to obtain optimal results. | |
| Sample-dependent, Check data in validation data gallery. | |
Product Information
33987-1-AP targets FAM72A in WB, ELISA applications and shows reactivity with human samples.
| Tested Reactivity | human |
| Host / Isotype | Rabbit / IgG |
| Class | Polyclonal |
| Type | Antibody |
| Immunogen |
CatNo: Ag41693 Product name: Recombinant human FAM72A protein Source: e coli.-derived, PGEX-4T Tag: GST Domain: 98-149 aa of BC035696 Sequence: NGHFWMFHSQAVYDINRLDSTGVNVLLWGNLPEIEESTDEDVLNISAEECIR 相同性解析による交差性が予測される生物種 |
| Full Name | family with sequence similarity 72, member A |
| Calculated molecular weight | 149 aa, 17 kDa |
| Observed molecular weight | 17 kDa |
| GenBank accession number | BC035696 |
| Gene Symbol | FAM72 |
| Gene ID (NCBI) | 729533 |
| Conjugate | Unconjugated |
| Form | |
| Form | Liquid |
| Purification Method | Antigen affinity purification |
| UNIPROT ID | Q5TYM5 |
| Storage Buffer | PBS with 0.02% sodium azide and 50% glycerol{{ptg:BufferTemp}}7.3 |
| Storage Conditions | Store at -20°C. Stable for one year after shipment. Aliquoting is unnecessary for -20oC storage. |
Background Information
FAM72A, also named as LMIP and UGENE, is a mitochondrial protein which regulates cellular reactive oxygen species metabolism. It's up-regulated in malignant colon cancers, compared to normal colon and colon adenomas. FAM72 has some members A/B/C/D with higher homology. This antibody detects all the members of FAM72.
Protocols
| Product Specific Protocols | |
|---|---|
| WB protocol for FAM72A antibody 33987-1-AP | Download protocol |
| Standard Protocols | |
|---|---|
| Click here to view our Standard Protocols |
