Validation Data Gallery
Tested Applications
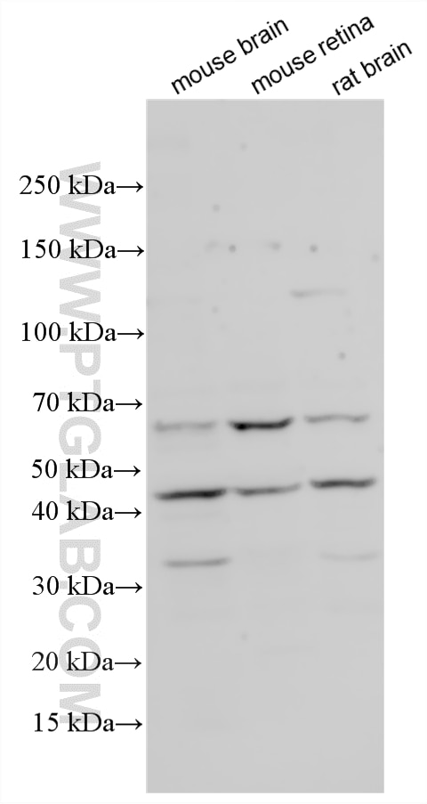
| Positive WB detected in | mouse brain tissue, mouse retina tissue, rat brain tissue |
Recommended dilution
| Application | Dilution |
|---|---|
| Western Blot (WB) | WB : 1:500-1:1000 |
| It is recommended that this reagent should be titrated in each testing system to obtain optimal results. | |
| Sample-dependent, Check data in validation data gallery. | |
Product Information
32720-1-AP targets FAM69C in WB, ELISA applications and shows reactivity with human, mouse, rat samples.
| Tested Reactivity | human, mouse, rat |
| Host / Isotype | Rabbit / IgG |
| Class | Polyclonal |
| Type | Antibody |
| Immunogen |
CatNo: Ag37611 Product name: Recombinant human DIPK1C protein Source: e coli.-derived, PGEX-4T Tag: GST Domain: 300-419 aa of NM_001044369 Sequence: MAFFEPKMREILEQNCTGDEDCNFFDCFSRCDLRVNKCGAQRVNNNLQVICDKIFRHWFSAPLKSSAVSFQLQLQLQEAVQECADPGVPSGNTRRAASSVFWKLRQLLQATLRELQEAEK 相同性解析による交差性が予測される生物種 |
| Full Name | chromosome 18 open reading frame 51 |
| Calculated molecular weight | 46 kDa |
| Observed molecular weight | 46 kDa, 55 kDa, 32 kDa |
| GenBank accession number | NM_001044369 |
| Gene Symbol | C18orf51 |
| Gene ID (NCBI) | 125704 |
| Conjugate | Unconjugated |
| Form | |
| Form | Liquid |
| Purification Method | Antigen affinity Purification |
| UNIPROT ID | Q0P6D2 |
| Storage Buffer | PBS with 0.02% sodium azide and 50% glycerol{{ptg:BufferTemp}}7.3 |
| Storage Conditions | Store at -20°C. Stable for one year after shipment. Aliquoting is unnecessary for -20oC storage. |
Background Information
FAM69C is a kinase critically involved in neurodegenerative dementia. Biochemical analyses uncover that FAM69C is a serine/threonine kinase. Phosphoproteomic characterizations reveal that FAM69C substrates are involved in synaptic structure and function. Reduced levels of FAM69C are found in postmortem brains of Alzheimer's disease patients. FAM69C is a protective regulator of memory and a potential therapeutic target for memory loss in neurodegenerative dementia (PMID: 35858575). FAM69C undergoes glycosylation modification, and a 55 kDa band was observed in the literature (PMID: 35858575). The mouse FAM69C has two isoforms, and the predicted molecular weight is 46 kDa and 30 kDa.
Protocols
| Product Specific Protocols | |
|---|---|
| WB protocol for FAM69C antibody 32720-1-AP | Download protocol |
| Standard Protocols | |
|---|---|
| Click here to view our Standard Protocols |
