Validation Data Gallery
Tested Applications
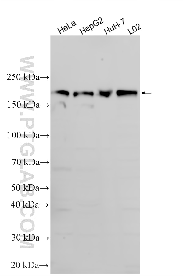
| Positive WB detected in | HeLa cells, HepG2 cells, HuH-7 cells, L02 cells |
| Positive IF/ICC detected in | A431 cells |
Recommended dilution
| Application | Dilution |
|---|---|
| Western Blot (WB) | WB : 1:1000-1:6000 |
| Immunofluorescence (IF)/ICC | IF/ICC : 1:200-1:800 |
| It is recommended that this reagent should be titrated in each testing system to obtain optimal results. | |
| Sample-dependent, Check data in validation data gallery. | |
Product Information
33047-1-AP targets FAM21C in WB, IF/ICC, ELISA applications and shows reactivity with human samples.
| Tested Reactivity | human |
| Host / Isotype | Rabbit / IgG |
| Class | Polyclonal |
| Type | Antibody |
| Immunogen |
CatNo: Ag15066 Product name: Recombinant human FAM21C protein Source: e coli.-derived, PET28a Tag: 6*His Domain: 1036-1318 aa of BC006456 Sequence: MSVPRGPIAQWADGAISPNGHRPQLRAASGEDSTEEALAAAAAPWEGGPVPGVDTSPFAKSLGHSRGEADLFDSGDIFSTGTGSQSVERTKPKAKIAENPANPPVGGKAKSPMFPALGEASSDDDLFQSAKPKPAKKTNPFPLLEDEDDLFTDQKVKKNETKSSSQQDVILTTQDIFEDDIFATEAIKPSQKTREKEKTLESNLFDDNIDIFADLTVKPKEKSKKKVEAKSIFDDDMDDIFSTGIQAKTTKPKSRSAQAAPEPRFEHKVSNIFDDPLNAFGGQ 相同性解析による交差性が予測される生物種 |
| Full Name | family with sequence similarity 21, member C |
| Calculated molecular weight | 1320 aa, 145 kDa |
| Observed molecular weight | 200 kDa |
| GenBank accession number | BC006456 |
| Gene Symbol | FAM21C |
| Gene ID (NCBI) | 253725 |
| Conjugate | Unconjugated |
| Form | |
| Form | Liquid |
| Purification Method | Antigen affinity Purification |
| UNIPROT ID | Q9Y4E1 |
| Storage Buffer | PBS with 0.02% sodium azide and 50% glycerol{{ptg:BufferTemp}}7.3 |
| Storage Conditions | Store at -20°C. Stable for one year after shipment. Aliquoting is unnecessary for -20oC storage. |
Protocols
| Product Specific Protocols | |
|---|---|
| IF protocol for FAM21C antibody 33047-1-AP | Download protocol |
| WB protocol for FAM21C antibody 33047-1-AP | Download protocol |
| Standard Protocols | |
|---|---|
| Click here to view our Standard Protocols |

