Validation Data Gallery
Tested Applications
| Positive WB detected in | bEnd.3 cells |
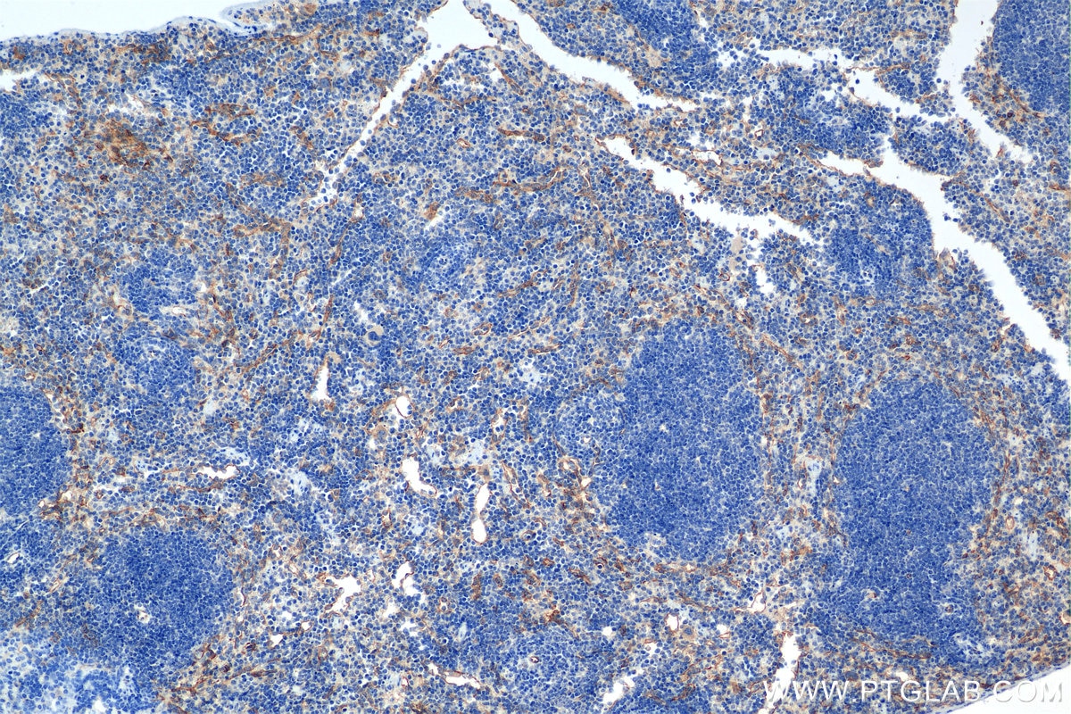
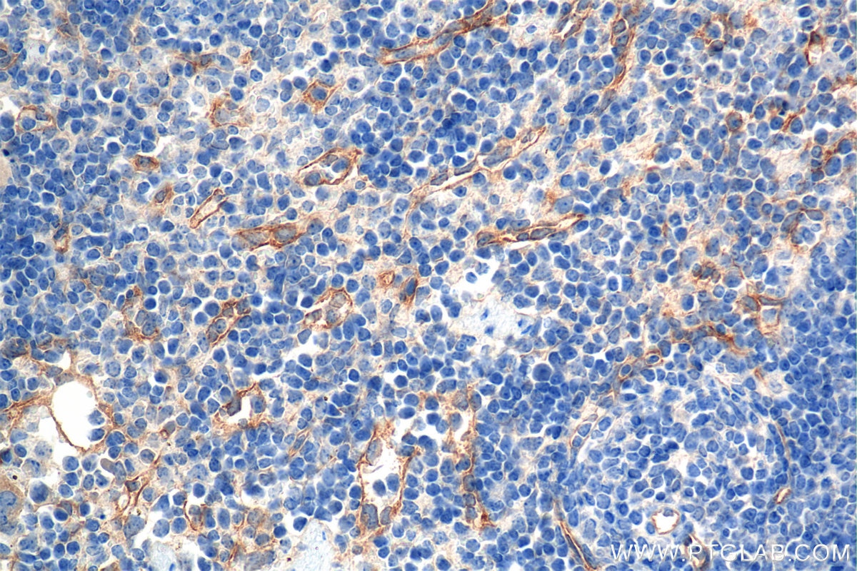
| Positive IHC detected in | mouse spleen tissue Note: suggested antigen retrieval with TE buffer pH 9.0; (*) Alternatively, antigen retrieval may be performed with citrate buffer pH 6.0 |
Recommended dilution
| Application | Dilution |
|---|---|
| Western Blot (WB) | WB : 1:5000-1:50000 |
| Immunohistochemistry (IHC) | IHC : 1:500-1:2000 |
| It is recommended that this reagent should be titrated in each testing system to obtain optimal results. | |
| Sample-dependent, Check data in validation data gallery. | |
Product Information
84807-5-RR targets Endoglin/CD105 in WB, IHC, ELISA applications and shows reactivity with mouse samples.
| Tested Reactivity | mouse |
| Host / Isotype | Rabbit / IgG |
| Class | Recombinant |
| Type | Antibody |
| Immunogen |
CatNo: Eg1292 Product name: Recombinant Mouse Endoglin/CD105 protein (His Tag) Source: mammalian cells-derived, pHZ-KIsec-C-6*HIS Tag: C-6*HIS Domain: 27-580 aa of NM_007932.2 Sequence: ERVGCDLQPVDPTRGEVTFTTSQVSEGCVAQAANAVREVHVLFLDFPGMLSHLELTLQASKQNGTETQEVFLVLVSNKNVFVKFQAPEIPLHLAYDSSLVIFQGQPRVNITVLPSLTSRKQILDWAATKGAITSIAALDDPQSIVLQLGQDPKAPFLCLPEAHKDMGATLEWQPRAQTPVQSCRLEGVSGHKEAYILRILPGSEAGPRTVTVMMELSCTSGDAILILHGPPYVSWFIDINHSMQILTTGEYSVKIFPGSKVKGVELPDTPQGLIAEARKLNASIVTSFVELPLVSNVSLRASSCGGVFQTTPAPVVTTPPKDTCSPVLLMSLIQPKCGNQVMTLALNKKHVQTLQCTITGLTFWDSSCQAEDTDDHLVLSSAYSSCGMKVTAHVVSNEVIISFPSGSPPLRKKVQCIDMDSLSFQLGLYLSPHFLQASNTIELGQQAFVQVSVSPLTSEVTVQLDSCHLDLGPEGDMVELIQSRTAKGSCVTLLSPSPEGDPRFSFLLRVYMVPTPTAGTLSCNLALRPSTLSQEVYKTVSMRLNIVSPDLSGK 相同性解析による交差性が予測される生物種 |
| Full Name | endoglin |
| Calculated molecular weight | 70 kDa |
| Observed molecular weight | 90 kDa |
| GenBank accession number | NM_007932.2 |
| Gene Symbol | CD105 |
| Gene ID (NCBI) | 13805 |
| Conjugate | Unconjugated |
| Form | |
| Form | Liquid |
| Purification Method | Protein A purfication |
| UNIPROT ID | Q63961 |
| Storage Buffer | PBS with 0.02% sodium azide and 50% glycerol{{ptg:BufferTemp}}7.3 |
| Storage Conditions | Store at -20°C. Stable for one year after shipment. Aliquoting is unnecessary for -20oC storage. |
Background Information
Endoglin (ENG, CD105) is a homodimeric cell membrane glycoprotein of 180 kDa, composed of disulphide-linked subunits of 90-95 kDa. Endoglin is a proliferation-associated and hypoxia-inducible protein mainly expressed on vascular endothelial cells. It acts as an accessory receptor for transforming growth factor beta (TFG-β) and is involved in vascular development and remodelling. The important role of Endoglin in angiogenesis and in tumor progression makes it an ideal target for antiangiogenic therapy and a good marker for tumor prognosis. (PMID: 1326540; 14528280; 21737653; 12773481)
Protocols
| Product Specific Protocols | |
|---|---|
| IHC protocol for Endoglin/CD105 antibody 84807-5-RR | Download protocol |
| WB protocol for Endoglin/CD105 antibody 84807-5-RR | Download protocol |
| Standard Protocols | |
|---|---|
| Click here to view our Standard Protocols |



