Validation Data Gallery
Tested Applications
| Positive IP detected in | COLO 320 cells |
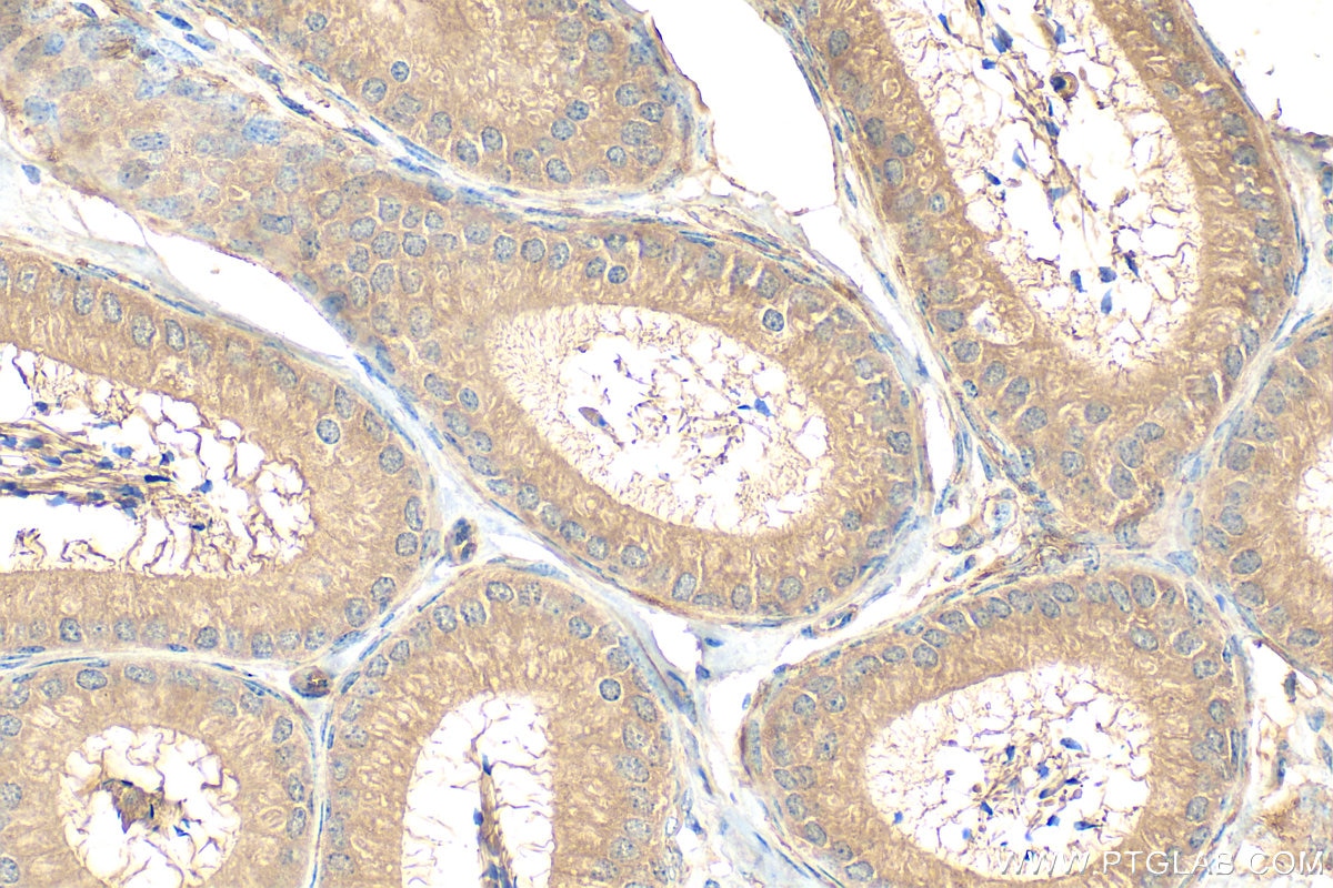
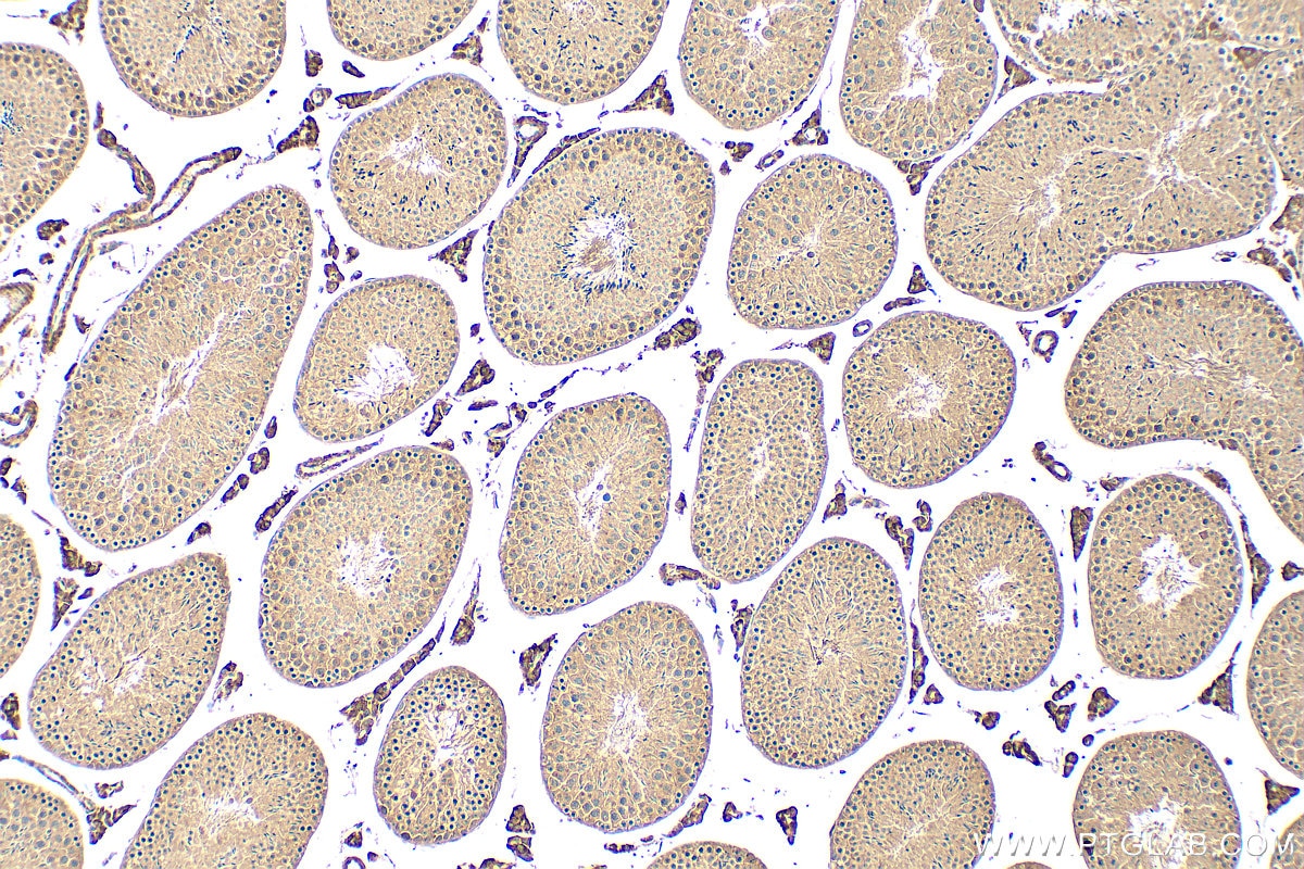
| Positive IHC detected in | mouse testis tissue Note: suggested antigen retrieval with TE buffer pH 9.0; (*) Alternatively, antigen retrieval may be performed with citrate buffer pH 6.0 |
Recommended dilution
| Application | Dilution |
|---|---|
| Immunoprecipitation (IP) | IP : 0.5-4.0 ug for 1.0-3.0 mg of total protein lysate |
| Immunohistochemistry (IHC) | IHC : 1:50-1:500 |
| It is recommended that this reagent should be titrated in each testing system to obtain optimal results. | |
| Sample-dependent, Check data in validation data gallery. | |
Product Information
21308-1-AP targets EMILIN3 in IHC, IP, ELISA applications and shows reactivity with human samples.
| Tested Reactivity | human |
| Host / Isotype | Rabbit / IgG |
| Class | Polyclonal |
| Type | Antibody |
| Immunogen |
CatNo: Ag15925 Product name: Recombinant human EMILIN3 protein Source: e coli.-derived, PGEX-4T Tag: GST Domain: 418-766 aa of BC101045 Sequence: DELTRLSAAMLEGGVDGLLEGLETLNGTEGGARGCCLRLDMGGWGVGGFGTMLEERVQSLEERLATLAGELSHDSASPGRSARPLVQTELAVLEQRLVSLETSCTPSTTSAILDSLVAEVKAWQSRSEALLRQVASHAALLQQLNGTVAEVQGQLAEGTGSSLQGEITLLKVNLNSVSKSLTGLSDSVSQYSDAFLAANTSLDERERKVEAEVQAIQEQVSSQGSRLQAGHRQVLNLRGELEQLKAGVAKVASGLSRCQDTAQKLQHTVGHFDQRVAQVEGACRRLGLLAAGLDSLPTEPLRPREGLWSHVDQLNRTLAQHTQDIARLRDDLLDCQAQLAEQVRPGQAN 相同性解析による交差性が予測される生物種 |
| Full Name | elastin microfibril interfacer 3 |
| Calculated molecular weight | 766 aa, 83 kDa |
| Observed molecular weight | 83 kDa |
| GenBank accession number | BC101045 |
| Gene Symbol | EMILIN3 |
| Gene ID (NCBI) | 90187 |
| Conjugate | Unconjugated |
| Form | |
| Form | Liquid |
| Purification Method | Antigen affinity purification |
| UNIPROT ID | Q9NT22 |
| Storage Buffer | PBS with 0.02% sodium azide and 50% glycerol{{ptg:BufferTemp}}7.3 |
| Storage Conditions | Store at -20°C. Stable for one year after shipment. Aliquoting is unnecessary for -20oC storage. |
Background Information
EMILIN3 (Elastin Microfibril Interfacer 3) is a protein-coding gene that encodes an extracellular matrix glycoprotein. It is a member of the EMILIN family and plays a role in the organization of the extracellular matrix, particularly in elastic fiber formation and extracellular matrix organization.
Protocols
| Product Specific Protocols | |
|---|---|
| IHC protocol for EMILIN3 antibody 21308-1-AP | Download protocol |
| IP protocol for EMILIN3 antibody 21308-1-AP | Download protocol |
| Standard Protocols | |
|---|---|
| Click here to view our Standard Protocols |


