Validation Data Gallery
Tested Applications
| Positive WB detected in | A549 cells, HEK-293 cells, U-87 MG cells, U-251 cells, NIH/3T3 cells, mouse liver tissue, mouse brain tissue, HSC-T6 cells |
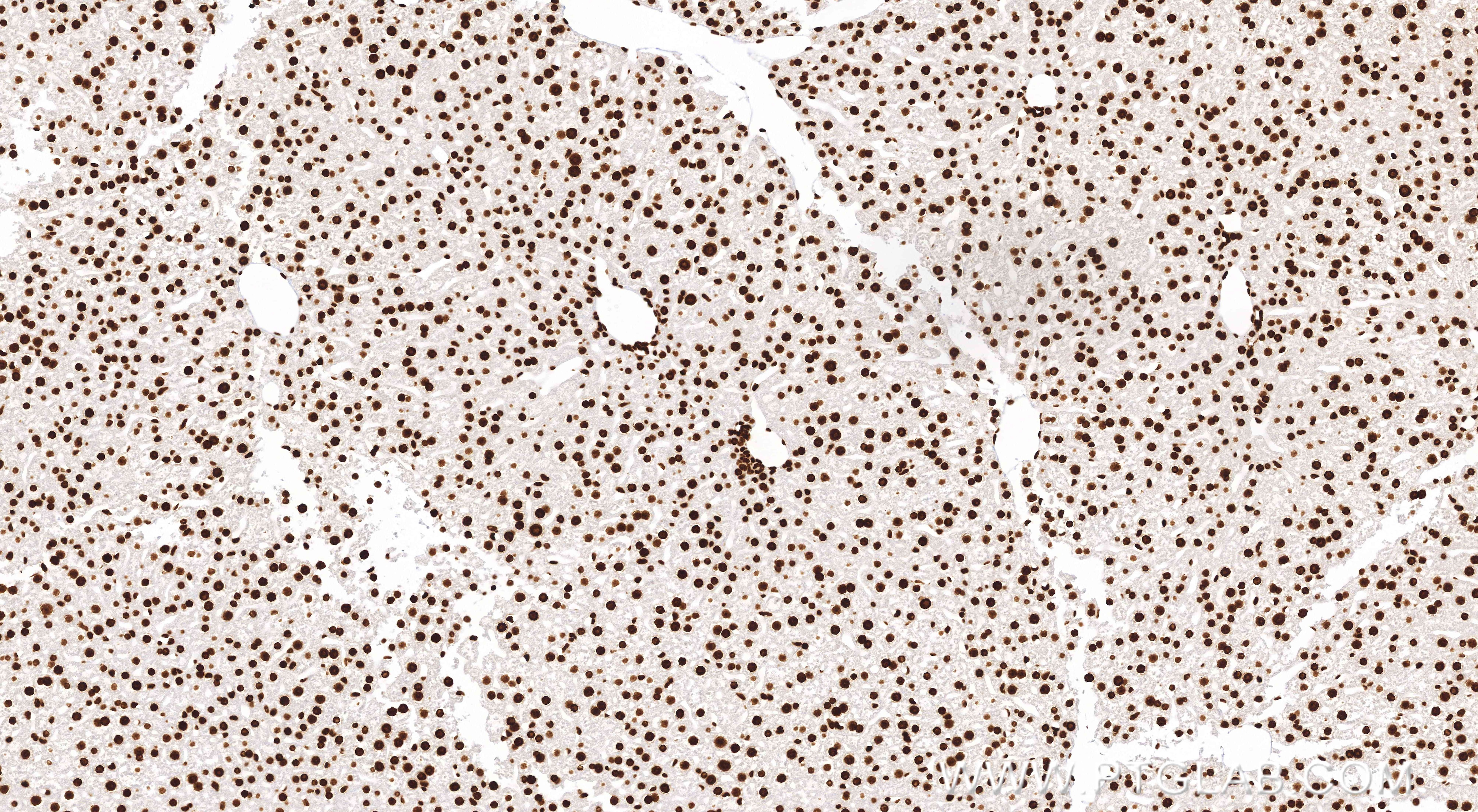
| Positive IHC detected in | human placenta tissue, mouse liver tissue Note: suggested antigen retrieval with TE buffer pH 9.0; (*) Alternatively, antigen retrieval may be performed with citrate buffer pH 6.0 |
| Positive IF/ICC detected in | HeLa cells |
| Positive Dot Blot detected in | peptide |
| Positive ChIP-qPCR detected in | HeLa cells |
Recommended dilution
| Application | Dilution |
|---|---|
| Western Blot (WB) | WB : 1:2000-1:10000 |
| Immunohistochemistry (IHC) | IHC : 1:500-1:2000 |
| Immunofluorescence (IF)/ICC | IF/ICC : 1:200-1:800 |
| DOT BLOT | DOT BLOT : 1:10-1:100 |
| CHIP-QPCR | CHIP-QPCR : 1:10-1:100 |
| It is recommended that this reagent should be titrated in each testing system to obtain optimal results. | |
| Sample-dependent, Check data in validation data gallery. | |
Product Information
84329-1-RR targets Di/Tri-Methyl-Histone H3 (Lys36) in WB, IHC, IF/ICC, Dot Blot, ELISA applications and shows reactivity with human, mouse, rat samples.
| Tested Reactivity | human, mouse, rat |
| Host / Isotype | Rabbit / IgG |
| Class | Recombinant |
| Type | Antibody |
| Immunogen |
Peptide 相同性解析による交差性が予測される生物種 |
| Full Name | histone cluster 1, H3a |
| Observed molecular weight | 15 kDa |
| GenBank accession number | BC066245 |
| Gene Symbol | HIST1H3A |
| Gene ID (NCBI) | 8350 |
| RRID | AB_3671870 |
| Conjugate | Unconjugated |
| Form | |
| Form | Liquid |
| Purification Method | Protein A purfication |
| UNIPROT ID | P68431 |
| Storage Buffer | PBS with 0.02% sodium azide and 50% glycerol{{ptg:BufferTemp}}7.3 |
| Storage Conditions | Store at -20°C. Stable for one year after shipment. Aliquoting is unnecessary for -20oC storage. |
Background Information
Histones are small, highly basic proteins that consist of a globular domain with unstructured N- and C-terminal tails protruding from the main structure. Histone H3 is one of the five main histones that are responsible for the nucleosome structure of the chromosomal fiber in eukaryotes. Two molecules of each of the four core histones (H2A, H2B, H3, and H4) form an octamer, around which approximately 146 bp of DNA is wrapped in repeating units, called nucleosomes. In addition to their role in DNA compartmentalization, histones also play crucial roles in various biologic processes, including gene expression and regulation, DNA repair, chromatin condensation, cell cycle progression, chromosome segregation, and apoptosis. The ability of histones to regulate chromatin dynamics primarily originates from various posttranslational modifications carried out by histone-modifying enzymes.
Protocols
| Product Specific Protocols | |
|---|---|
| IF protocol for Di/Tri-Methyl-Histone H3 (Lys36) antibody 84329-1-RR | Download protocol |
| IHC protocol for Di/Tri-Methyl-Histone H3 (Lys36) antibody 84329-1-RR | Download protocol |
| WB protocol for Di/Tri-Methyl-Histone H3 (Lys36) antibody 84329-1-RR | Download protocol |
| Standard Protocols | |
|---|---|
| Click here to view our Standard Protocols |







