Validation Data Gallery
Tested Applications
Recommended dilution
| Application | Dilution |
|---|---|
| It is recommended that this reagent should be titrated in each testing system to obtain optimal results. | |
Product Information
86894-1-PBS targets DDX41 as part of a matched antibody pair:
MP02765-1: 86894-1-PBS capture and 86894-2-PBS detection (validated in Cytometric bead array)
Unconjugated rabbit recombinant monoclonal antibody in PBS only (BSA and azide free) storage buffer at a concentration of 1 mg/mL, ready for conjugation. Created using Proteintech’s proprietary in-house recombinant technology. Recombinant production enables unrivalled batch-to-batch consistency, easy scale-up, and future security of supply.
This conjugation ready format makes antibodies ideal for use in many applications including: ELISAs, multiplex assays requiring matched pairs, mass cytometry, and multiplex imaging applications.Antibody use should be optimized by the end user for each application and assay.
| Tested Reactivity | human, mouse, rat |
| Host / Isotype | Rabbit / IgG |
| Class | Recombinant |
| Type | Antibody |
| Immunogen |
CatNo: Ag26593 Product name: Recombinant human DDX41 protein Source: e coli.-derived, PGEX-4T Tag: GST Domain: 1-144 aa of BC015476 Sequence: MEESEPERKRARTDEVPAGGSRSEAEDEDDEDYVPYVPLRQRRQLLLQKLLQRRRKGAAEEEQQDSGSEPRGDEDDIPLGPQSNVSLLDQHQHLKEKAEARKESAKEKQLKEEEKILESVAEGRALMSVKEMAKGITYDDPIKT 相同性解析による交差性が予測される生物種 |
| Full Name | DEAD (Asp-Glu-Ala-Asp) box polypeptide 41 |
| Calculated molecular weight | 70 kDa |
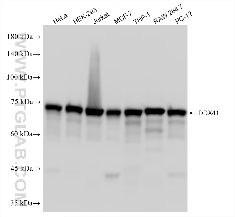
| Observed molecular weight | 70 kDa |
| GenBank accession number | BC015476 |
| Gene Symbol | DDX41 |
| Gene ID (NCBI) | 51428 |
| Conjugate | Unconjugated |
| Form | |
| Form | Liquid |
| Purification Method | Protein A purification |
| UNIPROT ID | Q9UJV9 |
| Storage Buffer | PBS only{{ptg:BufferTemp}}7.3 |
| Storage Conditions | Store at -80°C. |
Background Information
DDX41, also named as DEAD box protein abstrakt homolog, is a 622 amino acid protein, which is a probable ATP-dependent RNA helicase. DDX41 is required during post-transcriptional gene expression.and may be involved in pre-mRNA splicing.




