Validation Data Gallery
Tested Applications
| Positive WB detected in | A549 cells, HeLa cells, HepG2 cells, mouse testis tissue |
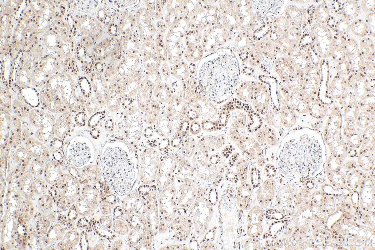
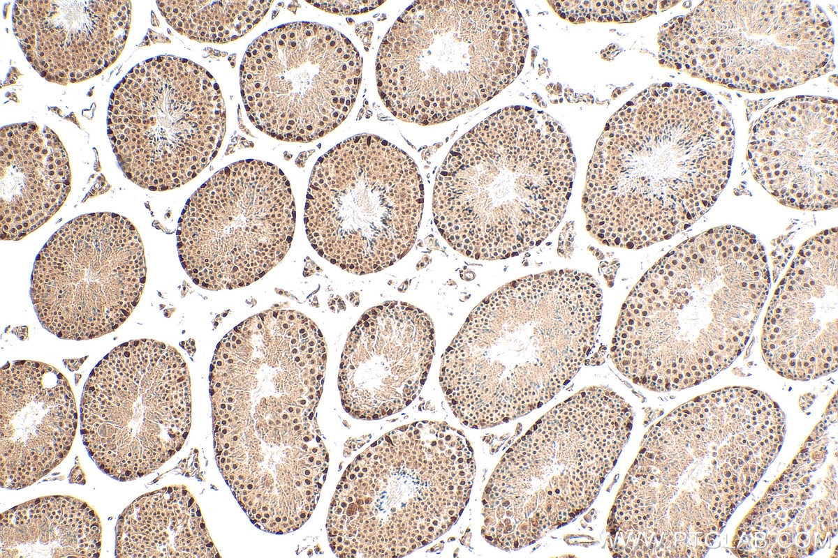
| Positive IHC detected in | mouse testis tissue, human kidney tissue Note: suggested antigen retrieval with TE buffer pH 9.0; (*) Alternatively, antigen retrieval may be performed with citrate buffer pH 6.0 |
| Positive IF/ICC detected in | HeLa cells |
Recommended dilution
| Application | Dilution |
|---|---|
| Western Blot (WB) | WB : 1:500-1:1000 |
| Immunohistochemistry (IHC) | IHC : 1:50-1:500 |
| Immunofluorescence (IF)/ICC | IF/ICC : 1:200-1:800 |
| It is recommended that this reagent should be titrated in each testing system to obtain optimal results. | |
| Sample-dependent, Check data in validation data gallery. | |
Product Information
28465-1-AP targets DCPS in WB, IHC, IF/ICC, ELISA applications and shows reactivity with human, mouse samples.
| Tested Reactivity | human, mouse |
| Host / Isotype | Rabbit / IgG |
| Class | Polyclonal |
| Type | Antibody |
| Immunogen |
CatNo: Ag29351 Product name: Recombinant human DCPS protein Source: e coli.-derived, PGEX-4T Tag: GST Domain: 7-160 aa of BC014532 Sequence: QLGKRKRELDVEEAHAASTEEKEAGVGNGTCAPVRLPFSGFRLQKVLRESARDKIIFLHGKVNEASEDGDGEDAVVILEKTPFQVEQVAQLLTGSPELQLQFSNDIYSTYHLFPPRQLNDVKTTVVYPATEKHLQKYLRQDLRLIRETGDDYRN 相同性解析による交差性が予測される生物種 |
| Full Name | decapping enzyme, scavenger |
| Calculated molecular weight | 337 aa, 39 kDa |
| Observed molecular weight | 35-40 kDa |
| GenBank accession number | BC014532 |
| Gene Symbol | DCPS |
| Gene ID (NCBI) | 28960 |
| RRID | AB_3086054 |
| Conjugate | Unconjugated |
| Form | |
| Form | Liquid |
| Purification Method | Antigen affinity purification |
| UNIPROT ID | Q96C86 |
| Storage Buffer | PBS with 0.02% sodium azide and 50% glycerol{{ptg:BufferTemp}}7.3 |
| Storage Conditions | Store at -20°C. Stable for one year after shipment. Aliquoting is unnecessary for -20oC storage. |
Background Information
DcpS, which is a member of the histidine triad (HIT) superfamily of pyrophosphatases, is the first HIT protein with a defined biological function and identifies the HIT motif as a new mRNA decapping domain. DcpS can encode a 38-40 kDa protein, and has the potential to form a homodimer of 80 kDa(PMID: 12198172).
Protocols
| Product Specific Protocols | |
|---|---|
| IF protocol for DCPS antibody 28465-1-AP | Download protocol |
| IHC protocol for DCPS antibody 28465-1-AP | Download protocol |
| WB protocol for DCPS antibody 28465-1-AP | Download protocol |
| Standard Protocols | |
|---|---|
| Click here to view our Standard Protocols |



