Validation Data Gallery
Tested Applications
| Positive WB detected in | HeLa cells, A431 cells, mouse skin tissue, rat skin tissue |
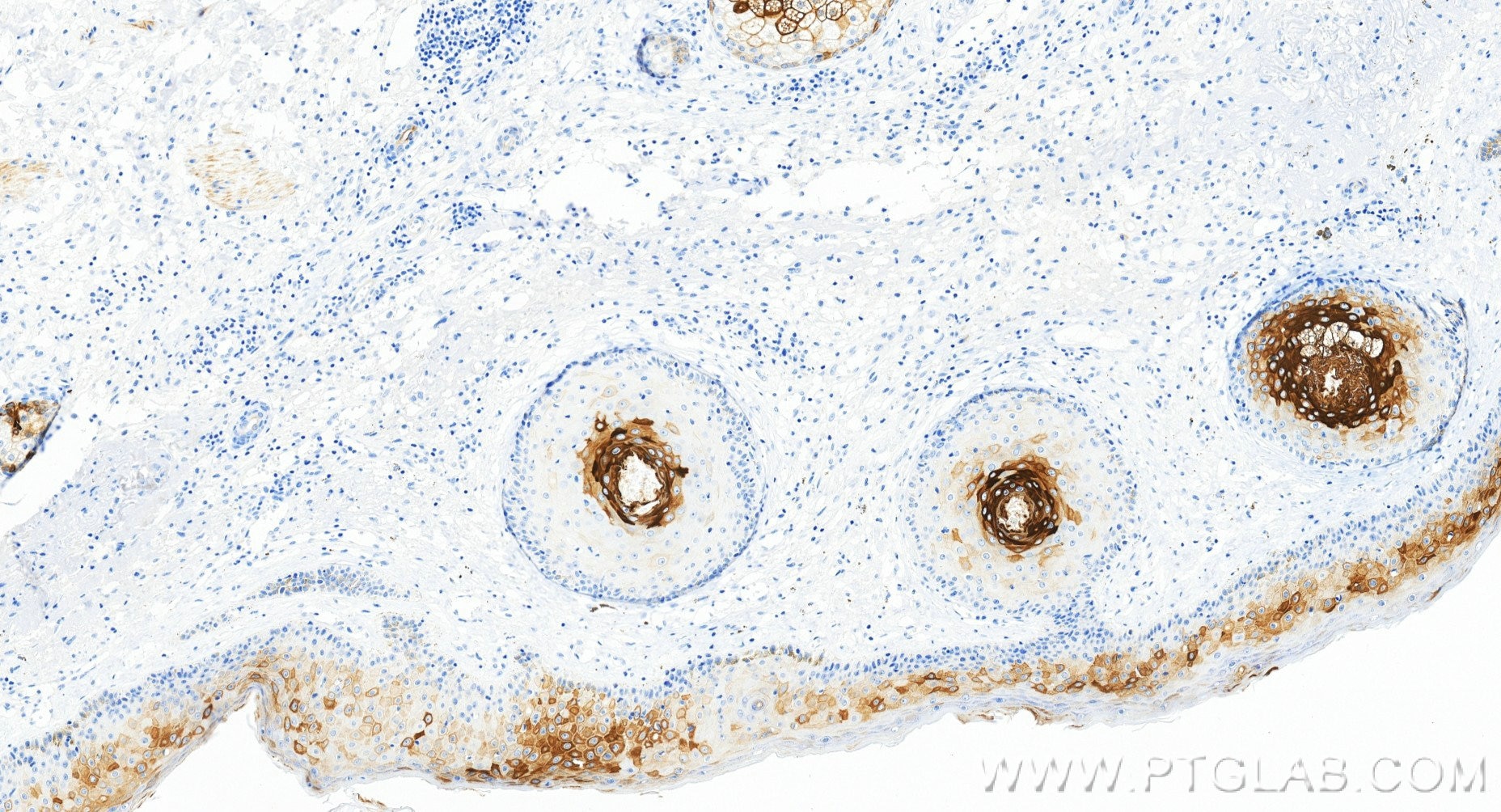
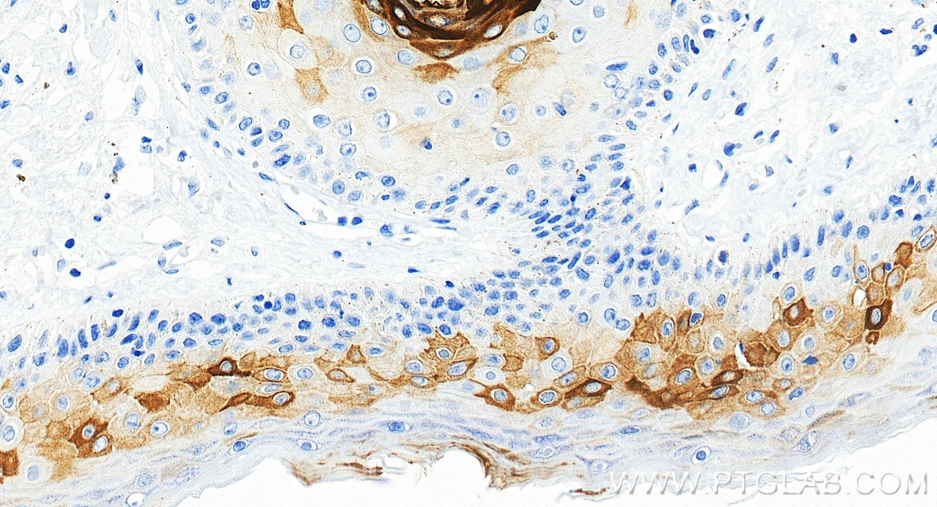
| Positive IHC detected in | human skin cancer tissue, human cervical cancer tissue, human skin tissue Note: suggested antigen retrieval with TE buffer pH 9.0; (*) Alternatively, antigen retrieval may be performed with citrate buffer pH 6.0 |
| Positive IF-P detected in | mouse skin tissue |
| Positive IF/ICC detected in | HeLa cells, A431 cells, HaCaT cells, HepG2 cells |
| Positive FC (Intra) detected in | HeLa cells |
Recommended dilution
| Application | Dilution |
|---|---|
| Western Blot (WB) | WB : 1:5000-1:50000 |
| Immunohistochemistry (IHC) | IHC : 1:3000-1:12000 |
| Immunofluorescence (IF)-P | IF-P : 1:50-1:500 |
| Immunofluorescence (IF)/ICC | IF/ICC : 1:250-1:1000 |
| Flow Cytometry (FC) (INTRA) | FC (INTRA) : 0.25 ug per 10^6 cells in a 100 µl suspension |
| It is recommended that this reagent should be titrated in each testing system to obtain optimal results. | |
| Sample-dependent, Check data in validation data gallery. | |
Product Information
84978-1-RR targets Cytokeratin 17-specific in WB, IHC, IF/ICC, IF-P, FC (Intra), ELISA applications and shows reactivity with human, mouse, rat samples.
| Tested Reactivity | human, mouse, rat |
| Host / Isotype | Rabbit / IgG |
| Class | Recombinant |
| Type | Antibody |
| Immunogen |
Peptide 相同性解析による交差性が予測される生物種 |
| Full Name | keratin 17 |
| Calculated molecular weight | 48 kDa |
| Observed molecular weight | 48 kDa |
| GenBank accession number | NM_000422 |
| Gene Symbol | Cytokeratin 17 |
| Gene ID (NCBI) | 3872 |
| Conjugate | Unconjugated |
| Form | |
| Form | Liquid |
| Purification Method | Protein A purfication |
| UNIPROT ID | Q04695 |
| Storage Buffer | PBS with 0.02% sodium azide and 50% glycerol{{ptg:BufferTemp}}7.3 |
| Storage Conditions | Store at -20°C. Stable for one year after shipment. Aliquoting is unnecessary for -20oC storage. |
Background Information
Keratins are a large family of proteins that form the intermediate filaments that make up the cytoskeleton. Type I keratins are a group of acidic intermediate filament proteins and type II keratins are the basic or neutral counterparts. Keratin 17 is encoded by the KRT17 gene and is a type I cytokeratin found in nail beds, hair follicles, sebaceous glands, and epidermal appendages.The molecular weight of cytokeratin 17 is approximately 49 kDa.Cytokeratin 17 plays a role in the formation and maintenance of epidermal appendages, especially in determining the shape and orientation of hair. It is required for the maintenance of the anagen (growth) state of hair follicles by modulating the function of TNF-alpha for hair cycling and is also involved in tissue repair (PMID: 16702408).
Protocols
| Product Specific Protocols | |
|---|---|
| FC protocol for Cytokeratin 17-specific antibody 84978-1-RR | Download protocol |
| IF protocol for Cytokeratin 17-specific antibody 84978-1-RR | Download protocol |
| IHC protocol for Cytokeratin 17-specific antibody 84978-1-RR | Download protocol |
| WB protocol for Cytokeratin 17-specific antibody 84978-1-RR | Download protocol |
| Standard Protocols | |
|---|---|
| Click here to view our Standard Protocols |














