Validation Data Gallery
Tested Applications
| Positive WB detected in | HepG2 cells, A431 cells, HCT 116 cells, SW 1990 cells, NIH/3T3 cells, PC-12 cells |
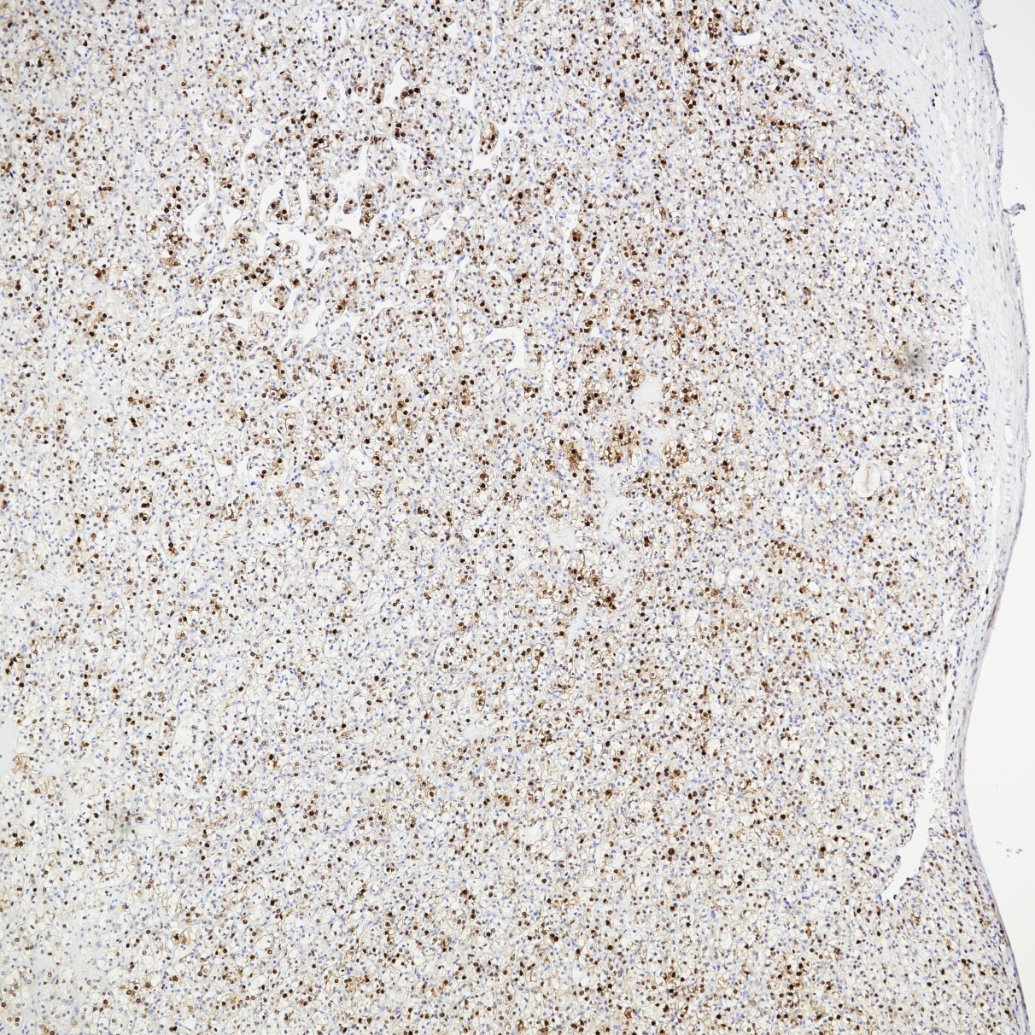
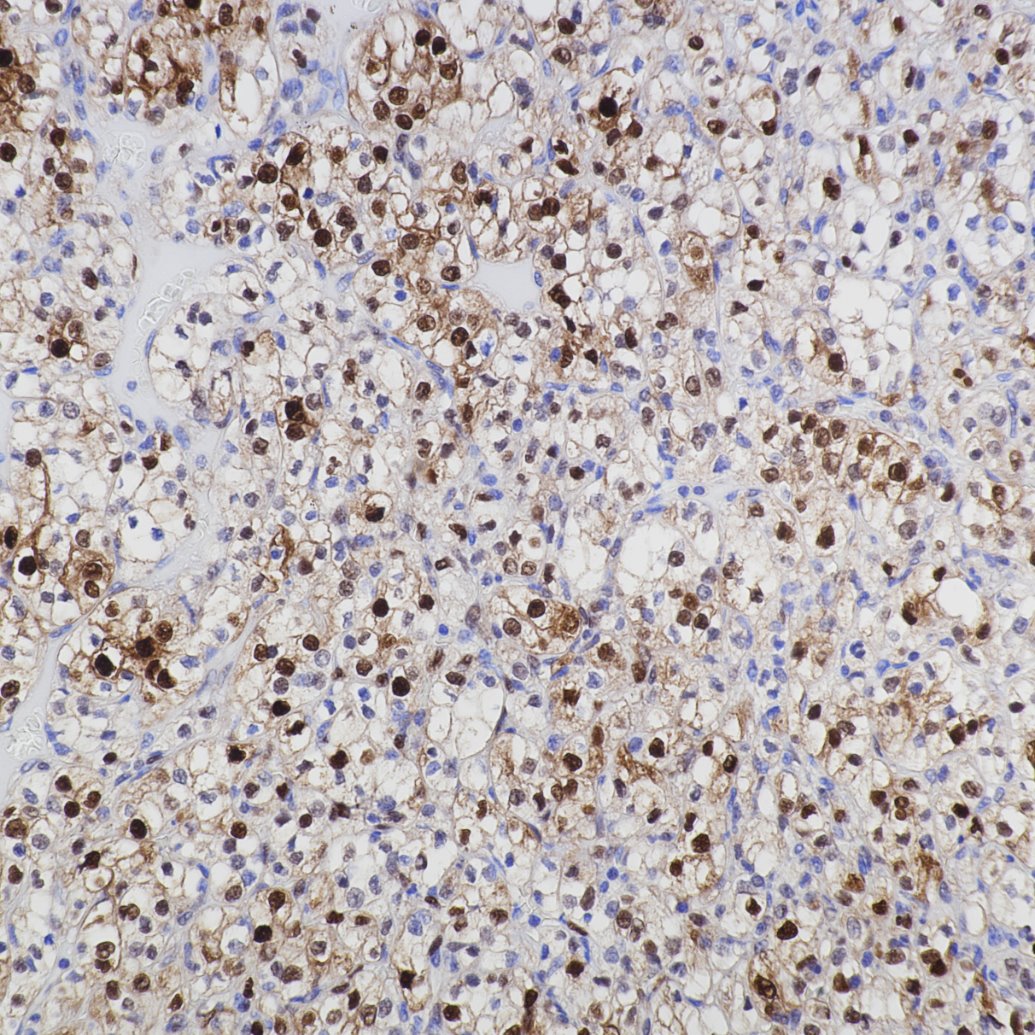
| Positive IHC-Autostainer detected in | human renal cell carcinoma tissue |
| Positive IHC detected in | human oesophagus cancer tissue, human tonsillitis tissue Note: suggested antigen retrieval with TE buffer pH 9.0; (*) Alternatively, antigen retrieval may be performed with citrate buffer pH 6.0 |
| Positive IF/ICC detected in | MCF-7 cells |
Recommended dilution
| Application | Dilution |
|---|---|
| Western Blot (WB) | WB : 1:5000-1:50000 |
| Immunohistochemistry (IHC)-AUTOSTAINER | IHC-AUTOSTAINER : 1:250-1:1000 |
| Immunohistochemistry (IHC) | IHC : 1:500-1:2000 |
| Immunofluorescence (IF)/ICC | IF/ICC : 1:1000-1:4000 |
| It is recommended that this reagent should be titrated in each testing system to obtain optimal results. | |
| Sample-dependent, Check data in validation data gallery. | |
Published Applications
| WB | See 1 publications below |
Product Information
82681-1-RR targets Cyclin D1 in WB, IHC, IHC-Autostainer, IF/ICC, ELISA applications and shows reactivity with human, mouse, rat samples.
| Tested Reactivity | human, mouse, rat |
| Cited Reactivity | human |
| Host / Isotype | Rabbit / IgG |
| Class | Recombinant |
| Type | Antibody |
| Immunogen |
CatNo: Ag25384 Product name: Recombinant human Cyclin D1 protein Source: e coli.-derived, PGEX-4T Tag: GST Domain: 193-295 aa of BC000076 Sequence: VKFISNPPSMVAAGSVVAAVQGLNLRSPNNFLSYYRLTRFLSRVIKCDPDCLRACQEQIEALLESSLRQAQQNMDPKAAEEEEEEEEEVDLACTPTDVRDVDI 相同性解析による交差性が予測される生物種 |
| Full Name | cyclin D1 |
| Calculated molecular weight | 295 aa, 34 kDa |
| Observed molecular weight | 34 kDa |
| GenBank accession number | BC000076 |
| Gene Symbol | Cyclin D1 |
| Gene ID (NCBI) | 595 |
| RRID | AB_3086504 |
| Conjugate | Unconjugated |
| Form | |
| Form | Liquid |
| Purification Method | Protein A purification |
| UNIPROT ID | P24385 |
| Storage Buffer | PBS with 0.02% sodium azide and 50% glycerol{{ptg:BufferTemp}}7.3 |
| Storage Conditions | Store at -20°C. Stable for one year after shipment. Aliquoting is unnecessary for -20oC storage. |
Background Information
CCND1 (cyclin D1), also known as PRAD1 or BCL1, belongs to the highly conserved cyclin family, whose members are characterized by a dramatic periodicity in protein abundance throughout the cell cycle. CCND1 forms a complex with and functions as a regulatory subunit of CDK4 or CDK6, whose activity is required for cell cycle G1/S transition. The CCND1 gene, located on 11q13 has been reported to be overexpressed in mantle cell lymphoma (MCL) due to the chromosomal translocation. CCND1 has been shown to interact with tumor suppressor protein Rb and the expression of this gene is regulated positively by Rb. Over-expression of CCND1 is known to correlate with the early onset of cancer and risk of tumor progression and metastasis.
Protocols
| Product Specific Protocols | |
|---|---|
| IF protocol for Cyclin D1 antibody 82681-1-RR | Download protocol |
| IHC protocol for Cyclin D1 antibody 82681-1-RR | Download protocol |
| WB protocol for Cyclin D1 antibody 82681-1-RR | Download protocol |
| Standard Protocols | |
|---|---|
| Click here to view our Standard Protocols |






