Validation Data Gallery
Tested Applications
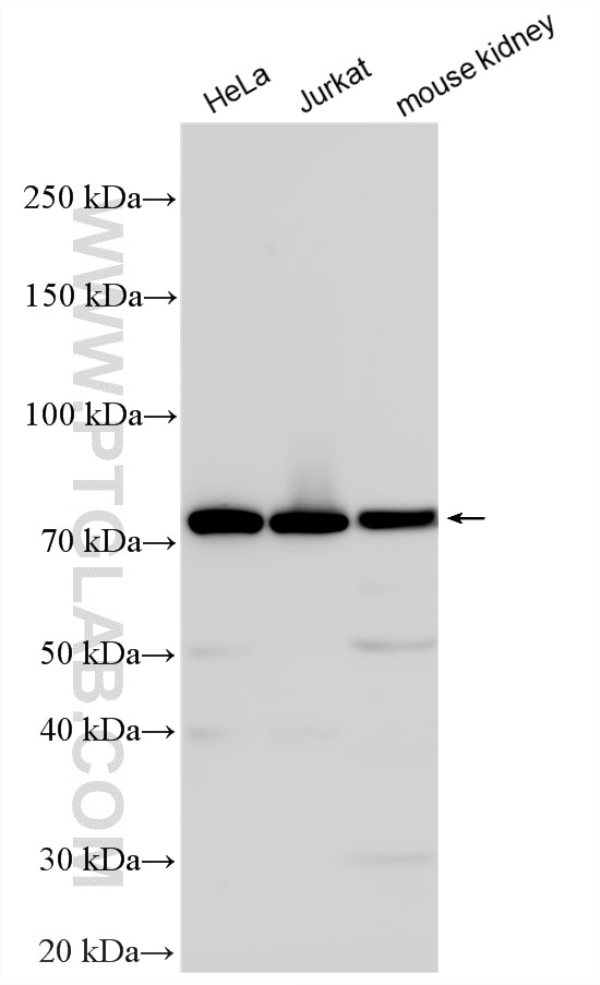
| Positive WB detected in | HeLa cells, A431 cells, Jurkat cells, mouse brain tissue, mouse kidney tissue, mouse testis tissue |
| Positive IP detected in | mouse brain tissue, HeLa cells |
| Positive IF/ICC detected in | HepG2 cells, A431 cells |
Recommended dilution
| Application | Dilution |
|---|---|
| Western Blot (WB) | WB : 1:5000-1:50000 |
| Immunoprecipitation (IP) | IP : 0.5-4.0 ug for 1.0-3.0 mg of total protein lysate |
| Immunofluorescence (IF)/ICC | IF/ICC : 1:50-1:500 |
| It is recommended that this reagent should be titrated in each testing system to obtain optimal results. | |
| Sample-dependent, Check data in validation data gallery. | |
Published Applications
| KD/KO | See 2 publications below |
| WB | See 8 publications below |
| IF | See 4 publications below |
| CoIP | See 1 publications below |
Product Information
51046-1-AP targets CD2AP in WB, IF/ICC, IP, CoIP, ELISA applications and shows reactivity with human, mouse samples.
| Tested Reactivity | human, mouse |
| Cited Reactivity | human, mouse |
| Host / Isotype | Rabbit / IgG |
| Class | Polyclonal |
| Type | Antibody |
| Immunogen |
CatNo: Ag0622 Product name: Recombinant mouse Cd2ap protein Source: e coli.-derived, PGEX-4T Tag: GST Domain: 1-637 aa of BC157901 Sequence: MVDYIVEYDYDAVHDDELTIRVGEIIRNVKKLQEEGWLEGELNGRRGMFPDNFVKEIKRETEPKDDNLPIKRERQGNVASLVQRISTYGLPAGGIQPHPQTKAIKKKTKKRQCKVLFDYSPQNEDELELIVGDVIDVIEEVEEGWWSGTLNNKLGLFPSNFVKELESTEDGETHNAQEESEVPLTGPTSPLPSPGNGSEPAPGSVAQPKKIRGIGFGDIFKEGSVKLRTRTSSSETEEKKTEKPLILQPLGSRTQNVEVTKPDVDGKIKAKEYCRTLFPYTGTNEDELTFREGEIIHLISKETGEAGWWKGELNGKEGVFPDNFAVQISELDKDFPKPKKPPPPAKGPAPKPDLSAAEKKAFPLKAEEKDEKSLLEQKPSKPAAPQVPPKKPTAPTKASNLLRSPGAVYPKRPEKPVPPPPPAAKINGEVSIISSKIDTEPVSKPKLDPEQLPVRPKSVDLDAFVARNSKETDDVNFDDIASSENLLHLTANRPKMPGRRLPGRFNGGHSPTQSPEKTLKLPKEDDSGNLKPLEFKKDASYSSKPSLSTPSSASKVNTAAFLTPLELKAKAEADDGKKNSVDELRAQIIELLCIVDALKKDHGKELEKLRKELEEEKAMRSNLEVEIAKLKKAVLLS 相同性解析による交差性が予測される生物種 |
| Full Name | CD2-associated protein |
| Calculated molecular weight | 637 aa, 70 kDa |
| Observed molecular weight | 71 kDa |
| GenBank accession number | BC157901 |
| Gene Symbol | Cd2ap |
| Gene ID (NCBI) | 12488 |
| RRID | AB_670322 |
| Conjugate | Unconjugated |
| Form | |
| Form | Liquid |
| Purification Method | Antigen affinity purification |
| UNIPROT ID | Q9JLQ0 |
| Storage Buffer | PBS with 0.02% sodium azide and 50% glycerol{{ptg:BufferTemp}}7.3 |
| Storage Conditions | Store at -20°C. Stable for one year after shipment. Aliquoting is unnecessary for -20oC storage. |
Background Information
CD2 associated protein (CD2AP, also known as CMS) is a scaffolding molecule that acts as an adapter protein between membrane proteins and the actin cytoskeleton (PMID: 10339567). CD2AP also plays a role in epithelial cell junction formation and affects the pathogenesis of Alzheimer's disease (PMID: 22891260; 31440393). Its mutations are associated with sporadic nephrotic syndrome and focal segmental glomerulosclerosis (FSGS) (PMID: 17713465; 19131354).
Protocols
| Product Specific Protocols | |
|---|---|
| IF protocol for CD2AP antibody 51046-1-AP | Download protocol |
| IP protocol for CD2AP antibody 51046-1-AP | Download protocol |
| WB protocol for CD2AP antibody 51046-1-AP | Download protocol |
| Standard Protocols | |
|---|---|
| Click here to view our Standard Protocols |
Publications
| Species | Application | Title |
|---|---|---|
J Clin Invest Endoplasmic reticulum-associated degradation is required for nephrin maturation and kidney glomerular filtration function. | ||
Exp Ther Med Transforming growth factor-β1-induced podocyte injury is associated with increased microRNA-155 expression, enhanced inflammatory responses and MAPK pathway activation. | ||
J Biol Chem The Rab GTPase-binding protein EHBP1L1 and its interactors CD2AP/CIN85 negatively regulate the length of primary cilia via actin remodeling
| ||
Int J Mol Sci Integrated Analysis of Disulfidptosis-Related Genes Identifies CD2AP as a Potential Therapeutic Target for Hepatocellular Carcinoma | ||
Traffic CIN85 and CD2AP Are Novel Constituents of Dynamic Tubular Recycling Endosomes That Regulate Recycling Upon Recruitment by MICAL-L1 | ||
J Am Soc Nephrol Glomerulosclerosis Induced by Deficiency of Membrane-Associated Guanylate Kinase Inverted 2 in Kidney Podocytes |










