Validation Data Gallery
Tested Applications
| Positive WB detected in | A431 cells, HepG2 cells, HuH-7 cells, MCF-7 cells |
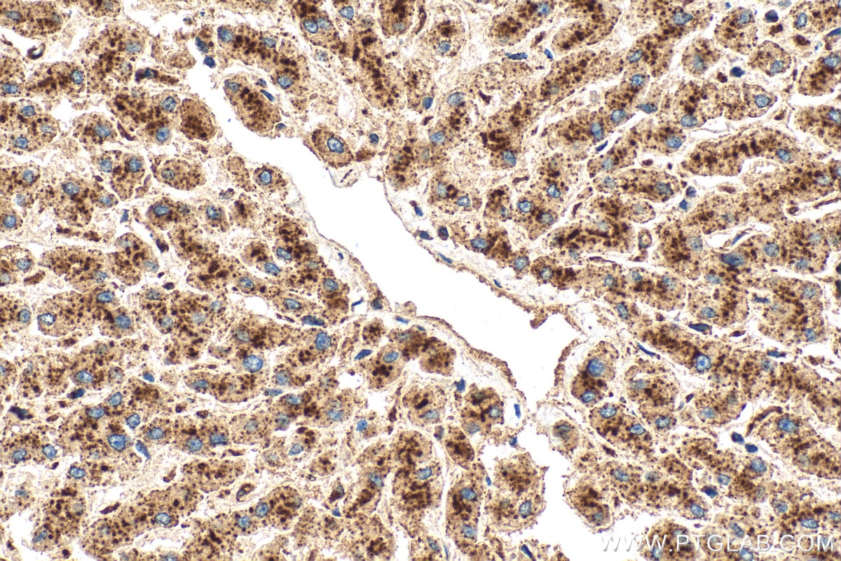
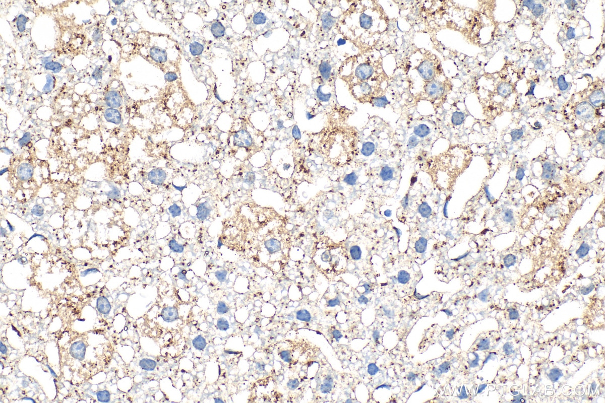
| Positive IHC detected in | human ovary cancer tissue, human liver tissue, mouse liver tissue Note: suggested antigen retrieval with TE buffer pH 9.0; (*) Alternatively, antigen retrieval may be performed with citrate buffer pH 6.0 |
| Positive IF/ICC detected in | A431 cells, MCF-7 cells |
Recommended dilution
| Application | Dilution |
|---|---|
| Western Blot (WB) | WB : 1:1000-1:4000 |
| Immunohistochemistry (IHC) | IHC : 1:50-1:500 |
| Immunofluorescence (IF)/ICC | IF/ICC : 1:50-1:500 |
| It is recommended that this reagent should be titrated in each testing system to obtain optimal results. | |
| Sample-dependent, Check data in validation data gallery. | |
Product Information
31516-1-AP targets Cathepsin D in WB, IHC, IF/ICC, ELISA applications and shows reactivity with human samples.
| Tested Reactivity | human |
| Host / Isotype | Rabbit / IgG |
| Class | Polyclonal |
| Type | Antibody |
| Immunogen |
CatNo: Eg1053 Product name: Recombinant Human Cathepsin D protein (His Tag) Source: mammalian cells-derived, pHZ-KIsec-C-6*HIS Tag: C-6*HIS Domain: 21-412 aa of NM_001909.5 Sequence: LVRIPLHKFTSIRRTMSEVGGSVEDLIAKGPVSKYSQAVPAVTEGPIPEVLKNYMDAQYYGEIGIGTPPQCFTVVFDTGSSNLWVPSIHCKLLDIACWIHHKYNSDKSSTYVKNGTSFDIHYGSGSLSGYLSQDTVSVPCQSASSASALGGVKVERQVFGEATKQPGITFIAAKFDGILGMAYPRISVNNVLPVFDNLMQQKLVDQNIFSFYLSRDPDAQPGGELMLGGTDSKYYKGSLSYLNVTRKAYWQVHLDQVEVASGLTLCKEGCEAIVDTGTSLMVGPVDEVRELQKAIGAVPLIQGEYMIPCEKVSTLPAITLKLGGKGYKLSPEDYTLKVSQAGKTLCLSGFMGMDIPPPSGPLWILGDVFIGRYYTVFDRDNNRVGFAEAARL 相同性解析による交差性が予測される生物種 |
| Full Name | cathepsin D |
| Calculated molecular weight | 45kDa |
| Observed molecular weight | 32 kDa, 48 kDa, 52 kDa |
| GenBank accession number | NM_001909.5 |
| Gene Symbol | Cathepsin D |
| Gene ID (NCBI) | 1509 |
| RRID | AB_3670015 |
| Conjugate | Unconjugated |
| Form | |
| Form | Liquid |
| Purification Method | Antigen affinity Purification |
| UNIPROT ID | P07339 |
| Storage Buffer | PBS with 0.02% sodium azide and 50% glycerol{{ptg:BufferTemp}}7.3 |
| Storage Conditions | Store at -20°C. Stable for one year after shipment. Aliquoting is unnecessary for -20oC storage. |
Background Information
CTSD (cathepsin D) is a lysosomal aspartic protease in the pepsin superfamily ubiquitous to all cell types but particularly abundant in the central nervous system (CNS). The signal peptide of the pre-proCTSD (52 kDa) is cleaved in the endoplasmic reticulum (ER), forming the pro-CTSD (48 kDa), finally processed to form the mature CTSD (32 kDa) in the lysosome (PMID: 31282275,15126630). The major role of the m-CTSD is the digestion of internalized waste cell proteins and peptides in the lysosome, which maintains cell health (PMID: 32324083). CTSD is a well-established aspartyl protease that functions intracellularly in lysosomes and extracellularly in several forms of cancer.
Protocols
| Product Specific Protocols | |
|---|---|
| IF protocol for Cathepsin D antibody 31516-1-AP | Download protocol |
| IHC protocol for Cathepsin D antibody 31516-1-AP | Download protocol |
| WB protocol for Cathepsin D antibody 31516-1-AP | Download protocol |
| Standard Protocols | |
|---|---|
| Click here to view our Standard Protocols |






