Validation Data Gallery
Tested Applications
Recommended dilution
| Application | Dilution |
|---|---|
| This reagent has been tested for flow cytometric analysis. It is recommended that this reagent should be titrated in each testing system to obtain optimal results. | |
Product Information
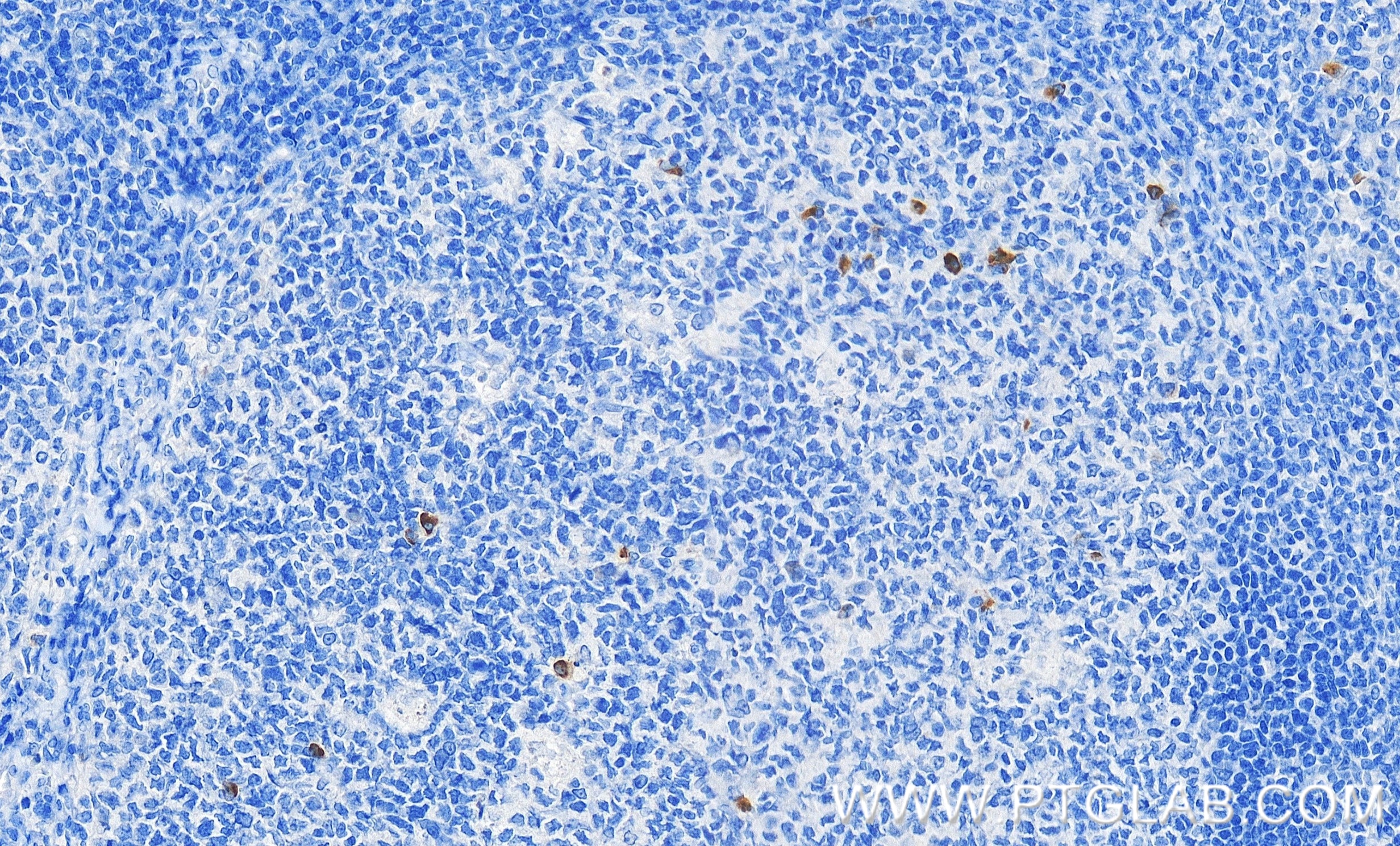
98078-1-PBS targets CTLA-4/CD152 in IHC, FC applications and shows reactivity with human samples.
| Tested Reactivity | human |
| Host / Isotype | Rabbit / IgG |
| Class | Recombinant |
| Type | Antibody |
| Immunogen |
CatNo: Eg0972 Product name: Recombinant Human CTLA4 protein (His Tag) Source: mammalian cells-derived, pHZ-KIsec-C-6*HIS Tag: C-6*HIS Domain: 36-161 aa of BC070162 Sequence: KAMHVAQPAVVLASSRGIASFVCEYASPGKATEVRVTVLRQADSQVTEVCAATYMMGNELTFLDDSICTGTSSGNQVNLTIQGLRAMDTGLYICKVELMYPPPYYLGIGNGTQIYVIDPEPCPDSD 相同性解析による交差性が予測される生物種 |
| Full Name | cytotoxic T-lymphocyte-associated protein 4 |
| Calculated molecular weight | 223 aa, 25 kDa |
| GenBank accession number | BC070162 |
| Gene Symbol | CTLA4 |
| Gene ID (NCBI) | 1493 |
| Conjugate | Unconjugated |
| Form | |
| Form | Liquid |
| Purification Method | Protein A purfication |
| UNIPROT ID | P16410 |
| Storage Buffer | PBS only{{ptg:BufferTemp}}7.3 |
| Storage Conditions | Store at -80°C. |
Background Information
CTLA-4, also known as CD152, belonging to the immunoglobulin superfamily, is primarily found on activated T cells and regulatory T cells (Tregs). CTLA-4 is closely related to the T-cell costimulatory CD28, and both molecules bind to B7-1 and B7-2 on antigen-presenting cells. CTLA-4 acts as a negative regulatory molecule of T-cell responses.




