Validation Data Gallery
Tested Applications
| Positive WB detected in | U2OS cells |
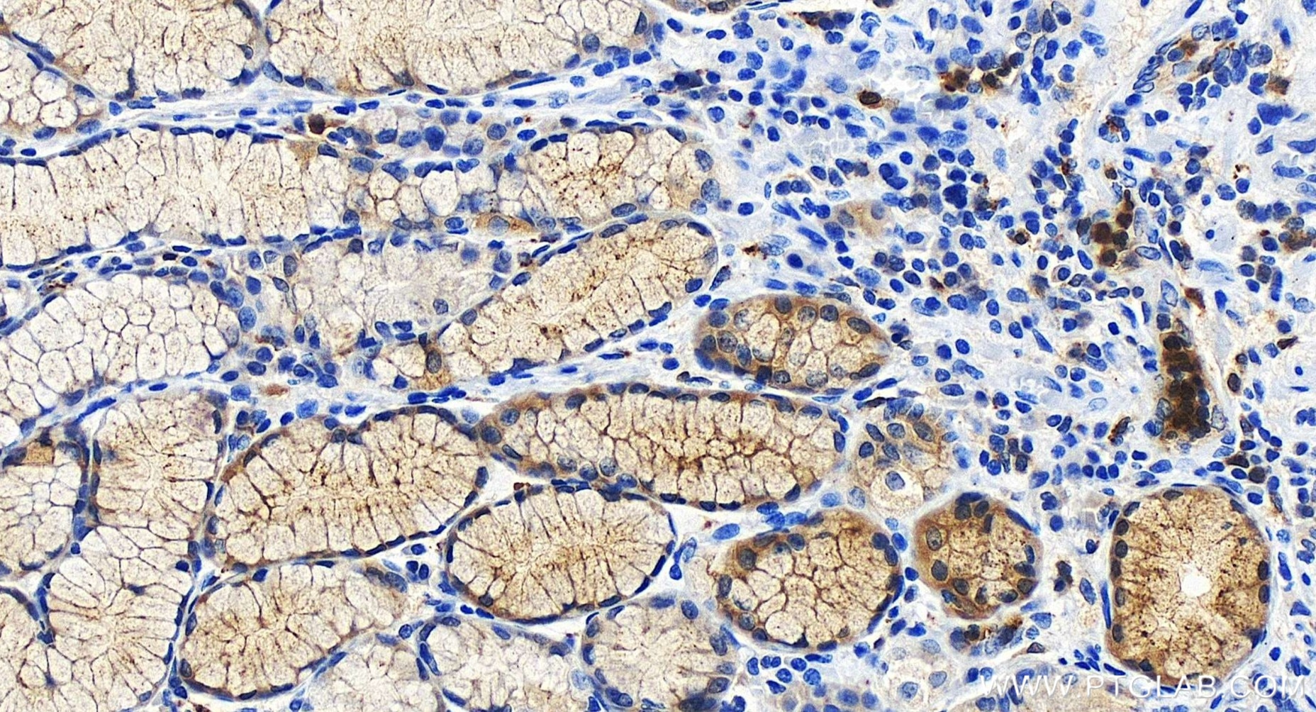
| Positive IHC detected in | human stomach cancer tissue Note: suggested antigen retrieval with TE buffer pH 9.0; (*) Alternatively, antigen retrieval may be performed with citrate buffer pH 6.0 |
Recommended dilution
| Application | Dilution |
|---|---|
| Western Blot (WB) | WB : 1:1000-1:6000 |
| Immunohistochemistry (IHC) | IHC : 1:250-1:1000 |
| It is recommended that this reagent should be titrated in each testing system to obtain optimal results. | |
| Sample-dependent, Check data in validation data gallery. | |
Product Information
84953-4-RR targets Cystatin A in WB, IHC, ELISA applications and shows reactivity with human samples.
| Tested Reactivity | human |
| Host / Isotype | Rabbit / IgG |
| Class | Recombinant |
| Type | Antibody |
| Immunogen |
CatNo: Ag8733 Product name: Recombinant human CSTA protein Source: e coli.-derived, PGEX-4T Tag: GST Domain: 1-98 aa of BC010379 Sequence: MIPGGLSEAKPATPEIQEIVDKVKPQLEEKTNETYGKLEAVQYKTQVVAGTNYYIKVRAGDNKYMHLKVFKSLPGQNEDLVLTGYQVDKNKDDELTGF 相同性解析による交差性が予測される生物種 |
| Full Name | cystatin A (stefin A) |
| Calculated molecular weight | 98 aa, 11 kDa |
| Observed molecular weight | 11 kDa |
| GenBank accession number | BC010379 |
| Gene Symbol | Cystatin A |
| Gene ID (NCBI) | 1475 |
| Conjugate | Unconjugated |
| Form | |
| Form | Liquid |
| Purification Method | Protein A purification |
| UNIPROT ID | P01040 |
| Storage Buffer | PBS with 0.02% sodium azide and 50% glycerol{{ptg:BufferTemp}}7.3 |
| Storage Conditions | Store at -20°C. Stable for one year after shipment. Aliquoting is unnecessary for -20oC storage. |
Background Information
Cystatin A (CSTA) is a member of the cystatin superfamily, which are thiol proteinase inhibitors (TPI) that play crucial roles in regulating proteolytic activity. It is a small protein composed of 98 amino acids with a molecular weight of approximately 11 kDa. CSTA is primarily expressed in epithelial tissues, such as the skin and esophagus, where it serves as a precursor protein for the cornified cell envelope in keratinocytes.
Protocols
| Product Specific Protocols | |
|---|---|
| IHC protocol for Cystatin A antibody 84953-4-RR | Download protocol |
| WB protocol for Cystatin A antibody 84953-4-RR | Download protocol |
| Standard Protocols | |
|---|---|
| Click here to view our Standard Protocols |



