Validation Data Gallery
Tested Applications
| Positive WB detected in | HeLa cells, mouse heart tissue, mouse kidney tissue, mouse brain tissue, rat brain tissue, rat kidney tissue |
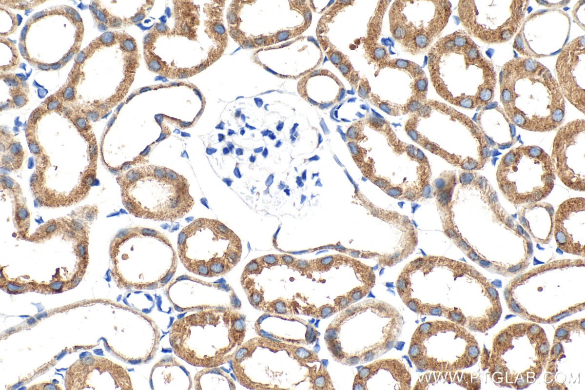
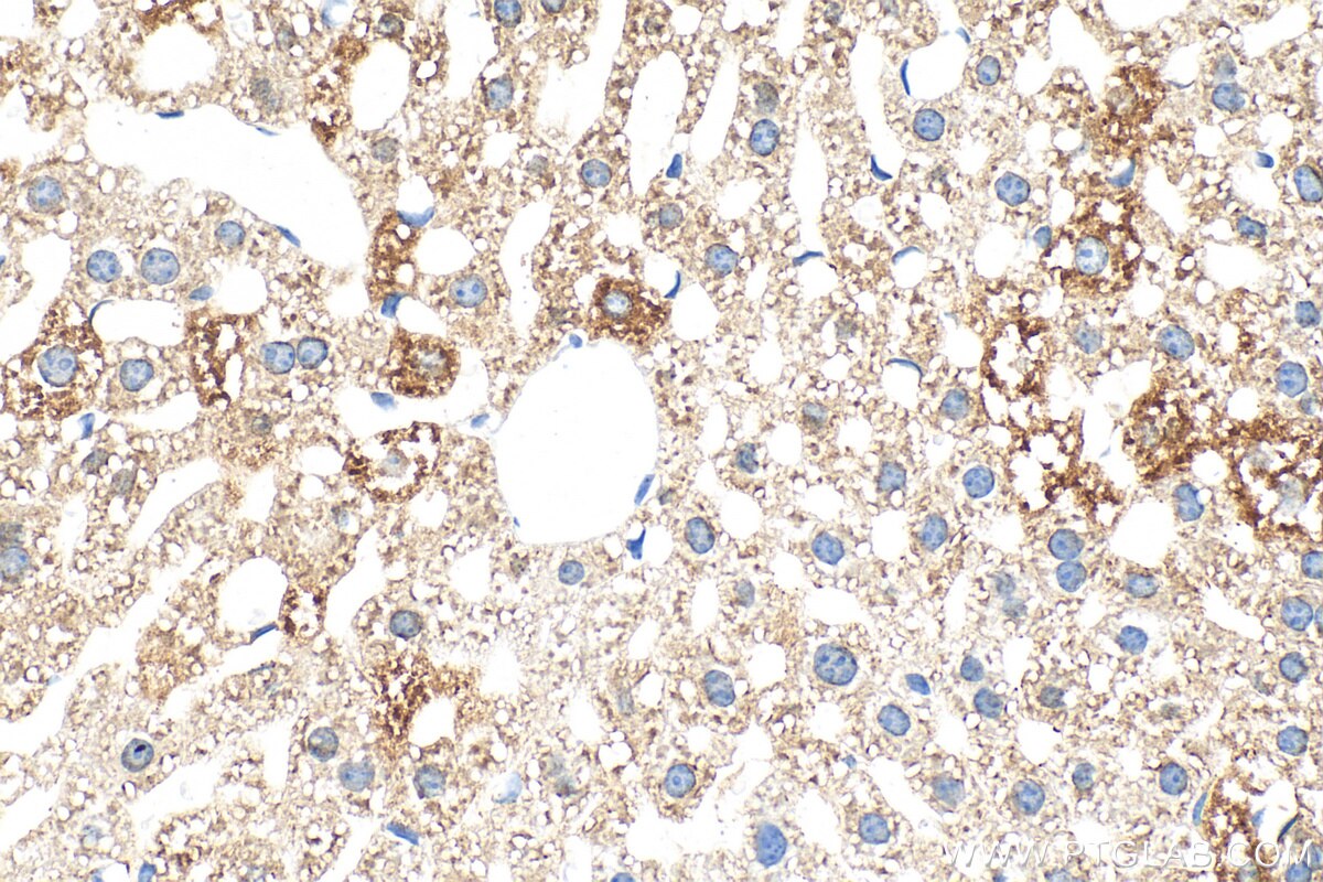
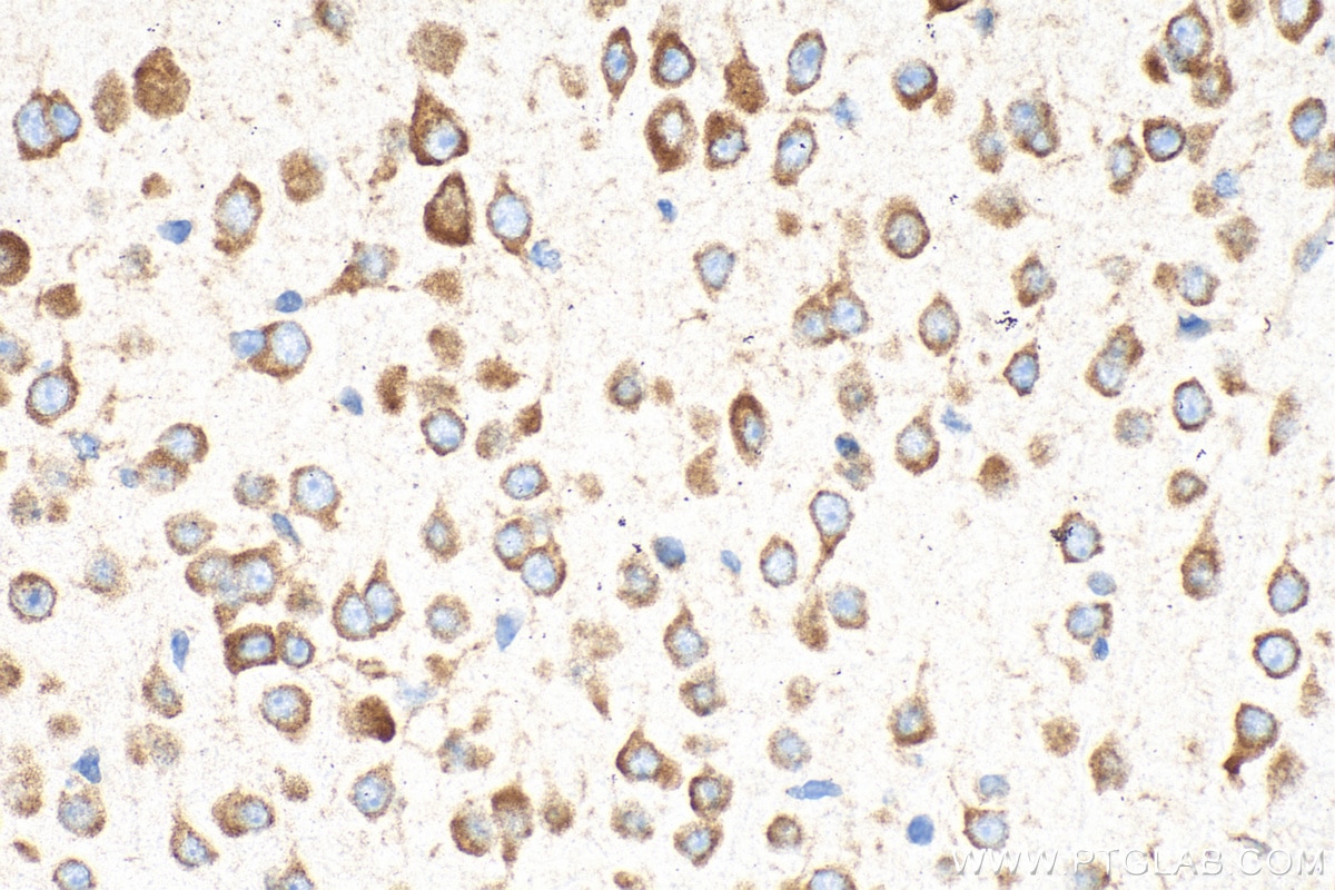
| Positive IHC detected in | mouse brain tissue, mouse kidney tissue, mouse liver tissue Note: suggested antigen retrieval with TE buffer pH 9.0; (*) Alternatively, antigen retrieval may be performed with citrate buffer pH 6.0 |
| Positive IF/ICC detected in | COS-7 cells |
Recommended dilution
| Application | Dilution |
|---|---|
| Western Blot (WB) | WB : 1:1000-1:4000 |
| Immunohistochemistry (IHC) | IHC : 1:250-1:1000 |
| Immunofluorescence (IF)/ICC | IF/ICC : 1:200-1:800 |
| It is recommended that this reagent should be titrated in each testing system to obtain optimal results. | |
| Sample-dependent, Check data in validation data gallery. | |
Published Applications
| WB | See 1 publications below |
Product Information
30986-1-AP targets CLUH in WB, IHC, IF/ICC, ELISA applications and shows reactivity with human, mouse, monkey samples.
| Tested Reactivity | human, mouse, monkey |
| Cited Reactivity | human |
| Host / Isotype | Rabbit / IgG |
| Class | Polyclonal |
| Type | Antibody |
| Immunogen |
CatNo: Ag34275 Product name: Recombinant human CLUH protein Source: e coli.-derived, PGEX-4T Tag: GST Domain: 1120-1309 aa of BC156940 Sequence: YDLSLRFLENALAVSTKYHGPKALKVALSHHLVARVYESKAEFRSALQHEKEGYTIYKTQLGEDHEKTKESSEYLKCLTQQAVALQRTMNEIYRNGSSANIPPLKFTAPSMASVLEQLNVINGILFIPLSQKDLENLKAEVARRHQLQEASRNRDRAEEPMATEPAPAGAPGDLGSQPPAAKDPSPSVQG 相同性解析による交差性が予測される生物種 |
| Full Name | KIAA0664 |
| Observed molecular weight | 147-150 kDa |
| GenBank accession number | BC156940 |
| Gene Symbol | CLUH |
| Gene ID (NCBI) | 23277 |
| RRID | AB_3669806 |
| Conjugate | Unconjugated |
| Form | |
| Form | Liquid |
| Purification Method | Antigen affinity Purification |
| UNIPROT ID | O75153 |
| Storage Buffer | PBS with 0.02% sodium azide and 50% glycerol{{ptg:BufferTemp}}7.3 |
| Storage Conditions | Store at -20°C. Stable for one year after shipment. Aliquoting is unnecessary for -20oC storage. |
Background Information
Clustered mitochondria homolog (CLUH) is a conserved RNA-binding protein, that binds transcripts encoding proteins involved in the respiratory chain, the tricarboxylic acid (TCA) cycle, and other mitochondrial metabolic pathways. Upon loss of CLUH, target mRNAs are subjected to faster decay, and their respective proteins are decreased in abundance. This leads to alterations in mitochondrial distribution (mitochondrial clustering as the gene name alludes to) mitochondrial cristae integrity, respiratory defects, loss of mtDNA, and decreased activity of TCA cycle enzymes. (PMID: 35559794)
Protocols
| Product Specific Protocols | |
|---|---|
| IHC protocol for CLUH antibody 30986-1-AP | Download protocol |
| WB protocol for CLUH antibody 30986-1-AP | Download protocol |
| IF protocol for CLUH antibody 30986-1-AP | Download protocol |
| Standard Protocols | |
|---|---|
| Click here to view our Standard Protocols |





