Validation Data Gallery
Tested Applications
| Positive WB detected in | mouse brain tissue, HAP1 cells, HEK-293 cells, mouse colon tissue, rat brain tissue |
| Positive IP detected in | mouse brain tissue |
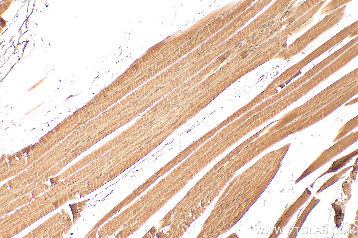
| Positive IHC detected in | mouse skeletal muscle tissue Note: suggested antigen retrieval with TE buffer pH 9.0; (*) Alternatively, antigen retrieval may be performed with citrate buffer pH 6.0 |
Recommended dilution
| Application | Dilution |
|---|---|
| Western Blot (WB) | WB : 1:5000-1:50000 |
| Immunoprecipitation (IP) | IP : 0.5-4.0 ug for 1.0-3.0 mg of total protein lysate |
| Immunohistochemistry (IHC) | IHC : 1:1000-1:4000 |
| It is recommended that this reagent should be titrated in each testing system to obtain optimal results. | |
| Sample-dependent, Check data in validation data gallery. | |
Published Applications
| WB | See 7 publications below |
| IF | See 2 publications below |
Product Information
15137-1-AP targets CKB/CKM in WB, IHC, IF, IP, ELISA applications and shows reactivity with human, mouse, rat samples.
| Tested Reactivity | human, mouse, rat |
| Cited Reactivity | human, mouse, rat |
| Host / Isotype | Rabbit / IgG |
| Class | Polyclonal |
| Type | Antibody |
| Immunogen |
CatNo: Ag7285 Product name: Recombinant human CKB protein Source: e coli.-derived, PGEX-4T Tag: GST Domain: 1-381 aa of BC001190 Sequence: MPFSNSHNALKLRFPAEDEFPDLSAHNNHMAKVLTPELYAELRAKSTPSGFTLDDVIQTGVDNPGHPYIMTVGCVAGDEESYEVFKDLFDPIIEDRHGGYKPSDEHKTDLNPDNLQGGDDLDPNYVLSSRVRTGRSIRGFCLPPHCSRGERRAIEKLAVEALSSLDGDLAGRYYALKSMTEAEQQQLIDDHFLFDKPVSPLLLASGMARDWPDARGIWHNDNKTFLVWVNEEDHLRVISMQKGGNMKEVFTRFCTGLTQIETLFKSKDYEFMWNPHLGYILTCPSNLGTGLRAGVHIKLPNLGKHEKFSEVLKRLRLQKRGTGGVDTAAVGGVFDVSNADRLGFSEVELVQMVVDGVKLLIEMEQRLEQGQAIDDLMPAQK 相同性解析による交差性が予測される生物種 |
| Full Name | creatine kinase, brain |
| Calculated molecular weight | 43 kDa |
| Observed molecular weight | 43 kDa |
| GenBank accession number | BC001190 |
| Gene Symbol | CKB |
| Gene ID (NCBI) | 1152 |
| RRID | AB_2080878 |
| Conjugate | Unconjugated |
| Form | |
| Form | Liquid |
| Purification Method | Antigen affinity purification |
| UNIPROT ID | P12277 |
| Storage Buffer | PBS with 0.02% sodium azide and 50% glycerol{{ptg:BufferTemp}}7.3 |
| Storage Conditions | Store at -20°C. Stable for one year after shipment. Aliquoting is unnecessary for -20oC storage. |
Background Information
CKBB, also named as B-CK and CKB, is a member of the ATP:guanido phosphotransferase protein family. It is a cytoplasmic enzyme involved in energy homeostasis. CKBB reversibly catalyzes the transfer of phosphate between ATP and various phosphogens such as creatine phosphate. It acts as a homodimer in brain as well as in other tissues, and as a heterodimer with a similar muscle isozyme in heart. CK isoenzymes play a central role in energy transduction in tissues with large, fluctuating energy demands, such as skeletal muscle, heart, brain and spermatozoa. CK MB consists of a dimer of nonidentical chains. With MM being the major form in skeletal muscle and myocardium, MB existing in myocardium, and BB existing in many tissues, especially brain. This antibody can recognize both CKB and CKM due to the high homology.
Protocols
| Product Specific Protocols | |
|---|---|
| IHC protocol for CKB/CKM antibody 15137-1-AP | Download protocol |
| IP protocol for CKB/CKM antibody 15137-1-AP | Download protocol |
| WB protocol for CKB/CKM antibody 15137-1-AP | Download protocol |
| Standard Protocols | |
|---|---|
| Click here to view our Standard Protocols |
Publications
| Species | Application | Title |
|---|---|---|
Cell Metab Tyrosine Phosphorylation of Mitochondrial Creatine Kinase 1 Enhances a Druggable Tumor Energy Shuttle Pathway. | ||
Sci Adv Glioblastoma exploits ATP from leading-edge astrocytes to fuel its infiltrative growth revealed by spatially resolved chimeric analysis | ||
Food Chem Pu-erh tea increases the metabolite Cinnabarinic acid to improve circadian rhythm disorder-induced obesity. | ||
Toxicol Appl Pharmacol Cytochalasin Q exerts anti-melanoma effect by inhibiting creatine kinase B. | ||
Cell Death Dis Exosomes derived from cardiac progenitor cells attenuate CVB3-induced apoptosis via abrogating the proliferation of CVB3 and modulating the mTOR signaling pathways. | ||
Anticancer Res Comparative Proteomic Profiling of Cisplatin-resistant Nasopharyngeal Carcinoma Cell Lines: Novel Biomarkers for Improving Chemotherapy of NPC. |






