Validation Data Gallery
Tested Applications
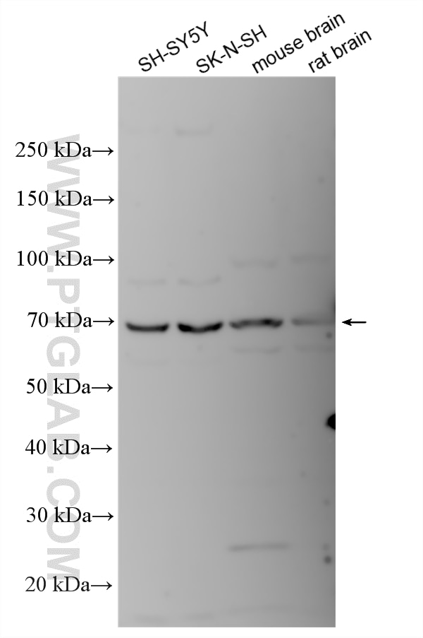
| Positive WB detected in | SH-SY5Y cells, mouse brain tissue, rat brain tissue, SK-N-SH cells |
| Positive IHC detected in | mouse brain tissue Note: suggested antigen retrieval with TE buffer pH 9.0; (*) Alternatively, antigen retrieval may be performed with citrate buffer pH 6.0 |
Recommended dilution
| Application | Dilution |
|---|---|
| Western Blot (WB) | WB : 1:500-1:2000 |
| Immunohistochemistry (IHC) | IHC : 1:200-1:1000 |
| It is recommended that this reagent should be titrated in each testing system to obtain optimal results. | |
| Sample-dependent, Check data in validation data gallery. | |
Published Applications
| WB | See 1 publications below |
Product Information
21978-1-AP targets CHRM3 in WB, IHC, ELISA applications and shows reactivity with human, mouse, rat samples.
| Tested Reactivity | human, mouse, rat |
| Cited Reactivity | mouse |
| Host / Isotype | Rabbit / IgG |
| Class | Polyclonal |
| Type | Antibody |
| Immunogen |
CatNo: Ag17791 Product name: Recombinant human CHRM3 protein Source: e coli.-derived, PGEX-4T Tag: GST Domain: 261-477 aa of BC121026 Sequence: RTKELAGLQASGTEAETENFVHPTGSSRSCSSYELQQQSMKRSNRRKYGRCHFWFTTKSWKPSSEQMDQDHSSSDSWNNNDAAASLENSASSDEEDIGSETRAIYSIVLKLPGHSTILNSTKLPSSDNLQVPEEELGMVDLERKADKLQAQKSVDDGGSFPKSFSKLPIQLESAVDTAKTSDVNSSVGKSTATLPLSFKEATLAKRFALKTRSQITK 相同性解析による交差性が予測される生物種 |
| Full Name | cholinergic receptor, muscarinic 3 |
| Calculated molecular weight | 590 aa, 66 kDa |
| Observed molecular weight | 60-66 kDa |
| GenBank accession number | BC121026 |
| Gene Symbol | CHRM3 |
| Gene ID (NCBI) | 1131 |
| RRID | AB_3085681 |
| Conjugate | Unconjugated |
| Form | |
| Form | Liquid |
| Purification Method | Antigen affinity purification |
| UNIPROT ID | P20309 |
| Storage Buffer | PBS with 0.02% sodium azide and 50% glycerol{{ptg:BufferTemp}}7.3 |
| Storage Conditions | Store at -20°C. Stable for one year after shipment. Aliquoting is unnecessary for -20oC storage. |
Background Information
CHRM3 (M3 muscarinic acetylcholine receptor) is a major player in many kinds of cancer (PMID: 26175851). The expression of muscarinic receptors, mainly the CHRM3, is amplified in several types of tumors, including colon cancer, prostate cancer, endometrial carcinoma, and gastric cancer. Colon cancer overexpresses CHRM3, and post-M3R signaling promotes cell growth via the activation of the epidermal growth factor receptors/ERK and protein kinase C/p38 mitogen-activated protein kinase (MAPK) signaling pathways (PMID: 37744266).
Protocols
| Product Specific Protocols | |
|---|---|
| IHC protocol for CHRM3 antibody 21978-1-AP | Download protocol |
| WB protocol for CHRM3 antibody 21978-1-AP | Download protocol |
| Standard Protocols | |
|---|---|
| Click here to view our Standard Protocols |



