Validation Data Gallery
Tested Applications
| Positive WB detected in | HeLa cells, BxPC-3 cells, SH-SY5Y cells, RAW 264.7 cells, PC-12 cells, HEK-293T cells |
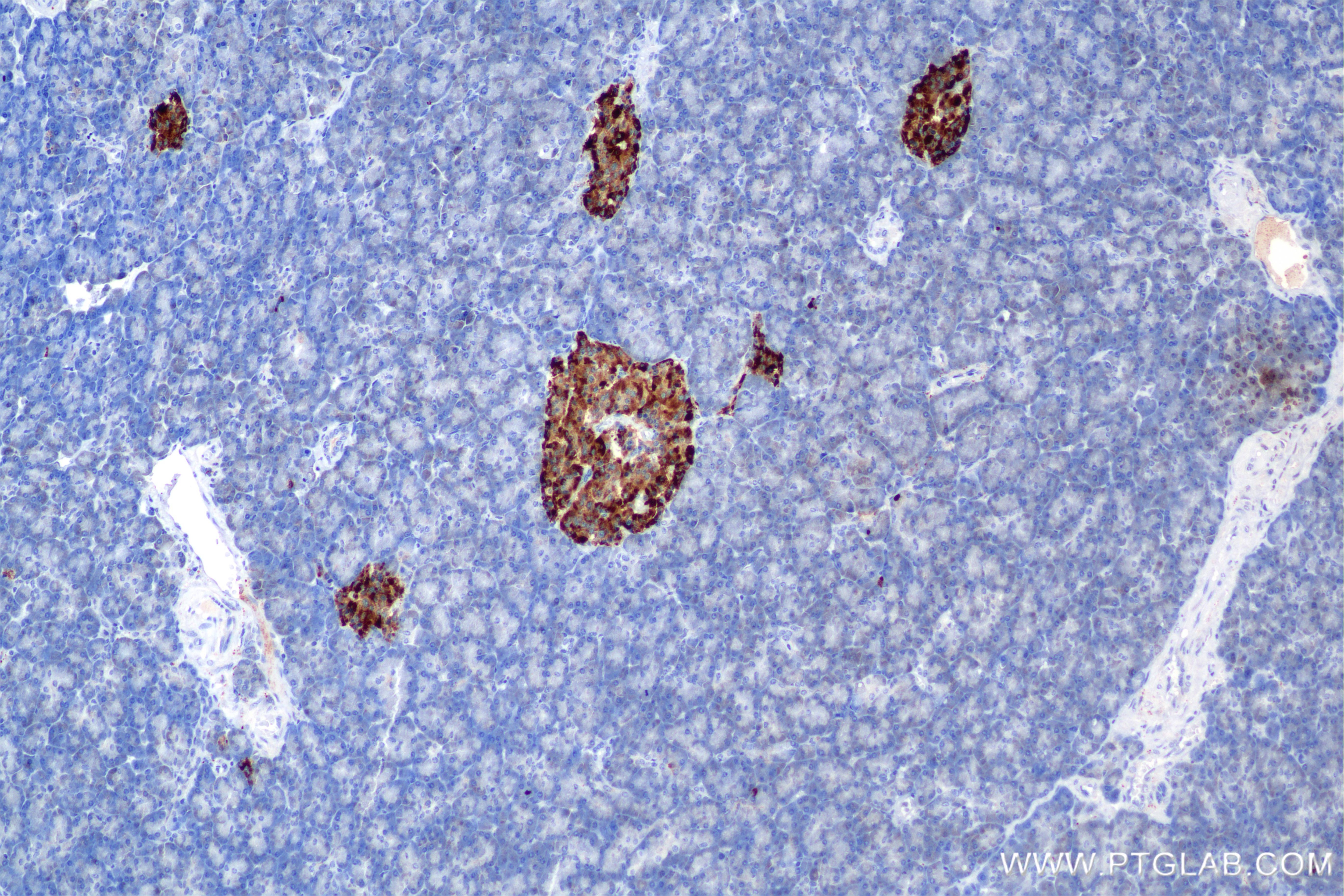
| Positive IHC detected in | human pancreas tissue Note: suggested antigen retrieval with TE buffer pH 9.0; (*) Alternatively, antigen retrieval may be performed with citrate buffer pH 6.0 |
| Positive IF/ICC detected in | PC-12 cells |
Recommended dilution
| Application | Dilution |
|---|---|
| Western Blot (WB) | WB : 1:5000-1:50000 |
| Immunohistochemistry (IHC) | IHC : 1:500-1:2000 |
| Immunofluorescence (IF)/ICC | IF/ICC : 1:50-1:500 |
| It is recommended that this reagent should be titrated in each testing system to obtain optimal results. | |
| Sample-dependent, Check data in validation data gallery. | |
Product Information
85438-4-RR targets CHGB in WB, IHC, IF/ICC, ELISA applications and shows reactivity with human samples.
| Tested Reactivity | human |
| Host / Isotype | Rabbit / IgG |
| Class | Recombinant |
| Type | Antibody |
| Immunogen |
CatNo: Ag6833 Product name: Recombinant human CHGB protein Source: e coli.-derived, PGEX-4T Tag: GST Domain: 328-677 aa of BC000375 Sequence: HSTHYRASEEEPEYGEEIKGYPGVQAPEDLEWERYRGRGSEEYRAPRPQSEESWDEEDKRNYPSLELDKMAHGYGEESEEERGLEPGKGRHHRGRGGEPRAYFMSDTREEKRFLGEGHHRVQENQMDKARRHPQGAWKELDRNYLNYGEEGAPGKWQQQGDLQDTKENREEARFQDKQYSSHHTAEKRKRLGELFNPYYDPLQWKSSHFERRDNMNDNFLEGEEENELTLNEKNFFPEYNYDWWEKKPFSEDVNWGYEKRNLARVPKLDLKRQYDRVAQLDQLLHYRKKSAEFPDFYDSEEPVSTHQEAENEKDRADQTVLTEDEKKELENLAAMDLELQKIAEKFSQRG 相同性解析による交差性が予測される生物種 |
| Full Name | chromogranin B (secretogranin 1) |
| Calculated molecular weight | 78 kDa |
| Observed molecular weight | 70-100 kDa |
| GenBank accession number | BC000375 |
| Gene Symbol | Chromogranin B |
| Gene ID (NCBI) | 1114 |
| Conjugate | Unconjugated |
| Form | |
| Form | Liquid |
| Purification Method | Protein A purification |
| UNIPROT ID | P05060 |
| Storage Buffer | PBS with 0.02% sodium azide and 50% glycerol{{ptg:BufferTemp}}7.3 |
| Storage Conditions | Store at -20°C. Stable for one year after shipment. Aliquoting is unnecessary for -20oC storage. |
Background Information
Chromogranin B is also named as Secretogranin-1, SgI, CgB, CHGB and SCG1. CHGB, a secretory granule protein, inserts itself into membrane and forms a chloride-conducting channel (PMID: 30456382). Native CHGB distributes nearly equally in soluble and membrane-bound forms, and both reconstitute highly selective anion channels in membrane (PMID: 37435575). The calculated molecular weight of Chromogranin B is at 78kDa.
Protocols
| Product Specific Protocols | |
|---|---|
| IF protocol for CHGB antibody 85438-4-RR | Download protocol |
| IHC protocol for CHGB antibody 85438-4-RR | Download protocol |
| WB protocol for CHGB antibody 85438-4-RR | Download protocol |
| Standard Protocols | |
|---|---|
| Click here to view our Standard Protocols |





