Validation Data Gallery
Tested Applications
Recommended dilution
| Application | Dilution |
|---|---|
| It is recommended that this reagent should be titrated in each testing system to obtain optimal results. | |
Product Information
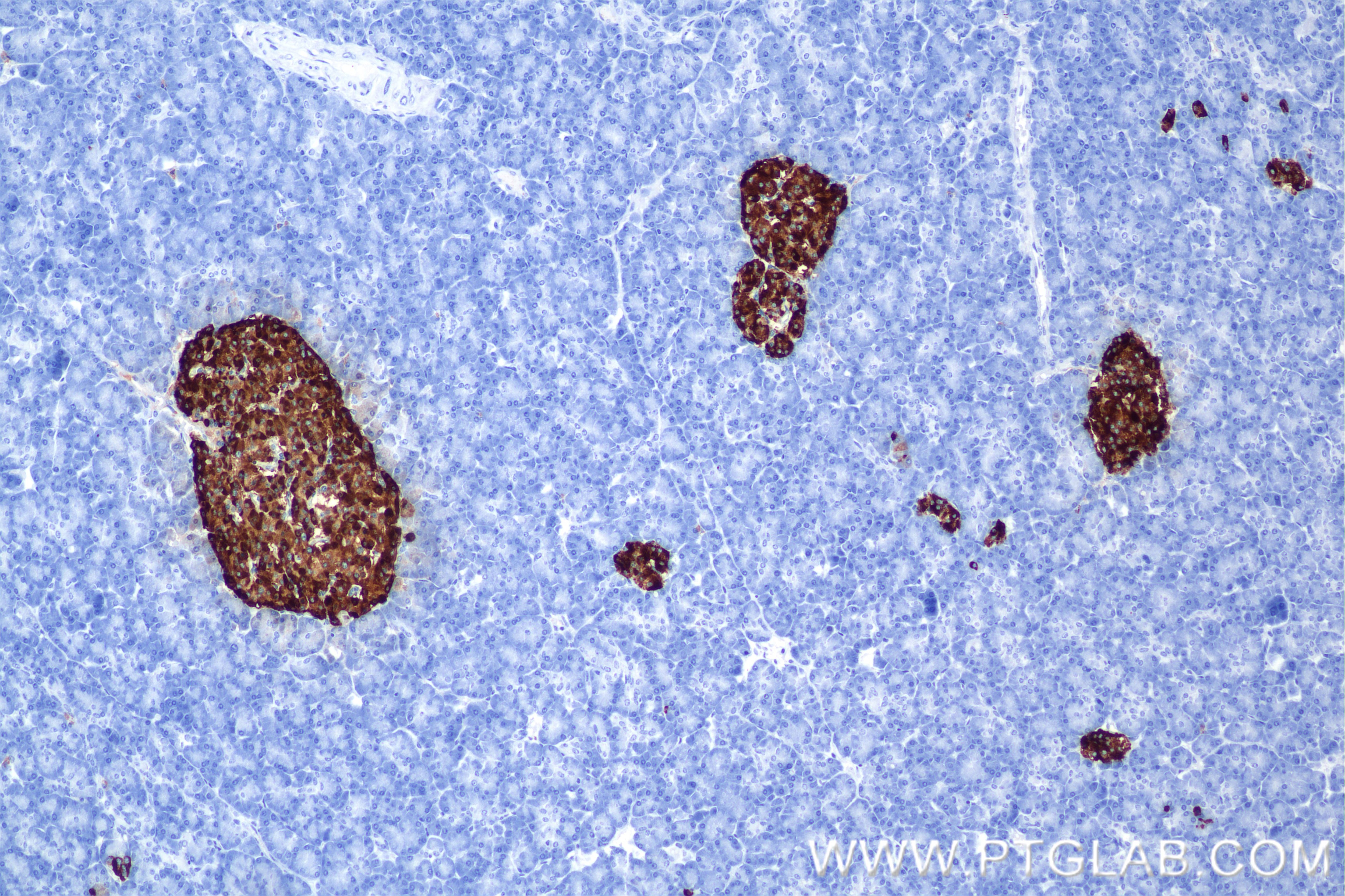
85605-2-PBS targets Chromogranin A in WB, IHC, IF-P, Indirect ELISA applications and shows reactivity with human, mouse, rat, pig samples.
| Tested Reactivity | human, mouse, rat, pig |
| Host / Isotype | Rabbit / IgG |
| Class | Recombinant |
| Type | Antibody |
| Immunogen |
CatNo: Ag19780 Product name: Recombinant human CHGA protein Source: e coli.-derived, PET28a Tag: 6*His Domain: 19-457 aa of BC006459 Sequence: LPVNSPMNKGDTEVMKCIVEVISDTLSKPSPMPVSQECFETLRGDERILSILRHQNLLKELQDLALQGAKERAHQQKKHSGFEDELSEVLENQSSQAELKEAVEEPSSKDVMEKREDSKEAEKSGEATDGARPQALPEPMQESKAEGNNQAPGEEEEEEEEATNTHPPASLPSQKYPGPQAEGDSEGLSQGLVDREKGLSAEPGWQAKREEEEEEEEEAEAGEEAVPEEEGPTVVLNPHPSLGYKEIRKGESRSEALAVDGAGKPGAEEAQDPEGKGEQEHSQQKEEEEEMAVVPQGLFRGGKSGELEQEEERLSKEWEDSKRWSKMDQLAKELTAEKRLEGQEEEEDNRDSSMKLSFRARAYGFRGPGPQLRRGWRPSSREDSLEAGLPLQVRGYPEEKKEEEGSANRRPEDQELESLSAIEAELEKVAHQLQALRRG 相同性解析による交差性が予測される生物種 |
| Full Name | chromogranin A (parathyroid secretory protein 1) |
| Calculated molecular weight | 51 kDa |
| Observed molecular weight | 70-85 kDa |
| GenBank accession number | BC006459 |
| Gene Symbol | Chromogranin A |
| Gene ID (NCBI) | 1113 |
| Conjugate | Unconjugated |
| Form | |
| Form | Liquid |
| Purification Method | Protein A purification |
| UNIPROT ID | P10645 |
| Storage Buffer | PBS only{{ptg:BufferTemp}}7.3 |
| Storage Conditions | Store at -80°C. |
Background Information
Chromogranin A is a member of the granin family of neuroendocrine secretory proteins. It is located in secretory vesicles of neurons and endocrine cells. Chromogranin A is the precursor to several functional peptides including vasostatin, pancreastatin, catestatin and parastatin. These peptides negatively modulate the neuroendocrine function of the releasing cell (autocrine) or nearby cells (paracrine). CgA is one of the most used tumor markers in NET's (neuroendocrine tumors) , and elevated CgA concentrations have been demonstrated in serum or plasma of patients with different types of these tumors.











