Validation Data Gallery
Tested Applications
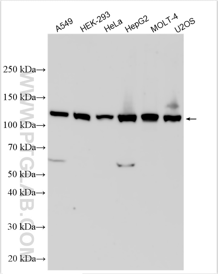
| Positive WB detected in | A549 cells, HEK-293 cells, HeLa cells, HepG2 cells, MOLT-4 cells, U2OS cells |
Recommended dilution
| Application | Dilution |
|---|---|
| Western Blot (WB) | WB : 1:1000-1:4000 |
| It is recommended that this reagent should be titrated in each testing system to obtain optimal results. | |
| Sample-dependent, Check data in validation data gallery. | |
Product Information
32923-1-AP targets CHD1L in WB, ELISA applications and shows reactivity with human samples.
| Tested Reactivity | human |
| Host / Isotype | Rabbit / IgG |
| Class | Polyclonal |
| Type | Antibody |
| Immunogen |
CatNo: Ag38526 Product name: Recombinant human CHD1L protein Source: e coli.-derived, PGEX-4T Tag: GST Domain: 704-897 aa of NM_004284.5 Sequence: SAELDYQDPDATSLKYVSGDVTHPQAGAEDALIVHCVDDSGHWGRGGLFTALEKRSAEPRKIYELAGKMKDLSLGGVLLFPVDDKESRNKGQDLLALIVAQHRDRSNVLSGIKMAALEEGLKKIFLAAKKKKASVHLPRIGHATKGFNWYGTERLIRKHLAARGIPTYIYYFPRSKSAVLHSQSSSSSSRQLVP* 相同性解析による交差性が予測される生物種 |
| Full Name | chromodomain helicase DNA binding protein 1-like |
| Calculated molecular weight | 101kDa,897aa |
| Observed molecular weight | 101 kDa |
| GenBank accession number | NM_004284.5 |
| Gene Symbol | CHD1L |
| Gene ID (NCBI) | 9557 |
| Conjugate | Unconjugated |
| Form | |
| Form | Liquid |
| Purification Method | Antigen affinity Purification |
| UNIPROT ID | Q86WJ1 |
| Storage Buffer | PBS with 0.02% sodium azide and 50% glycerol{{ptg:BufferTemp}}7.3 |
| Storage Conditions | Store at -20°C. Stable for one year after shipment. Aliquoting is unnecessary for -20oC storage. |
Background Information
CHD1L (Chromodomain Helicase DNA Binding Protein 1-Like), also known as ALC1 (Amplified in Liver Cancer 1), encodes a multifunctional protein involved in various cellular processes such as chromatin remodeling, cell differentiation, and development. CHD1L acts as an ATP-dependent chromatin remodeling enzyme with an ATPase catalytic domain activated by double-stranded DNA. It interacts with PARP1 (poly-ADP-ribose polymerase 1) to promote chromatin relaxation at DNA damage sites, facilitating DNA repair. Overexpression of CHD1L leads to dysregulation of downstream targets in various cancers.
Protocols
| Product Specific Protocols | |
|---|---|
| WB protocol for CHD1L antibody 32923-1-AP | Download protocol |
| Standard Protocols | |
|---|---|
| Click here to view our Standard Protocols |
