Validation Data Gallery
Tested Applications
| Positive WB detected in | A431 cells, HeLa cells, HepG2 cells, MCF-7 cells |
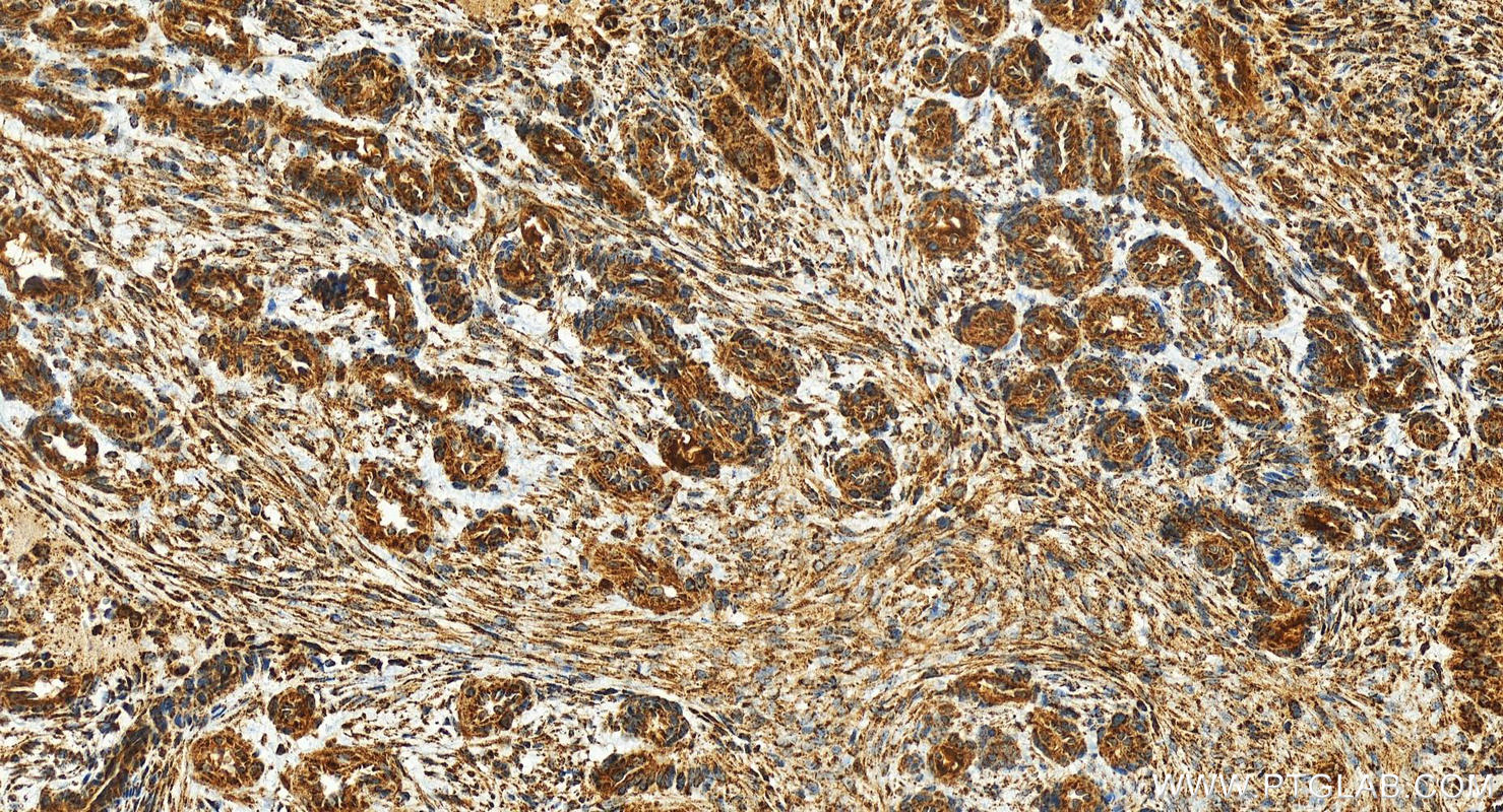
| Positive IHC detected in | human ovarian cancer Note: suggested antigen retrieval with TE buffer pH 9.0; (*) Alternatively, antigen retrieval may be performed with citrate buffer pH 6.0 |
| Positive IF/ICC detected in | MCF-7 cells |
Recommended dilution
| Application | Dilution |
|---|---|
| Western Blot (WB) | WB : 1:500-1:3000 |
| Immunohistochemistry (IHC) | IHC : 1:50-1:500 |
| Immunofluorescence (IF)/ICC | IF/ICC : 1:50-1:500 |
| It is recommended that this reagent should be titrated in each testing system to obtain optimal results. | |
| Sample-dependent, Check data in validation data gallery. | |
Product Information
25711-1-AP targets CHCHD5 in WB, IHC, IF/ICC, ELISA applications and shows reactivity with human samples.
| Tested Reactivity | human |
| Host / Isotype | Rabbit / IgG |
| Class | Polyclonal |
| Type | Antibody |
| Immunogen |
CatNo: Ag22503 Product name: Recombinant human CHCHD5 protein Source: e coli.-derived, PGEX-4T Tag: GST Domain: 1-110 aa of BC004498 Sequence: MQAALEVTARYCGRELEQYGQCVAAKPESWQRDCHYLKMSIAQCTSSHPIIRQIRQACAQPFEAFEECLRQNEAAVGNCAEHMRRFLQCAEQVQPPRSPATVEAQPLPAS 相同性解析による交差性が予測される生物種 |
| Full Name | coiled-coil-helix-coiled-coil-helix domain containing 5 |
| Calculated molecular weight | 110 aa, 12 kDa |
| Observed molecular weight | 12 kDa |
| GenBank accession number | BC004498 |
| Gene Symbol | CHCHD5 |
| Gene ID (NCBI) | 84269 |
| RRID | AB_3085818 |
| Conjugate | Unconjugated |
| Form | |
| Form | Liquid |
| Purification Method | Antigen affinity purification |
| UNIPROT ID | Q9BSY4 |
| Storage Buffer | PBS with 0.02% sodium azide and 50% glycerol{{ptg:BufferTemp}}7.3 |
| Storage Conditions | Store at -20°C. Stable for one year after shipment. Aliquoting is unnecessary for -20oC storage. |
Protocols
| Product Specific Protocols | |
|---|---|
| IF protocol for CHCHD5 antibody 25711-1-AP | Download protocol |
| IHC protocol for CHCHD5 antibody 25711-1-AP | Download protocol |
| WB protocol for CHCHD5 antibody 25711-1-AP | Download protocol |
| Standard Protocols | |
|---|---|
| Click here to view our Standard Protocols |


