Validation Data Gallery
Tested Applications
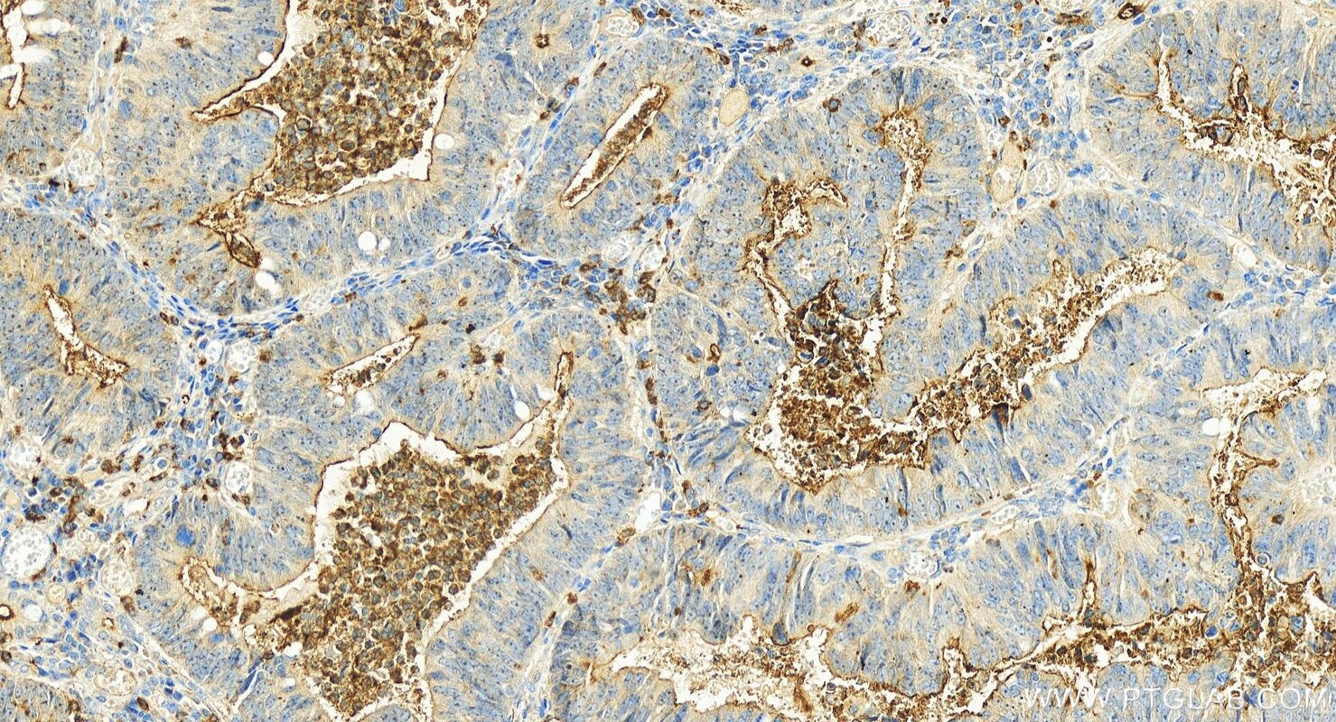
| Positive IHC detected in | human colon cancer tissue Note: suggested antigen retrieval with TE buffer pH 9.0; (*) Alternatively, antigen retrieval may be performed with citrate buffer pH 6.0 |
Recommended dilution
| Application | Dilution |
|---|---|
| Immunohistochemistry (IHC) | IHC : 1:50-1:500 |
| It is recommended that this reagent should be titrated in each testing system to obtain optimal results. | |
| Sample-dependent, Check data in validation data gallery. | |
Product Information
22238-1-AP targets CEACAM1/CD66a in IHC, ELISA applications and shows reactivity with human samples.
| Tested Reactivity | human |
| Host / Isotype | Rabbit / IgG |
| Class | Polyclonal |
| Type | Antibody |
| Immunogen |
CatNo: Ag17651 Product name: Recombinant human CEACAM1 protein Source: e coli.-derived, PET28a Tag: 6*His Domain: 317-459 aa of BC014473 Sequence: IVTELSPVVAKPQIKASKTTVTGDKDSVNLTCSTNDTGISIRWFFKNQSLPSSERMKLSQGNTTLSINPVKREDAGTYWCEVFNPISKNQSDPIMLNVNYNALPQENGLSPGAIAGIVIGVVALVALIAVALACFLHFGKTGR 相同性解析による交差性が予測される生物種 |
| Full Name | carcinoembryonic antigen-related cell adhesion molecule 1 (biliary glycoprotein) |
| Calculated molecular weight | 526 aa, 58 kDa |
| GenBank accession number | BC014473 |
| Gene Symbol | CEACAM1 |
| Gene ID (NCBI) | 634 |
| RRID | AB_3669392 |
| Conjugate | Unconjugated |
| Form | |
| Form | Liquid |
| Purification Method | Antigen affinity purification |
| UNIPROT ID | P13688 |
| Storage Buffer | PBS with 0.02% sodium azide and 50% glycerol{{ptg:BufferTemp}}7.3 |
| Storage Conditions | Store at -20°C. Stable for one year after shipment. Aliquoting is unnecessary for -20oC storage. |
Background Information
CEACAM1, also known as CD66a or BGP (biliary glycoprotein), is a member of the cacinoembryonic antigen (CEA) family which belongs to the immunoglobulin superfamily of cell adhesion molecules (PMID: 16919437). CEACAMs play major roles in cell-cell and cell-ECM adhesion and have been implicated in the control of cell proliferation, angiogenesis, and tissue remodeling (PMID: 23021083). CEACAM1 is a transmembrane glycoprotein that is expressed on epithelial, endothelial, and immune cells (PMID: 30314283). CEACAM1 has been demonstrated to play a role in morphogenesis, apoptosis, angiogenesis, cell proliferation, cell motility, fibrosis, and immunity (PMID: 31604530).
Protocols
| Product Specific Protocols | |
|---|---|
| IHC protocol for CEACAM1/CD66a antibody 22238-1-AP | Download protocol |
| Standard Protocols | |
|---|---|
| Click here to view our Standard Protocols |

