Validation Data Gallery
Tested Applications
| Positive WB detected in | HepG2 cells, A549 cells |
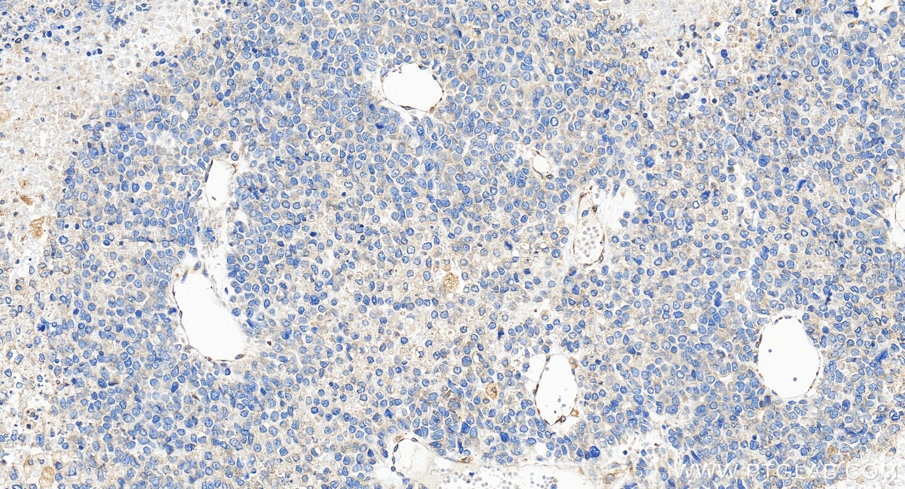
| Positive IHC detected in | human liver cancer tissue Note: suggested antigen retrieval with TE buffer pH 9.0; (*) Alternatively, antigen retrieval may be performed with citrate buffer pH 6.0 |
Recommended dilution
| Application | Dilution |
|---|---|
| Western Blot (WB) | WB : 1:1000-1:4000 |
| Immunohistochemistry (IHC) | IHC : 1:50-1:400 |
| It is recommended that this reagent should be titrated in each testing system to obtain optimal results. | |
| Sample-dependent, Check data in validation data gallery. | |
Product Information
85162-4-RR targets CDS2 in WB, IHC, ELISA applications and shows reactivity with human samples.
| Tested Reactivity | human |
| Host / Isotype | Rabbit / IgG |
| Class | Recombinant |
| Type | Antibody |
| Immunogen |
CatNo: Ag29228 Product name: Recombinant human CDS2 protein Source: e coli.-derived, PGEX-4T Tag: GST Domain: 1-65 aa of BC025751 Sequence: MTELRQRVAHEPVAPPEDKESESEAKVDGETASDSESRAESAPLPVSADDTPEVLNRALSNLSSR 相同性解析による交差性が予測される生物種 |
| Full Name | CDP-diacylglycerol synthase (phosphatidate cytidylyltransferase) 2 |
| Calculated molecular weight | 445 aa, 51 kDa |
| Observed molecular weight | 50-51 kDa |
| GenBank accession number | BC025751 |
| Gene Symbol | CDS2 |
| Gene ID (NCBI) | 8760 |
| Conjugate | Unconjugated |
| Form | |
| Form | Liquid |
| Purification Method | Protein A purification |
| UNIPROT ID | O95674 |
| Storage Buffer | PBS with 0.02% sodium azide and 50% glycerol{{ptg:BufferTemp}}7.3 |
| Storage Conditions | Store at -20°C. Stable for one year after shipment. Aliquoting is unnecessary for -20oC storage. |
Protocols
| Product Specific Protocols | |
|---|---|
| IHC protocol for CDS2 antibody 85162-4-RR | Download protocol |
| WB protocol for CDS2 antibody 85162-4-RR | Download protocol |
| Standard Protocols | |
|---|---|
| Click here to view our Standard Protocols |


