Validation Data Gallery
Tested Applications
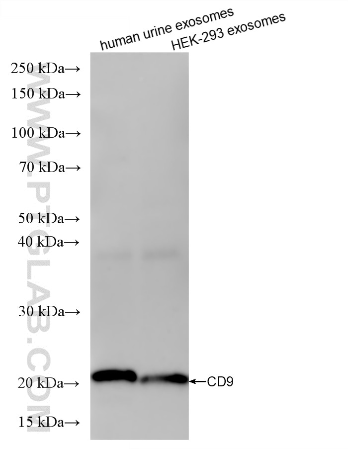
| Positive WB detected in | A431 cells, human urine exosomes, L02 cells, HeLa cells, human placenta tissue, HEK-293 exosomes |
| Positive IHC detected in | human ovary cancer tissue Note: suggested antigen retrieval with TE buffer pH 9.0; (*) Alternatively, antigen retrieval may be performed with citrate buffer pH 6.0 |
| Positive IF/ICC detected in | MCF-7 cells |
Recommended dilution
| Application | Dilution |
|---|---|
| Western Blot (WB) | WB : 1:5000-1:50000 |
| Immunohistochemistry (IHC) | IHC : 1:1000-1:4000 |
| Immunofluorescence (IF)/ICC | IF/ICC : 1:200-1:800 |
| It is recommended that this reagent should be titrated in each testing system to obtain optimal results. | |
| Sample-dependent, Check data in validation data gallery. | |
Product Information
84142-1-RR targets CD9 in WB, IHC, IF/ICC, ELISA applications and shows reactivity with human samples.
| Tested Reactivity | human |
| Host / Isotype | Rabbit / IgG |
| Class | Recombinant |
| Type | Antibody |
| Immunogen |
CatNo: Eg1037 Product name: recombinant human CD9 protein Source: mammalian cells-derived, pHZ-KIsec-C-6*HIS Tag: C-6*HIS Domain: 112-195 aa of NM_001769.4 Sequence: SHKDEVIKEVQEFYKDTYNKLKTKDEPQRETLKAIHYALNCCGLAGGVEQFISDICPKKDVLETFTVKSCPDAIKEVFDNKFHI 相同性解析による交差性が予測される生物種 |
| Full Name | CD9 molecule |
| Calculated molecular weight | 25 kDa |
| Observed molecular weight | 23 kDa |
| GenBank accession number | NM_001769.4 |
| Gene Symbol | CD9 |
| Gene ID (NCBI) | 928 |
| RRID | AB_3671703 |
| Conjugate | Unconjugated |
| Form | |
| Form | Liquid |
| Purification Method | Protein A purfication |
| UNIPROT ID | P21926 |
| Storage Buffer | PBS with 0.02% sodium azide and 50% glycerol{{ptg:BufferTemp}}7.3 |
| Storage Conditions | Store at -20°C. Stable for one year after shipment. Aliquoting is unnecessary for -20oC storage. |
Background Information
The cell-surface molecule CD9, a member of the transmembrane-4 superfamily, interacts with the integrin family and other membrane proteins, and is postulated to participate in cell migration and adhesion. Expression of CD9 enhances membrane fusion between muscle cells and promotes viral infection in some cells (PMID:10459022). It is often used as a mesenchymal stem cell marker (PMID:18005405). The CD9 antigen appears to be a 227-amino acid molecule with four hydrophobic domains and one N-glycosylation site (PMID: 1840589). This antibody detects bands of 23-30 kDa, which may be due to the difference in glycosylations (PMID: 8701996).
Protocols
| Product Specific Protocols | |
|---|---|
| IF protocol for CD9 antibody 84142-1-RR | Download protocol |
| IHC protocol for CD9 antibody 84142-1-RR | Download protocol |
| WB protocol for CD9 antibody 84142-1-RR | Download protocol |
| Standard Protocols | |
|---|---|
| Click here to view our Standard Protocols |





