Validation Data Gallery
Tested Applications
| Positive WB detected in | NIH/3T3 cells, mouse brain tissue |
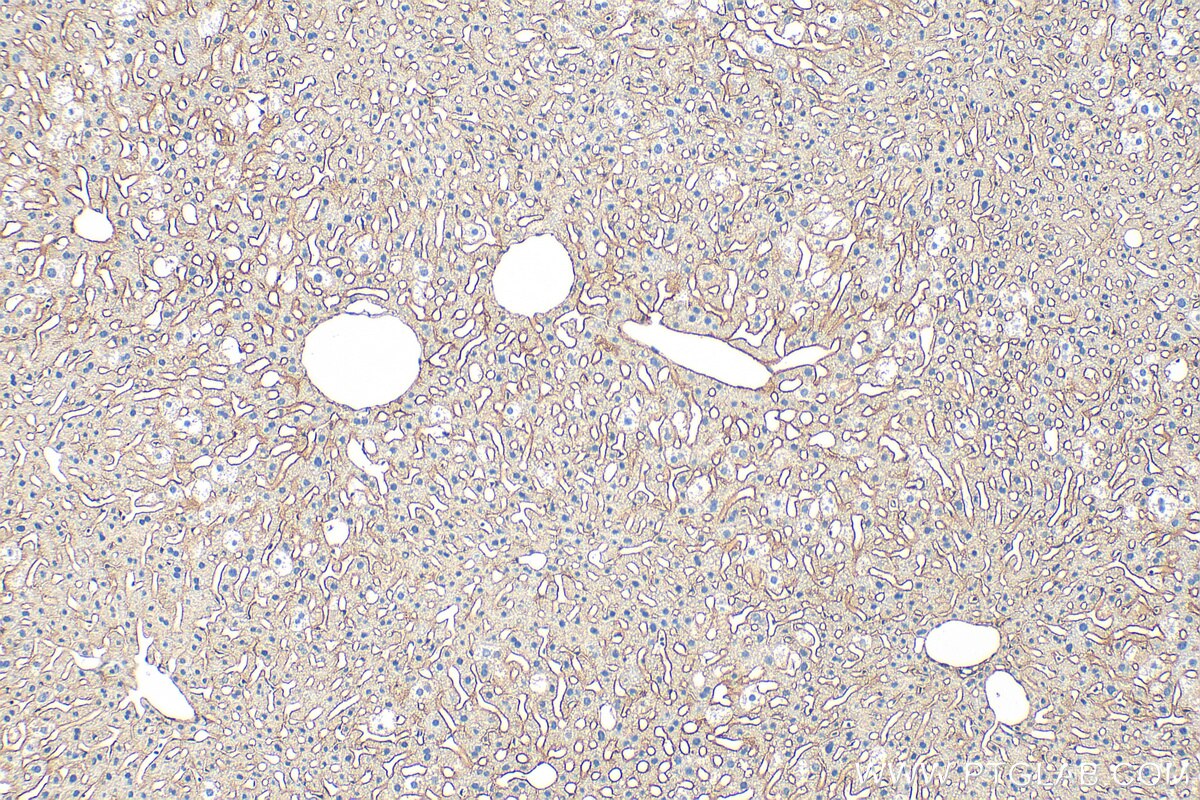
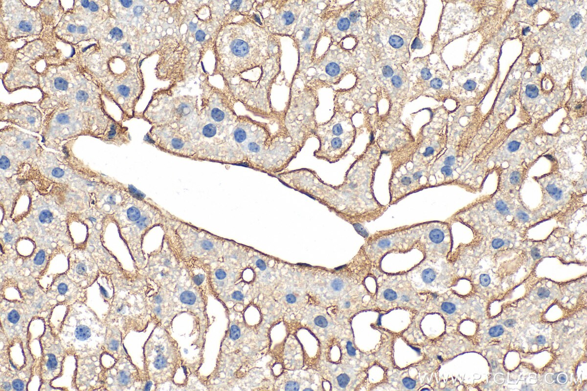
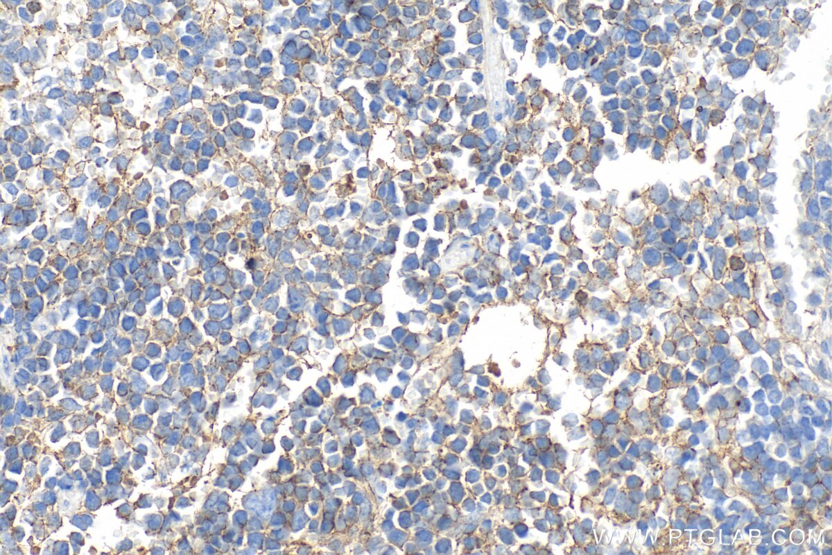
| Positive IHC detected in | mouse liver tissue, mouse spleen tissue Note: suggested antigen retrieval with TE buffer pH 9.0; (*) Alternatively, antigen retrieval may be performed with citrate buffer pH 6.0 |
Recommended dilution
| Application | Dilution |
|---|---|
| Western Blot (WB) | WB : 1:500-1:2000 |
| Immunohistochemistry (IHC) | IHC : 1:200-1:800 |
| It is recommended that this reagent should be titrated in each testing system to obtain optimal results. | |
| Sample-dependent, Check data in validation data gallery. | |
Product Information
33170-1-AP targets CD81 in WB, IHC, ELISA applications and shows reactivity with mouse samples.
| Tested Reactivity | mouse |
| Host / Isotype | Rabbit / IgG |
| Class | Polyclonal |
| Type | Antibody |
| Immunogen |
CatNo: Eg3833 Product name: Recombinant Mouse CD81 protein (rFc Tag) Source: mammalian cells-derived, pHZ-KIsec-N-rFc Tag: N-rFc Domain: 106-211 aa of NM_133655.2 Sequence: VAAGIWGFVNKDQIAKDVKQFYDQALQQAVMDDDANNAKAVVKTFHETLNCCGSNALTTLTTTILRNSLCPSGGNILTPLLQQDCHQKIDELFSGKLYLIGIAAIV 相同性解析による交差性が予測される生物種 |
| Full Name | CD81 antigen |
| Calculated molecular weight | 26 kDa |
| Observed molecular weight | 20-23 kDa |
| GenBank accession number | NM_133655.2 |
| Gene Symbol | Cd81 |
| Gene ID (NCBI) | 12520 |
| Conjugate | Unconjugated |
| Form | |
| Form | Liquid |
| Purification Method | Antigen affinity Purification |
| UNIPROT ID | P35762 |
| Storage Buffer | PBS with 0.02% sodium azide and 50% glycerol{{ptg:BufferTemp}}7.3 |
| Storage Conditions | Store at -20°C. Stable for one year after shipment. Aliquoting is unnecessary for -20oC storage. |
Background Information
CD81 (also known as TAPA1 or TSPAN28) is a membrane protein of the tetraspanin superfamily, which are characterized by the presence of four conserved transmembrane regions. Many of these members are expressed on leukocytes and have been implicated in signal transduction, cell-cell interactions, and cellular activation and development. CD81 is involved in signal transduction and cell adhesion in the immune system (PMID: 9597125). CD81 has also been identified as en essential receptor for HCV (hepatitis C virus) (PMID: 21428934).
Protocols
| Product Specific Protocols | |
|---|---|
| IHC protocol for CD81 antibody 33170-1-AP | Download protocol |
| WB protocol for CD81 antibody 33170-1-AP | Download protocol |
| Standard Protocols | |
|---|---|
| Click here to view our Standard Protocols |




