Validation Data Gallery
Tested Applications
| Positive WB detected in | Jurkat cells |
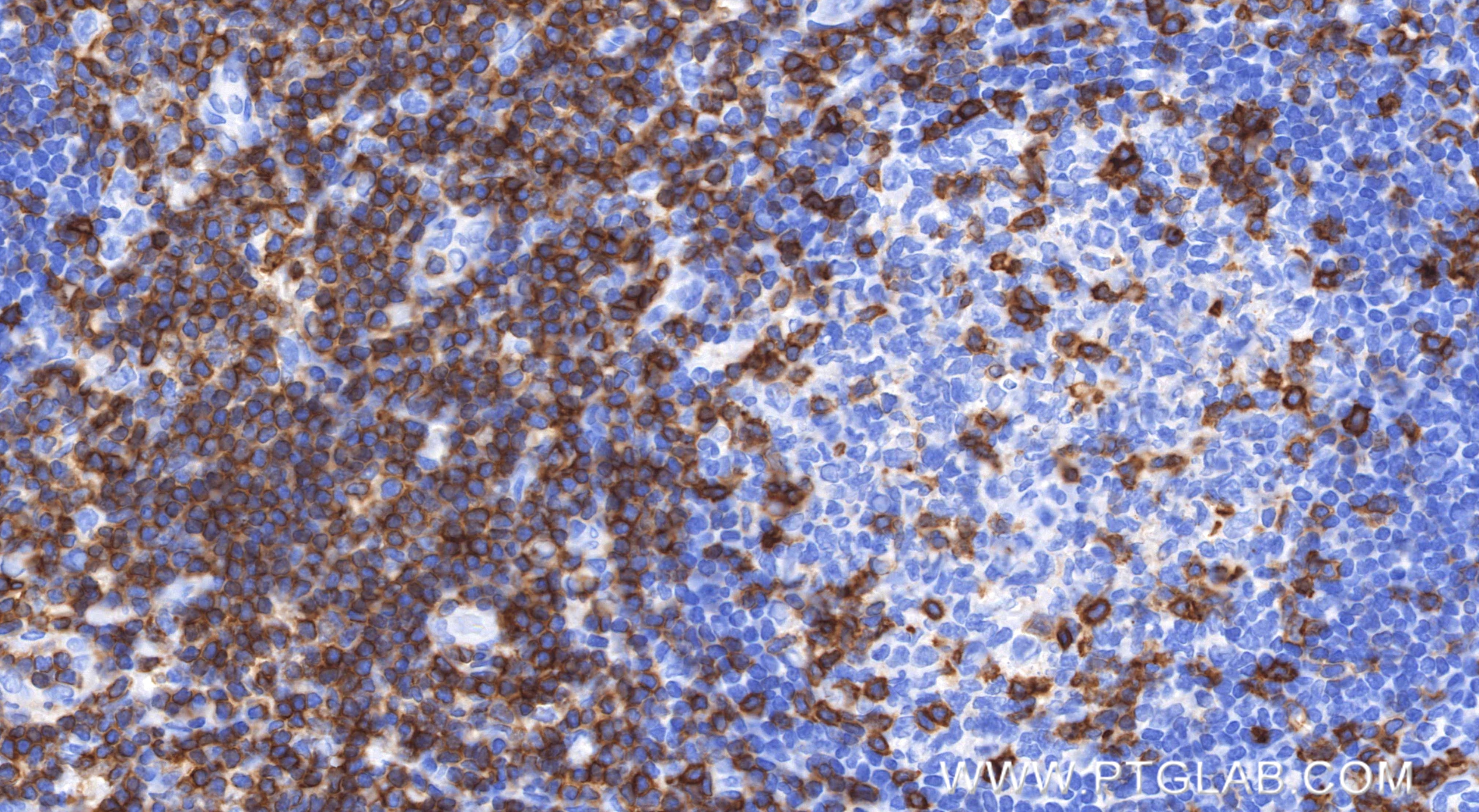
| Positive IHC detected in | human tonsil tissue, human ovary cancer tissue, human tonsillitis tissue Note: suggested antigen retrieval with TE buffer pH 9.0; (*) Alternatively, antigen retrieval may be performed with citrate buffer pH 6.0 |
| Positive IF/ICC detected in | Jurkat cells |
Recommended dilution
| Application | Dilution |
|---|---|
| Western Blot (WB) | WB : 1:5000-1:50000 |
| Immunohistochemistry (IHC) | IHC : 1:1500-1:6000 |
| Immunofluorescence (IF)/ICC | IF/ICC : 1:250-1:1000 |
| It is recommended that this reagent should be titrated in each testing system to obtain optimal results. | |
| Sample-dependent, Check data in validation data gallery. | |
Product Information
83543-7-RR targets CD5 in WB, IHC, IF/ICC, ELISA applications and shows reactivity with human samples.
| Tested Reactivity | human |
| Host / Isotype | Rabbit / IgG |
| Class | Recombinant |
| Type | Antibody |
| Immunogen |
CatNo: Eg1119 Product name: Recombinant Human CD5 protein (His Tag) Source: mammalian cells-derived, pHZ-KIsec-C-6*HIS Tag: C-6*HIS Domain: 25-372 aa of NM_014207.4 Sequence: RLSWYDPDFQARLTRSNSKCQGQLEVYLKDGWHMVCSQSWGRSSKQWEDPSQASKVCQRLNCGVPLSLGPFLVTYTPQSSIICYGQLGSFSNCSHSRNDMCHSLGLTCLEPQKTTPPTTRPPPTTTPEPTAPPRLQLVAQSGGQHCAGVVEFYSGSLGGTISYEAQDKTQDLENFLCNNLQCGSFLKHLPETEAGRAQDPGEPREHQPLPIQWKIQNSSCTSLEHCFRKIKPQKSGRVLALLCSGFQPKVQSRLVGGSSICEGTVEVRQGAQWAALCDSSSARSSLRWEEVCREQQCGSVNSYRVLDAGDPTSRGLFCPHQKLSQCHELWERNSYCKKVFVTCQDPNP 相同性解析による交差性が予測される生物種 |
| Full Name | CD5 molecule |
| Calculated molecular weight | 55 kDa |
| Observed molecular weight | 60 kDa |
| GenBank accession number | NM_014207.4 |
| Gene Symbol | CD5 |
| Gene ID (NCBI) | 921 |
| ENSEMBL Gene ID | ENSG00000110448 |
| RRID | AB_3671163 |
| Conjugate | Unconjugated |
| Form | |
| Form | Liquid |
| Purification Method | Protein A purfication |
| UNIPROT ID | P06127 |
| Storage Buffer | PBS with 0.02% sodium azide and 50% glycerol{{ptg:BufferTemp}}7.3 |
| Storage Conditions | Store at -20°C. Stable for one year after shipment. Aliquoting is unnecessary for -20oC storage. |
Background Information
CD5 is a type I transmembrane glycoprotein of the scavenger receptor cysteine-rich family (PMID: 12403363). CD5 is expressed on a majority of thymocytes, mature T cells, B cell subsets, and peripheral blood dendritic cells (PMID: 9858516; 6156984; 10379049; 1384337). CD5 may act as a receptor in regulating T-cell proliferation. It functions as a negative regulator of TCR signaling during thymocyte development (PMID: 7542801).
Protocols
| Product Specific Protocols | |
|---|---|
| IF protocol for CD5 antibody 83543-7-RR | Download protocol |
| IHC protocol for CD5 antibody 83543-7-RR | Download protocol |
| WB protocol for CD5 antibody 83543-7-RR | Download protocol |
| Standard Protocols | |
|---|---|
| Click here to view our Standard Protocols |








