Validation Data Gallery
Tested Applications
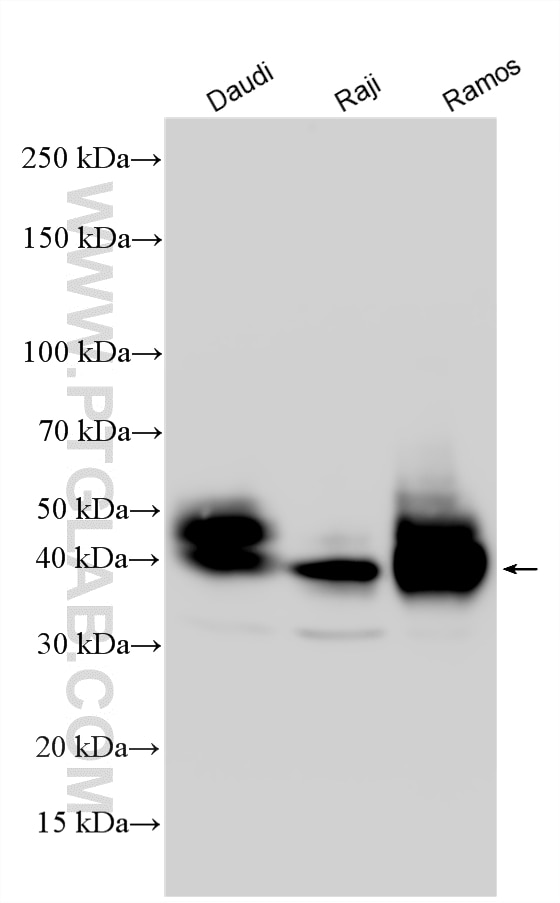
| Positive WB detected in | Daudi cells, Raji cells, Ramos cells |
| Positive IHC detected in | human tonsillitis tissue Note: suggested antigen retrieval with TE buffer pH 9.0; (*) Alternatively, antigen retrieval may be performed with citrate buffer pH 6.0 |
Recommended dilution
| Application | Dilution |
|---|---|
| Western Blot (WB) | WB : 1:1000-1:8000 |
| Immunohistochemistry (IHC) | IHC : 1:1000-1:4000 |
| It is recommended that this reagent should be titrated in each testing system to obtain optimal results. | |
| Sample-dependent, Check data in validation data gallery. | |
Product Information
27519-1-AP targets CD48 in WB, IHC, ELISA applications and shows reactivity with human samples.
| Tested Reactivity | human |
| Host / Isotype | Rabbit / IgG |
| Class | Polyclonal |
| Type | Antibody |
| Immunogen |
CatNo: Ag26536 Product name: Recombinant human CD48 protein Source: e coli.-derived, PGEX-4T Tag: GST Domain: 27-220 aa of BC016182 Sequence: QGHLVHMTVVSGSNVTLNISESLPENYKQLTWFYTFDQKIVEWDSRKSKYFESKFKGRVRLDPQSGALYISKVQKEDNSTYIMRVLKKTGNEQEWKIKLQVLDPVPKPVIKIEKIEDMDDNCYLKLSCVIPGESVNYTWYGDKRPFPKELQNSVLETTLMPHNYSRCYTCQVSNSVSSKNGTVCLSPPCTLARS 相同性解析による交差性が予測される生物種 |
| Full Name | CD48 molecule |
| Calculated molecular weight | 43 kDa |
| Observed molecular weight | 38-45 kDa |
| GenBank accession number | BC016182 |
| Gene Symbol | CD48 |
| Gene ID (NCBI) | 962 |
| RRID | AB_2880897 |
| Conjugate | Unconjugated |
| Form | |
| Form | Liquid |
| Purification Method | Antigen affinity purification |
| UNIPROT ID | P09326 |
| Storage Buffer | PBS with 0.02% sodium azide and 50% glycerol{{ptg:BufferTemp}}7.3 |
| Storage Conditions | Store at -20°C. Stable for one year after shipment. Aliquoting is unnecessary for -20oC storage. |
Background Information
Signaling lymphocytic activation molecule family 2 (SLAMF2, CD48) is an adhesion and costimulatory molecule expressed constitutively on most hematopoietic cells, particularly in antigen-presenting cells (APC). CD48 is expressed on all the hematopoietic cells, both in humans and mice, except for murine neutrophils and long-term HSC. CD48 exists as both a membrane-bound (mCD48) and a soluble (sCD48) form. CD48 can activate T cells, antigen-presenting cells and granulocytes, by binding to CD2 or bacterial FimH, and through cell intrinsic effects. Interactions between CD48 and its high-affinity ligand CD244 are more complex, with both stimulatory and inhibitory outcomes. CD48 expression is increased in autoimmunity and allergy diseases, and anti-CD48 monoclonal antibodies have been shown to attenuate experimental autoimmune encephalomyelitis.
Protocols
| Product Specific Protocols | |
|---|---|
| IHC protocol for CD48 antibody 27519-1-AP | Download protocol |
| WB protocol for CD48 antibody 27519-1-AP | Download protocol |
| Standard Protocols | |
|---|---|
| Click here to view our Standard Protocols |



