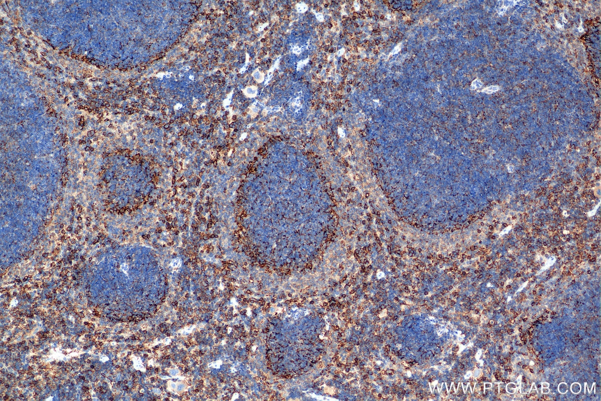
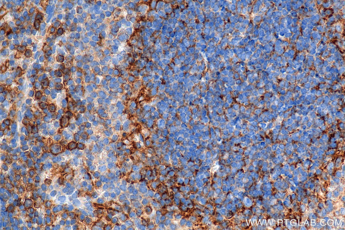
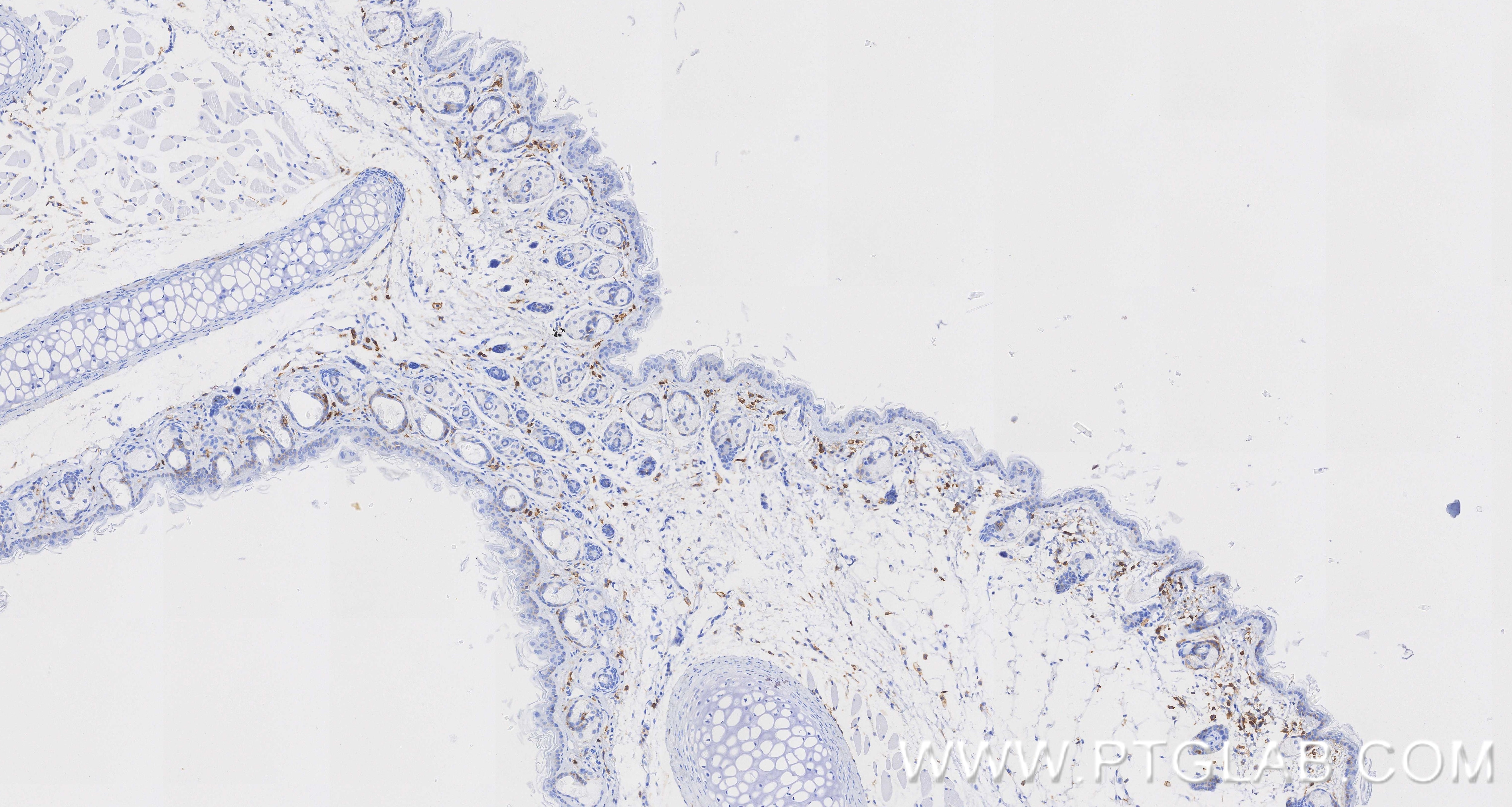
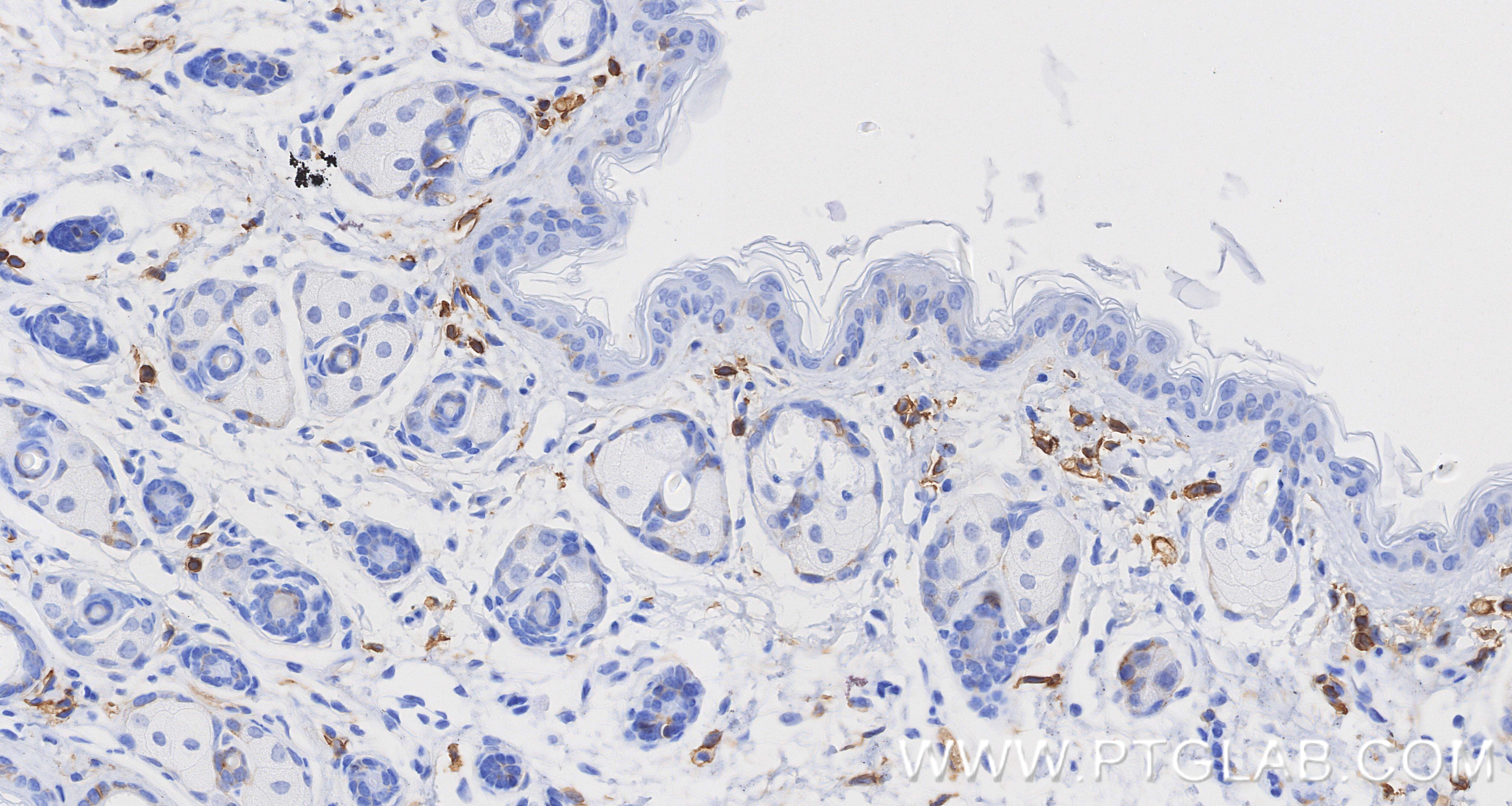
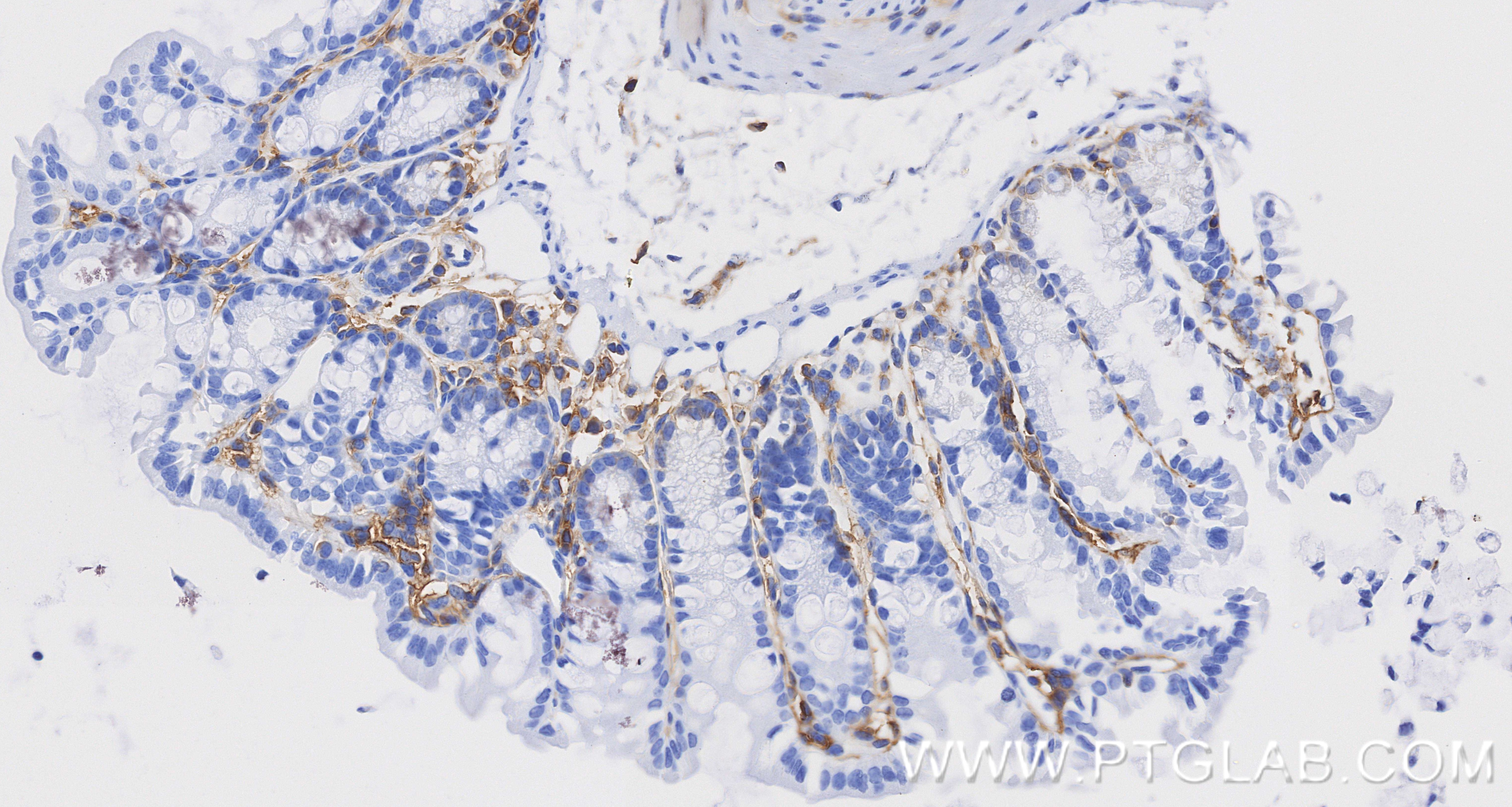
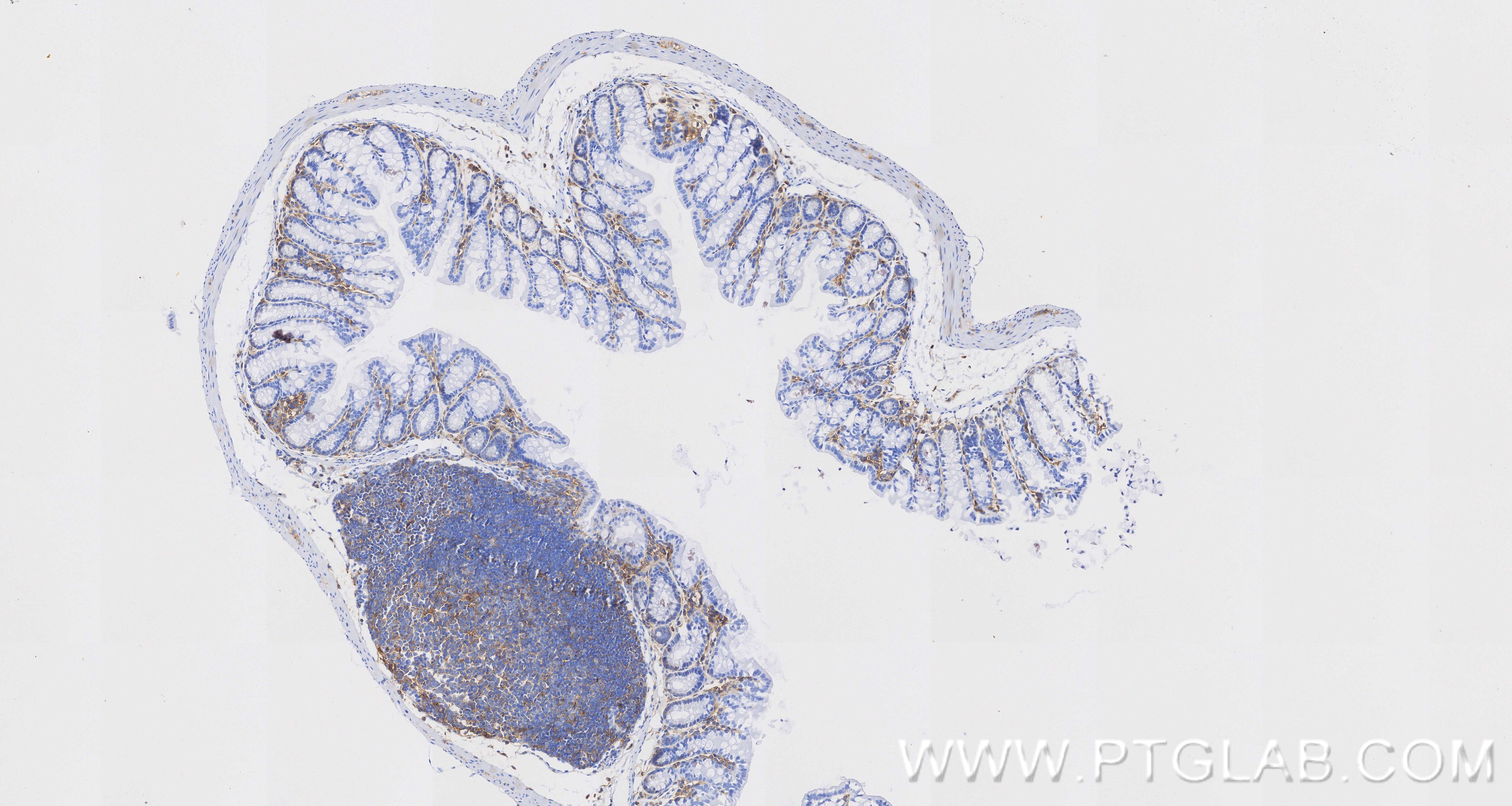
Validation Data Gallery
Tested Applications
Recommended dilution
| Application | Dilution |
|---|---|
| It is recommended that this reagent should be titrated in each testing system to obtain optimal results. | |
Product Information
85163-5-PBS targets CD44 in WB, IHC, IF/ICC, Indirect ELISA applications and shows reactivity with human, mouse samples.
| Tested Reactivity | human, mouse |
| Host / Isotype | Rabbit / IgG |
| Class | Recombinant |
| Type | Antibody |
| Immunogen |
CatNo: Eg3159 Product name: Recombinant Mouse CD44 protein (rFc Tag) (HPLC verified) Source: mammalian cells-derived, V37 Tag: C-rFc Domain: 25-224 aa of NM_009851.2 Sequence: QIDLNVTCRYAGVFHVEKNGRYSISRTEAADLCQAFNSTLPTMDQMKLALSKGFETCRYGFIEGNVVIPRIHPNAICAANHTGVYILVTSNTSHYDTYCFNASAPPEEDCTSVTDLPNSFDGPVTITIVNRDGTRYSKKGEYRTHQEDIDASNIIDDDVSSGSTIEKSTPESYILHTYLPTEQPTGDQDDSFFIRSTLAT 相同性解析による交差性が予測される生物種 |
| Full Name | CD44 antigen |
| Calculated molecular weight | 86 kDa |
| Observed molecular weight | 85 kDa |
| GenBank accession number | NM_009851.2 |
| Gene Symbol | Cd44 |
| Gene ID (NCBI) | 12505 |
| Conjugate | Unconjugated |
| Form | |
| Form | Liquid |
| Purification Method | Protein A purification |
| UNIPROT ID | NP_033981 |
| Storage Buffer | PBS only{{ptg:BufferTemp}}7.3 |
| Storage Conditions | Store at -80°C. |
Background Information
CD44 is a type I transmembrane glycoprotein expressed on embryonic stem cells and in various levels on other cell types including connective tissues and bone marrow. CD44 expression is also upregulated in subpopulations of cancer cells and is recognized as a molecular marker for cancer stem cells (PMID: 29747682). It is a cell-surface receptor that mediates cell-cell and cell-matrix interactions through its affinity for hyaluronic acid (HA) and possibly also through its affinity for other ligands (PMID: 10694938). Adhesion with HA plays an important role in cell migration, tumor growth and progression. CD44 is also involved in lymphocyte activation, recirculation and homing, and in hematopoiesis.









