Validation Data Gallery
Tested Applications
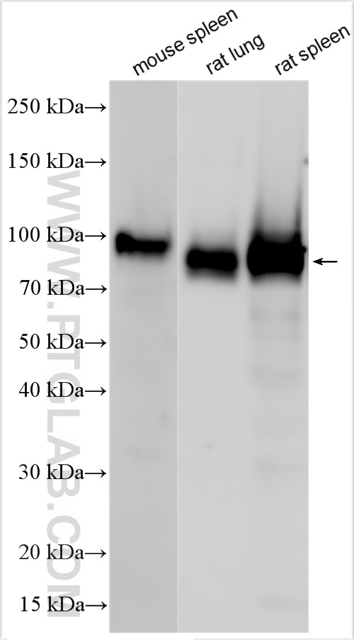
| Positive WB detected in | mouse spleen tissue, rat lung tissue, rat spleen tissue |
| Positive IF-P detected in | rat spleen tissue |
Recommended dilution
| Application | Dilution |
|---|---|
| Western Blot (WB) | WB : 1:500-1:2000 |
| Immunofluorescence (IF)-P | IF-P : 1:50-1:500 |
| It is recommended that this reagent should be titrated in each testing system to obtain optimal results. | |
| Sample-dependent, Check data in validation data gallery. | |
Product Information
31981-1-AP targets CD44 in WB, IF-P, ELISA applications and shows reactivity with mouse, rat samples.
| Tested Reactivity | mouse, rat |
| Host / Isotype | Rabbit / IgG |
| Class | Polyclonal |
| Type | Antibody |
| Immunogen |
CatNo: Eg1458 Product name: Recombinant Rat CD44 protein (rFc Tag) (HPLC verified) Source: mammalian cells-derived, pHZ-KIsec-C-rFc Tag: C-rFc Domain: 22-271 aa of XM_006234631.3 Sequence: QQQIDLNITCRYAGVFHVEKNGRYSISRTEAADLCEAFNTTLPTMAQMELALSKGFETCRYGFIEGHVVIPRIHPNAICAANNTGVYILLASNTSHYDTYCFNASAPLEEDCTSVTDLPNSFDGPVTITIVNRDGTRYSKKGEYRTHQEDIDASNIIDEDVSSGSTIEKSTPEGYILHTDLPTSQPTGDRDDAFFIGSTLATSDGDSSMDPRGGFDTVTHGSELAGHSSGNQDSGVTTTSGPARRPQIPE 相同性解析による交差性が予測される生物種 |
| Full Name | Cd44 molecule |
| Calculated molecular weight | 40 kDa |
| Observed molecular weight | 80-95 kDa |
| GenBank accession number | XM_006234631.3 |
| Gene Symbol | Cd44 |
| Gene ID (NCBI) | 25406 |
| Conjugate | Unconjugated |
| Form | |
| Form | Liquid |
| Purification Method | Antigen affinity Purification |
| UNIPROT ID | O70509 |
| Storage Buffer | PBS with 0.02% sodium azide and 50% glycerol{{ptg:BufferTemp}}7.3 |
| Storage Conditions | Store at -20°C. Stable for one year after shipment. Aliquoting is unnecessary for -20oC storage. |
Background Information
CD44 is a type I transmembrane glycoprotein expressed on embryonic stem cells and in various levels on other cell types including connective tissues and bone marrow. CD44 expression is also upregulated in subpopulations of cancer cells and is recognized as a molecular marker for cancer stem cells (PMID: 29747682). It is a cell-surface receptor that mediates cell-cell and cell-matrix interactions through its affinity for hyaluronic acid (HA) and possibly also through its affinity for other ligands (PMID: 10694938). Adhesion with HA plays an important role in cell migration, tumor growth and progression. CD44 is also involved in lymphocyte activation, recirculation and homing, and in hematopoiesis.
Protocols
| Product Specific Protocols | |
|---|---|
| IF protocol for CD44 antibody 31981-1-AP | Download protocol |
| WB protocol for CD44 antibody 31981-1-AP | Download protocol |
| Standard Protocols | |
|---|---|
| Click here to view our Standard Protocols |


