Validation Data Gallery
Tested Applications
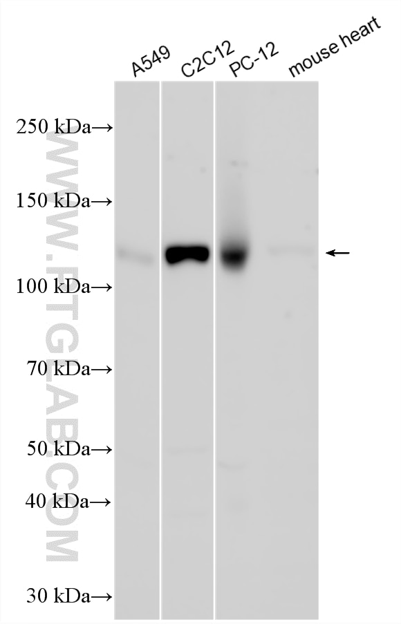
| Positive WB detected in | A549 cells, C2C12 cells, PC-12 cells, mouse heart tissue |
Recommended dilution
| Application | Dilution |
|---|---|
| Western Blot (WB) | WB : 1:500-1:1000 |
| It is recommended that this reagent should be titrated in each testing system to obtain optimal results. | |
| Sample-dependent, Check data in validation data gallery. | |
Product Information
33875-1-AP targets CD315/PTGFRN in WB, ELISA applications and shows reactivity with human, mouse, rat samples.
| Tested Reactivity | human, mouse, rat |
| Host / Isotype | Rabbit / IgG |
| Class | Polyclonal |
| Type | Antibody |
| Immunogen |
CatNo: Eg6319 Product name: Recombinant Mouse PTGFRN/CD315 protein (C-rFc) Source: mammalian cells-derived, V37 Tag: C-rFc Domain: 22-832 aa of NM_011197.3 Sequence: RVVRVPAGTLVRVVGTELVIPCNVSDYDGPSEQNFDWSFSSSGSSFVELASTWEVGFPAQLYRERLQRGDILLRRTANDAVELHIKNVQPSDQGHYKCSTPSTDATVQGNYEDTVQVKVLADALVVGPSSRPPPGLSLREGEPFELRCIASTTSPLHTHLALRWELHRGPVHRSILALSHEGRFHPGPGYEQRYHSGDVRLDTVGSDAYRLSVARALSADQGSYRCVVSEWITEQGSWQEIQEKAVEVATVVIQPTALQLAVPRTVSVTEGKDLDLSCNITTDRVDDVRPEVTWYFKKTPDTSLLASHMLARLDRDSLVHSSPHVALSHVDTRSYHLLVRDVSKENSGYYLCLVALWAPGHNRSWHKVAEAMSAPSGVSVTWLEPEYQVYLNASKVPGFSDDPTELQCRVIDTKRLEAGVRLTVSWYYRMTRRNDDVVASELLAVMDGDWTLRYGERSKQRAQDGEFIFSKEHTDTFNFRIQRTTEEDRGNYYCVVSAWTRQRNNSWVKSKDVFSKPVNIFWASEDSVLVVKARQPKPFFAAGNTFEMTCKVSSKNIKSPRYSVLITAEKPVGDLSSPNETKYIISLDQDSVVKLENWTDASRVDGVVLEKVQEDEFRYRMYQTQVSDAGLYRCMVTAWSPIGGSLWREAATSLSNPIEIDFQTSGPTFNASVHSDTPSVTRGDLIKLFCIVTVEGAVLDPDDMAFDVSWFAVHSFGLDKAPVLLSSLDRKGVVTTGQRDWKSTVSLERVSVLEFLLQVHGSEDQDFGNYYCSVTPWVRSPTGSWQREAEIHSRPIFITVKMDVLNAFKYP 相同性解析による交差性が予測される生物種 |
| Full Name | prostaglandin F2 receptor negative regulator |
| Calculated molecular weight | 99 kDa |
| Observed molecular weight | 100-130 kDa |
| GenBank accession number | NM_011197.3 |
| Gene Symbol | Ptgfrn |
| Gene ID (NCBI) | 19221 |
| Conjugate | Unconjugated |
| Form | |
| Form | Liquid |
| Purification Method | Antigen affinity Purification |
| UNIPROT ID | Q9WV91 |
| Storage Buffer | PBS with 0.02% sodium azide and 50% glycerol{{ptg:BufferTemp}}7.3 |
| Storage Conditions | Store at -20°C. Stable for one year after shipment. Aliquoting is unnecessary for -20oC storage. |
Background Information
PTGFRN (Prostaglandin F2 Receptor Negative Regulator), also known as CD315, is a trans-membrane protein that modulates prostaglandin F2α signaling and links the tetraspanin web to the cytoskeleton, it is now recognized as a driver of metastasis; high expression correlates with aggressive proliferation, migration, and spheroid growth in epidermoid carcinoma, medulloblastoma, and mesothelioma, while silencing PTGFRN impairs these traits and disrupts autophagy (PMID: 38924562). The calculated value of PTGFRN is 98 kDa. It has multiple glycosylation sites and its molecular weight after glycosylation is approximately 100 - 130 kDa.
Protocols
| Product Specific Protocols | |
|---|---|
| WB protocol for CD315/PTGFRN antibody 33875-1-AP | Download protocol |
| Standard Protocols | |
|---|---|
| Click here to view our Standard Protocols |
